вверх
отправить
поиск
админ
главная
|
Предстоит интересное эндопротезирование |
 |
 |
 |
Отправлено Салават Салаватов 09 Апрель 2007, 20:58
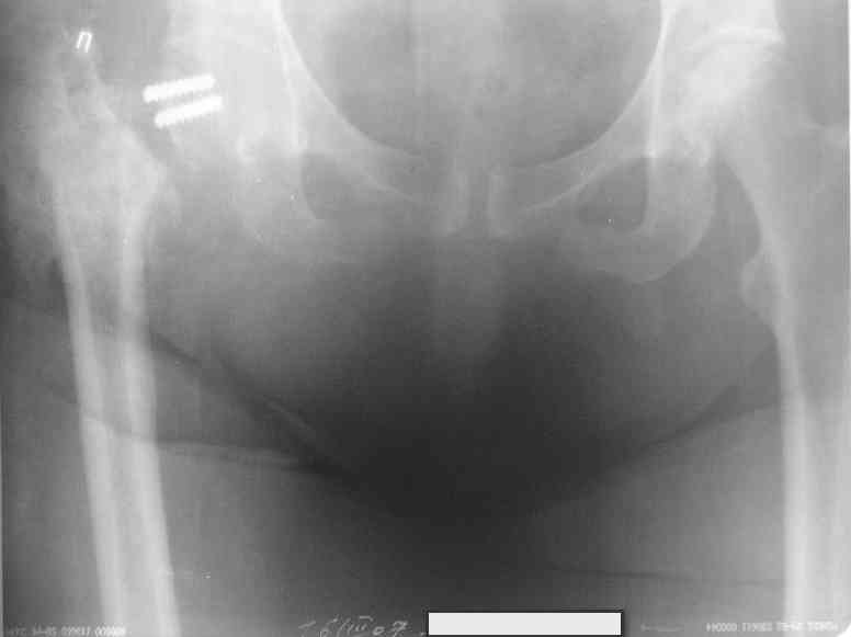
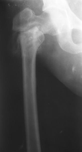
Уважаемые коллеги, хотелось бы услышать ваше мнение по следующему случаю: Относительно молодая женщина(39 лет), поступила в клинику в марте 2005 года, через 3 месяца после травмы с Неправильно срастающимся поперечным межвертельным переломом правого бедра. Был выполнен закрытый интрамедуллярный остеосинтез правого бедра канальным реконструкционным стержнем ChM. Ожидали бОльших проблем на операции, результату обрадовались. Как оказалось, зря. Сращение наступило через 3,5 месяца после операции. В ноябре 2005 года произошел перелом шейки бедра и винтов в ней. В апреле 2006 импланты были удалены. В приложении фото и рентгенограммы больной. Сопутствует ожирение 4 ст. (при росте 168 см., вес больной 140кг.), сахарный диабет II тип. Имеется медиальная неустойчивость коленного и голеностопного суставов, при нагрузке колено вальгируется на 15-20 градусов. Вопросы: 1.Целесообразность эндопротезирования (в настоящий момент передвигается на ходунках)? 2.Если ответ на первый вопрос-да, то каким протезом? 3. С какими проблемами можем столкнуться во время и после операции? Заранее благодарен за ответы. Салават Салаватов, Екатеринбург
<
|
>
|
|
Ответить
|
Re: Предстоит интересное эндопротезирование
Валерий М. Николаев 09 Апрель 2007, 23:20
|
Уважаемый Салават. Я поставил бы вопрос несколько иначе: Как сильно желание больной пройти через все этапы лечения - протезирование т\б сустава,проблемы коленного и г\стопного суставов, с риском развития различных, прежде всего инфекционных осложнений. Может ходунки?
Если осознанный выбор пациентки на лечение, то протезирование т\б сустава не таит в себе огромных сложностей - только глубина операционной раны и рубцово измененные ткани. Учитывая проксимальный дефект бедренной кости предпочтительна ревизионная ножка ZMR ZIMMER. Чашка любая безцементная.
Медиальная нестабильность коленного сустава скорее всего результат COXA vara. Что тут только МCL или имеются костые разрушения? От этого зависит тактика дальнейшего лечения. Различные наружные корректоры, фиксаторы на такой конечности бесполезны. для голеностопного сустава вполне достаточно орт. обуви.
|
[
Ответить ]
|
( Ответить )
|
|