ВХОД ДЛЯ ПАЦИЕНТОВ
вверх
поиск
админ
главная
исходное
последующие
|
Re: Полер
послал Alexander Chelnokov 07 Апрель 2007, 01:25
|
> Очень было бы любопытно посмотреть поэтапные Р-снимки с ЭОПа (хотя
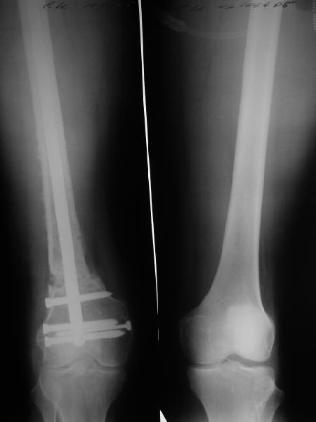
В приложении пример, как их использовали после остеотомии бедра по поводу сросшегося с вальгусом перелома, чтобы не дать гвоздю уйти во внутренний мыщелок.

> К сожалению, мы в своей практике зачастую пренебрегаем имеющейся
> угловой деформации отломков из-за недостака времени (оперируем по 4
Сейчас Poller спицы мы зачастую вводим сразу после обработки сегмента, еще до разреза и введения штифта, это не отнимает много времени. А углы иной раз бывают без них ой какие заметные.
> каждый). Позже 14:00 нельзя брать больных на операцию,
У нас тоже с недавнего времени такое придумали, у вас чем мотивируют?
> рискуешь быть заклеванным всей ордой операционной бригады:) У нас
Именно из-за них минут 5-10 надо. Иной раз застрянешь надольше и без них, а они как раз помогают сразу ось хорошую получить.
> К слову сказать об учебном процессе: у Павла Иванова на прошлой
[...]
> Намекните ему:)
Будем надеяться, у Павла остались силы поделиться опытом с коллегами.
|
| Послать ответ |
Обратите внимание: Поля с жирными названиями обязательны.
Старайтесь отвечать в рамках обсуждаемой темы, а не начинать новые обсуждения.
Указывайте адекватную тему сообщения, чтобы было ясно, о чем оно.
Не послайте сообщений не по теме (оффтопик), раздраженных, грубых или обидных комментариев. Здесь это неуместно.
|