AOTRAUMA.ORG Центр Илизарова  

Ортопедия и травматология Общие вопросы/General questions Help Информационные технологии в медицине
 вверх
 отправить
 поиск
 админ
 главная
 Предыдущее
 Весь тред


Re: ложный сустав !!!
Alexander Chelnokov 19 Апрель 2007, 02:39
СМ> Что, реально изогнуть титановый гвоздь, не сломав его?

Конечно. Чтобы не сломать, лучше проложить в тиски сразу ниже отверстий полоску металла, чтобы там создалась концентрация напряжений при изгибе, а не на уровне отверстия.

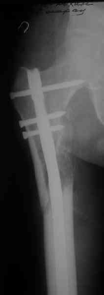
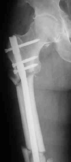
СМ> Если имеются под рукой Р-снимки, продемонстрируйте, плиз.

Вот несколько. С тисками и трубой на днях сделаем.



  • Сообщения о Ортопедия и травматология
  • Также Alexander Chelnokov
  • Связаться с автором
  • Ответить

    Re: ложный сустав !!!
    Сувалян Микаэл 19 Апрель 2007, 21:39
    Преклоняюсь...
    без каких-либо шуток.
    [ Ответить ]

    • Re: ложный сустав !!!
      Отправитель: Alexander Chelnokov 19 Апрель 2007, 23:07
      Простите, не понял, что именно вызывает такие экстремальные эмоции?
      Гвозди с латерализованным проксимальным концом сейчас становится мэйнстримом, поскольку трохантерная точка входа во всех отношениях
      благоприятнее f. piriformis.
      Моделирование титановых заготовок, в том числе трубой в тисках, при остеосинтезе по Звереву-Ключевскому - тоже широко распространенная
      практика, и бедренные гвозди там тоже достаточно мощные...

      [ Ответить ]
      • Re: ложный сустав !!!
        Отправитель: Коваленко А.Н. 21 Апрель 2007, 00:04
        Я не знал, что при историческом моменте присутствовал, воочию наблюдая,как теперь оказалось, святая святых: Александр Николаевич сам ДЕЛАЕТ ЭТО - гнет штифт!!! Знал бы, эх, сфотографировался бы на фоне тисков, трубы и гнутого стержня:(

        [ Ответить ]
    Re: ложный сустав !!!
    Алексей Семенистый 19 Апрель 2007, 22:05
    > Вот несколько. С тисками и трубой на днях сделаем.

    Саша, последний штифт, пожалуй, перегнули?

    Штучное производство, ювелирная работа! Боюсь, для наших пациентов дороговато выйдет, не потянут.


    С уважением, А.Семенистый.
    ГКБ 13, Москва.
    [ Ответить ]

    • Re: ложный сустав !!!
      Отправитель: Alexander Chelnokov 19 Апрель 2007, 22:15
      > Саша, последний штифт, пожалуй перегнули?

      Там заход сделан как для прямого штифта, не через вертел.

      Штучное призводство, ювелирная работа! Боюсь, для наших пациентов
      > дороговато выйдет, не потянут.


      Может, еще договоримся? Торг уместен ;-)

      [ Ответить ]
      • Re: ложный сустав !!!
        Отправитель: Алексей Семенистый 19 Апрель 2007, 22:17
        Там заход сделан как для прямого штифта, не через вертел.

        И правда, не через вертел. Тогда зачем гнули?


        С уважением, А.Семенистый.
        ГКБ 13, Москва.


        [ Ответить ]

     

    ( Ответить )

    Powered by Zope  Squishdot Powered MedLink
    Посетитель: 0396894
      "По форме правильно, а по существу - издевательство" В.И.Ленин
    ©2001-2019Orthoforum Coordinator.
    [ Главная | Отправить сообщение | Поиск | Админ ]