ВХОД ДЛЯ ПАЦИЕНТОВ
вверх
поиск
админ
главная
исходное
|
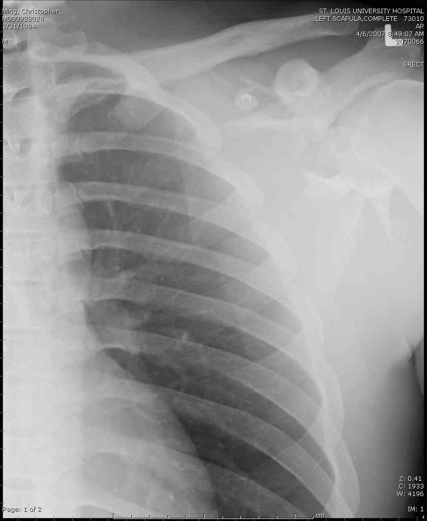
Re: Перелом угла лопатки
послал Djoldas Kuldjanov 19 Апрель 2007, 01:50
|

Никита, поздравляю с хорошей репозицией перелома
ключицы.
На какой срок решили оставить в аппарате, и что за аппарат? Разве аппарат Сушко не цилиндрический с движущимися пазами?
Если у вас имеется доказательство, что перелом лопатки изолированный, тогда нет необходимости операции, потому что стабильные изолированные переломы лопатки срастаются хорошо из-за хорошего кровоснабжения.
Для решения насчет оперативного вмещательства на лопатке сперва надо определиться с обьязательными ренгенологическими исследованиями, не менее трех стандартных проекций: прямая, аксиллярная и в позиции виде “Y”.
Прямую снимают под углом в 35 градусов от центра и вид “Y” в 90 градусов к нему. Несмотря на неудобства, больному необходимо сделать
аксиллярный снимок.
К-томографические и Трехмерные(3D)снимки крайне важны для определения внутрисуставных переломов и классификации.
Кроме анатомической классификации, переломы лопатки делятся на стабильные и нестабильные, внутри- и внесуставные и с вовлечением суставной поверхности.
Нестабильные внесуставные переломы лопатки типично сочетаются с переломами ключицы и ребер.
Сочетания в результате скоростных травм приводят к нестабильности плечевого пояса, и имеют тенденцию ротироваться кнутри, в результате чего возможны повреждения плечевого сплетения.
При отсутствии соединения верхнего пояса с телом из-за перелома ключицы и шейки лопатки имеется состояние "floating shoulder", как в аналогии повреждения около коленного сустава "floating knee" при переломах костей выше и ниже коленного сустава.
В таких случаях, когда нет больших смещений на стороне суставной поверхности, и нет необходимости операции на лопатке, тогда ограничиваются фиксацией только ключицы, то есть фиксируется верхняя конечность к туловищу через ключицу...
Также показания к оперативному вмещательству на лопатке появляются, когда смещения суставной поверхности медиально 9 и более мм и при угловом смещении суставной поверхности 40 и более градусов.
В 1993 Goss описал верхне плечевой поддерживающий комплекс (SSSC-superior shoulder suspensory complex), костно-связочное кольцо из акромиона, коракоида, ключицы и гленоида. Повреждения двух или более элементов из перечисленных доказывают наличие флотирования, и рекомендуется операция.
Активные движения в локтевом и плечевом суставах с первого дня, косынку можно снять через 10-14 дней.
Переломы лопатки срастаются быстро, активные движения в 4 недели с максимизацией, движения с сопротивлением на 8 неделе и полную нагрузку к 12 неделе.
Djoldas Kuldjanov, MD
Department of Orthopedic Surgery
St. Louis University Medical Center
|
| Послать ответ |
Обратите внимание: Поля с жирными названиями обязательны.
Старайтесь отвечать в рамках обсуждаемой темы, а не начинать новые обсуждения.
Указывайте адекватную тему сообщения, чтобы было ясно, о чем оно.
Не послайте сообщений не по теме (оффтопик), раздраженных, грубых или обидных комментариев. Здесь это неуместно.
|