Ответить
|
Re: Сложный внутрисуставной перелом голени
Виктор 20 Апрель 2007, 20:11
|
Вытяжение я бы продолжил. Увеличьте груз. Необходимо интенсивно лечить фликтены. Через неделю повторите снимки (2 проекции) и Вы увидите, что действительно сможете синтезировать большой берц кортикальными винтами, вн. щиколотку - винт или 8-образная компр. петля, наруж. щиколотку - пластинкой.
|
[
Ответить ]
|
Re: Сложный внутрисуставной перелом голени
Отправитель: Антон Лебединец 20 Апрель 2007, 23:56
|
-Вытяжение я бы продолжил. Увеличьте груз-
Что даст вытяжение, если тянуть не за что -таран связан только с медиальной и латеральной лодыжкой и крепко вклинился в бб кость, а основные отломки неуправляемые.
-Необходимо интенсивно лечить фликтены-
Это ценное замечание. А интенсивность в чем заключается?
-Вы увидите, что действительно сможете синтезировать большой берц кортикальными винтами, вн. щиколотку - винт или 8-образная компр. петля, наруж. щиколотку - пластинкой-
Так мы это и так видим. Основной вопрос у нас в доступах.
|
[
Ответить ]
|
|
Re: Сложный внутрисуставной перелом голени
Савранский Александр 21 Апрель 2007, 00:41
|
Заживить фликтены и оперировать.
Большеберцовую лучше пластиной хоть медиальным доступом,хоть между берцовыми костями,но пластину придется хорошенько подогнать,изогнуть,фиксация винтами в данном случае не даст никакой стабильности,ну а лодыжки классически.
Аппарат тоже альтернатива причем очень неплохая,учитывая сложность и возможные осложнения открытой репозиции,и возраст пациента.
Желаю успеха.
|
[
Ответить ]
|
Re: Сложный внутрисуставной перелом голени
Алексей Семенистый 21 Апрель 2007, 15:36
|
Здравствуйте, Антон.
Для ответа на Ваши вопрсы и принятия решения одних снимков и описания конечности недостаточно. Продемонстрируйте информативные фото конечности. Возможность лечения тем или иным методом во многом зависит состояния мягких тканей. В любом случае я бы поменял скелетное вытяжение на дистракционный аппарат. Если по состоянию мягких тканей и\или из-за отсутствия необходимых имплантатов внутренняя фиксация окажется невозможной, аппарат в качестве окончательного способа удержания отломков предпочтительнее гипсовой повязки.
Если через 7-10 дней отек спадет, и имеющиеся некрозы поволят сделать рарезы в обл наружной и передне-внутр доступ (4-6 см) к дистальному метаэпифизу tibia, то: 1)ORIF наружной лодыжки 1\3-трубчатой пластиной и 2) репозиция и фиксация суставного перелома визуально и под контролем ЭОПа стягивающими винтами, 3) остеосинтез метадиафизарного перелома LCP пластиной техникой MIPO.
Если мягкие ткани не позволяют остеосинтез пластиной малоинвазивно, то всместо "2)" то же самое, только через отдельные проколы для винтов, вместо "3)" - остеосинтез очень дистально блокируемым min 3-мя винтами штифтом.
Если и это невозможно, то 2) тоже самое, вместо "3)" - аппарат, пункт "1)" в этом случае необязателен, даже лишний.
"Фиксация всего винтами" - это привильно, гипс - как-то не по-доброму.
С уважением, А.Семенистый.
ГКБ 13, Москва.
|
[
Ответить ]
|
Re: Сложный внутрисуставной перелом голени
Антон Лебединец 21 Апрель 2007, 15:39
|
Уважаемый Алексей! Спасибо за советы.
Продемонстрируйте информативные фото конечности-
Постараюсь завтра-послезавтра
-В любом случае я бы поменял скелетное вытяжение на дистракционный аппарат-
Была и у нас такая мысль, может и воплотим в жизнь
-ORIF наружной лодыжки 1\3-трубчатой пластиной-
-репозиция и фиксация суставного перелома визуально и под контролем ЭОПа стягивающими винтами-
Так и планируется... пока
-"Фиксация всего винтами" - это правильно, гипс - как-то не по-доброму-
"Сам не хочу, да!" Но вопрос в чем - дистальная база аппарата - на мой взгляд будет проблемно наложить из-за винтов в дистальном метаэпифизе. Через пятку? и возможно диафизарный перелом тоже фиксировать спицами? Но аппарат надо накладывать первым этапом, так? А тогда будет сложновато управляться в г/стопе(ограничены наши манипуляции и возможность управлять стопой). Мы планируем собрать диафиз винтами, а потом "ворошить" сустав и соединять все в единое целое. Хотя аппарат так и
сидит в голове - гипс действительно не по-доброму - кроме голеностопа терять еще и колено - совсем плохо.
Если есть мысли по поводу аппарата (компоновка и что фиксировать им, помимо просто стабилизирующей цели) буду благодарен.
Кстати, хотелось бы услышать мнение ув. А. Челнокова!
|
[
Ответить ]
|
Re: Сложный внутрисуставной перелом голени
Отправитель: Alexander Chelnokov 21 Апрель 2007, 16:46
|
> "Сам не хочу, да!" Но вопрос в чем - дистальная база аппарата - на
> мой взгляд будет проблемно наложить из-за винтов в дистальном
> метаэпифизе. Через пятку? и возможно диафизарный перелом тоже
Да как раз гибридный аппарат тут будет самое оно. Сочетание аппаратной фиксации с минимальной внутренней - очень актуально. Я согласен с Алекссем практически во всем, только аппартную фиксацию тут поставил бы в списке предпочтений на первое место как самое технологичное решение. Пластину надо длинную, она дорогая. Стержень можно, но если такие вещи стержнями не делали, могут быть трудности.
Я бы наложил бы дистрактор - по спице в проксимальный метаиз большеберцовой и в таран. Перед этим - посмотреть на экране, и там, где соотношения правильные, скажем, задний край с передневнутренней частью эпифиза стоят неплохо, или наружная лодыжка с тараном, то прихватить
спицами до дистракции. Дальше - прямо в дистракторе разрез, передне-наружный, репозиция только суставной площадки. Выше на диафиз
открываться не надо. Винтов понадобится 2-3 - спереди назад в задний край, изнутри кнаружи в смещенный сейчас фрагмент наружной части площадки, ну и на месте видно будет. Дальше - в эпифиз 3-4 спицы с упорами встречно, 2 стержня в диафиз выше перелома, кольцо дистально, линейная опора на диафиз.
> манипуляции и возможность управлять стопой). Мы планируем собрать
> диафиз винтами, а потом "ворошить" сустав и соединять все в единое
Дистркция (на уровне стопы использовать полукольцо, чтобы спереди доступу не мешало) создаст достаточно пространства для репозиции
суставной поверхности без необходимости трогать диафиз. На диафизе идеальной репозиции добиваться не надо.
Успехов!
|
[
Ответить ]
|
Re: Сложный внутрисуставной перелом голени
Отправитель: Michael Berenstein 22 Апрель 2007, 09:39
|
Уважаемый Антон.
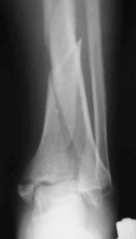
Судя по снимкам (спиральный перелом диафиза продолжающийся до сустава, отрывной перелом внутренней лодыжки) механизм перелома - скручивание. Стоит сделать снимок на всю голень включая коленный сустав и поискать проксимальный перелом м.берцовой кости. Такие переломы сопровождаются разрывом межкостной мембраны и поэтому нестабильны, повреждение м.т.
значительное и как правило большие гематомы.
Внутрисуставной перелом простой - линейный, по этому не должно быть проблем с закрытой репозицией на ЭОПе. По моему мнению самый подходящий метод -
аппарат. Важно анатомическая репозиция сустава c компрессирующей фиксацией спицами с напайкой. Если операция в отдаленные сроки - более 10 дней и закрытая репозиция не получается, стоит небольшим доступом открыть сустав и очистить перелом. Внутреннюю лодыжку лучше фиксировать открыто шурупами или по веберу.
Фиксация перелома только шурупами будет не достаточно стабильна и потребует наложить гипс.
Конечно другие методы фиксации тоже подходят. Как второй метод я бы выбрал длинную пластинку с блокирующими шурупами (LCP , LISS) .
В принципе нужно применить методику котрой вы лучше владеете и есть технические возможности, но по моему мнению перелом классический для Илизарова.
С уважением М.Беренштейн
|
[
Ответить ]
|
Re: Сложный внутрисуставной перелом голени
Отправитель: Aharon Liberson 22 Апрель 2007, 09:46
|
I would act pretty similarly
AL
|
[
Ответить ]
|
Re: Сложный внутрисуставной перелом голени
Отправитель: Aharon Liberson 22 Апрель 2007, 09:45
|
Proximally I would use only 1 KW to allow rotation
Distally- Tuber calcanei close 2 Achilles insertion and Talar neck I would use either olives or minimal iNT fIX FOR "GOOD PARTS" AND ALLOW BOTH DISTRACTION AND ROTATION AROUND DISTRACTION PINS
Проксимально я бы использовал только одну спицу, чтобы позволить ротацию. Дистально - пяточный бугор в области прикреплекния ахилла и шейку тарана. Я бы использовал или спицы с оливаи или минимальную внутреннюю фиксацию для "хороших фрагментов" и позволил и дистракцию, и ротацию вокруг стержней дистрактора.(Перевод АЧ)
al
|
[
Ответить ]
|
Re: Сложный внутрисуставной перелом голени
Отправитель: Алексей Семенистый 23 Апрель 2007, 08:37
|
> -"Фиксация всего винтами" - это привильно, гипс - как-то не по-доброму-
> "Сам не хочу, да!" Но вопрос в чем - дистальная база аппарата - на мой взгляд будет проблемно наложить
> из-за винтов в дистальном метаэпифизе.
Вероятность конфликта между винтами и спицами незначительна и не критична.
Но аппарат надо накладывать первым этапом, так? А тогда будет сложновато управляться в г/стопе(ограничены
наши манипуляции и возможность управлять стопой). Мы планируем собрать диафиз винтами, а потом "ворошить" сустав
и соединять все в единое целое.
Нет, Антон, порядок действий обратный! В первую очередь репонируют и фиксируют сутавной перелом винтами.
Диафиз винтами? зачем? После фиксации суставных отломков вы какбы переводите перелом 43С в более простой - 42В, который вы лечите аппаратом (или гвоздем, или пластиной). Вы же не будете фиксировать винтами диафизарный перелом перед, как фиксировать его аппаратом?
> Если есть мысли по поводу аппарата (компоновка и что фиксировать им, помимо просто стабилизирующей цели)
> буду благодарен.
Для дистракции и репозиции суставного перелома я бы использовал не аппарат Илизарова, а что-то вроде стержневого дистрактора: из деталей стержневого трубчатого наружного фиксатора - винт Шанца в таран или пятку и винт в диафиз. После того как суставной перелом фиксирован винтами, дистрактор снимаем и фиксируем аппаратом Илизарова (пластиной, гвоздем), стопу фиксировать не нужно!
Согласен с А.Челноковым, что аппаратный метод в данном случае можно поставить на первое место, я бы сказал по его универсальности.
Остеосинтез пластиной самый рискованный в плане воспалительных осложнений.
Штифтование - самый спорный способ, но возможно я выбрал бы именно его
С уважением, А.Семенистый.
ГКБ 13, Москва.
|
[
Ответить ]
|
|
Re: Сложный внутрисуставной перелом голени
Alexander Artemiev 22 Апрель 2007, 11:19
|
Приветствую всех
Соглашусь со многими.
Во вложении - картинки из моей книжки как раз по этой теме
Схемы коррекции различных видов смещения в аппарате
 Коррекция длины
 Коррекция ротации
 Коррекция ширины
В следующих письмах - дополнительные иллюстрации
С уважением Александр Артемьев
|
[
Ответить ]
|
Re: Сложный внутрисуставной перелом голени
Отправитель: Alexander Artemiev 23 Апрель 2007, 08:56
|
Открытая репозиция.

Ничто особо не мешает, наоборот - все видно, требования к фиксации не очень высоки - можно просто фиксировать спицей или винтомю Внешний аппарат берет основную нагрузку
|
[
Ответить ]
|
|
Re: Сложный внутрисуставной перелом голени
Alexander Artemiev 23 Апрель 2007, 12:39
|
Пример -
задний край и диафиз

По поводу конкретного вопрошаемого случая:
1. Скорее всего в аппарате удасться вывести закрыто всё, кроме внутренней лодыжки. Открывайтесь и фиксируйте либо спицей с упором,
либо винтом.
2. ЭОП - очень спорное достижение в таких случаях. Сильные искажения.
Буквально вчера переделывали практически похожий случай. На ЭОПе всё идеально. На пленке - ступенька переднего края. Брали повторно, но уже
пригласили рентгенлаборантку в операционую сделать снимок.
3. Последнее время всё чаще делаем аппарат Илизарова в симбиозе с винтами, которыми фиксируем края (передний и задний), лодыжки и теперь - диафиз.
Позволяет пораньше снять аппарат.
С уважением Александр Артемьев
|
[
Ответить ]
|
Re: Сложный внутрисуставной перелом голени
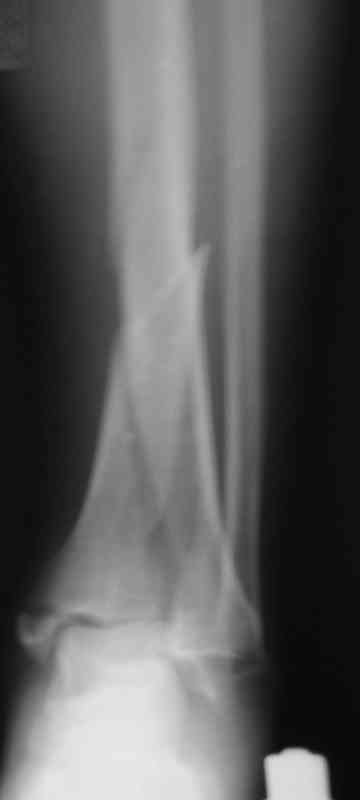
Антон Лебединец 25 Апрель 2007, 21:42
|
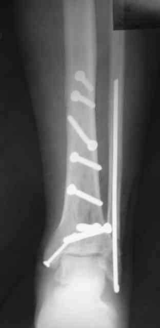
Сегодня прооперировали. Длительность 4-50. Начали как и говорил сверху вниз линейным разрезом - фиксация задне-латерального отломка к проксимальному 2мя винтами, затем "прилепили" к ним передне-медиальный (пришлось повозиться - была интерпозиция и довольно "сложный" винт) - к проксимальному 1 винтом и к задне-латеральному 1 винтом.Кстати на фото видно - у передне-медиального отломка еще осколок в области сустава, несколько смят. Далее началось веселье - второй доступ - задне-наружный к латеральной лодыжке и заднему краю, но оказалось, что задний край больше задне-медиальный (по снимкам было непонятно). Плюс к этому репозиция его мягко говоря сложновата (больной на спине, стол низкий и не поднимается). В общем выставили, фискировали 2мя винтами, на ЭОПе вроде стал, только верх отошел. Латеральную лодыжку заведующий решил интрамедуллярно (не хотел еще винты толкать), сначала 3мм спицей - нестабильно, затем 4мм стержень (не помню по автору) - ОК (кстати в месте перелома мелкая крошка - дефект до 5х7 мм по кортикалу). Ну медиальная лодыжка стандартно - третий разрез - винт 3,5 мм. Визуально все стабильно. На Р-контроле - видна небольшая ступенька заднего края по одному из контуров.
Далее - сейчас нога в пластиковом башмаке (гуманитарная помощь - что-то вроде транспортной иммобилизации - пластик+пневмо), далее заведующий хочет гипсовую повязку до колена. Я предлагаю как иммобилизация аппарат - кольцо - проксимальный метафиз, полукольцо - пятка. По-моему для кожи (оцените на фото), да и для больного лучше. Ваше мнение?
Фото и Р-граммы в приложении
|
[
Ответить ]
|
Re: Сложный внутрисуставной перелом голени
Отправитель: Антон Лебединец 29 Апрель 2007, 22:01
|
Рентгенограммы

|
[
Ответить ]
|
Re: Сложный внутрисуставной перелом голени
Отправитель: Алексей Семенистый 01 Май 2007, 01:43
|
А вид всей голени и стопы после операции?
|
[
Ответить ]
|
Re: Сложный внутрисуставной перелом голени
Отправитель: Alexander Chelnokov 01 Май 2007, 12:35
|
> к проксимальному 1 винтом и к задне-латеральному 1 винтом. Кстати на
> фото видно - у передне-медиального отломка еще осколок в области
А можно посмотреть этапные фото в ходе операции?
> сустава, несколько смят. Далее началось веселье - второй доступ -
> задне-наружный к латеральной лодыжке и заднему краю, но оказалось, что
> задний край больше задне-медиальный (по снимкам было непонятно).
По снимкам до операции задний край находился в правильных взаимоотношениях к передне-медиальной части суставного конца tibia, то есть мог быть фиксирован закрыто спицами или винтом.
> Я предлагаю как иммобилизация аппарат - кольцо - проксимальный
> метафиз, полукольцо - пятка. По-моему для кожи (оцените на фото), да
Опять фото нет, только рентгенограммы были.
Вообще, аппарат тут вполне можно, только фиксация стопы избыточна, разве что до заживления раны. Аппарат тут нужен в той же роли, что нейтрализующая пластина.
|
[
Ответить ]
|
Re: Сложный внутрисуставной перелом голени
Отправитель: Антон Лебединец 01 Май 2007, 13:39
|
Фото посылал - почему то не дошли. Попробую еще раз
|
[
Ответить ]
|
Re: Сложный внутрисуставной перелом голени
Отправитель: А.Миронов 01 Май 2007, 18:26
|
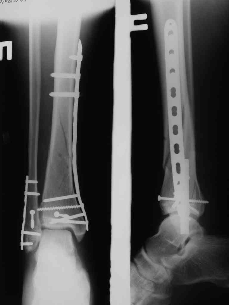
Здравствуйте Антон!
Очень много разрезов, большая длительность операции, в итоге нестабильная фиксация, требующая доп. внешней иммобилизации. Высокий риск инфекции.
Мы бы фиксировали пластиной м/берцовую кость открыто, на б/берцовую пластину MIPO, при необходимости сустав открыть минимально.

На фото простой суставной, метафиз. оскольчатый с переходом на диафиз перелом, пластина MIPO.
С Уважением А.Миронов
|
[
Ответить ]
|
|
Re: Сложный внутрисуставной перелом голени
Антон Лебединец 02 Май 2007, 00:20
|
Фото с операции
|
[
Ответить ]
|
Re: Сложный внутрисуставной перелом голени
Отправитель: Алексей Семенистый 02 Май 2007, 00:21
|
Андрей Миронов показал более симпатичную картинку.
С уважением, А.Семенистый.
ГКБ 13, Москва.
|
[
Ответить ]
|
Re: Сложный внутрисуставной перелом голени
Отправитель: Антон Лебединец 02 Май 2007, 00:23
|
В каком плане более симпатичную - у каждого свои возможности! Плюс "мнение редакции не всегда совпадает с мнением автора" - я к тому, что творчество не мое.
С уважением А. В. Л.
|
[
Ответить ]
|
Re: Сложный внутрисуставной перелом голени
Отправитель: Алексей Семенистый 02 Май 2007, 00:27
|
> В каком плане более симпатичную - у каждого свои возможности!
Для такой возможности необходим ЭОП, который у вас есть, и желание.
> Плюс "мнение редакции не всегда совпадает с мнением автора" - я к тому, >что творчество не мое.
Этот факт внушает оптимизм и дает веру в будущее.
Суть не в том, как вы дальше будете вести этого пациента, а в том как ВЫ оцениваете уже сделанное, какой путь ВЫ выберете в следующий раз. Вы получили удовлетворение от операции?
С уважением, А.Семенистый.
ГКБ 13, Москва.
|
[
Ответить ]
|
Re: Сложный внутрисуставной перелом голени
Отправитель: Антон Лебединец 02 Май 2007, 00:29
|
Алексей!
> Для такой возможности необходим ЭОП, который у вас есть, и желание.
-А кроме ЭОПа - нормальный стол, инструментарий и прочее "железо".
Вы получили удовлетворение от операции?-
Не вполне. Я до сих пор считаю что диафиз надо было фиксировать аппаратом во избежании проблем в дальнейшем как со сращением так и с кожей.
С уважением А. В. Л.
|
[
Ответить ]
|
Re: Сложный внутрисуставной перелом голени
Отправитель: Alexander Artemiev 02 Май 2007, 09:07
|
Приветствую.
Нельзя ли попросить снимки именно голеностопного сустава. Представлены снимки голени в нижней трети.Сустав фактичеси не виден.
С уважением Александр Артемьев
|
[
Ответить ]
|
Re: Сложный внутрисуставной перелом голени
Отправитель: Антон Лебединец 02 Май 2007, 17:18
|
Александр, если вы имеете в виду послеоперационные Р-граммы - то это все что есть. А сустав виден достаточно, чтобы оценить то что есть
|
[
Ответить ]
|
Re: Сложный внутрисуставной перелом голени
Отправитель: Alexander Artemiev 03 Май 2007, 20:22
|
Приветствую, Антон
> Александр, если вы имеете в виду послеоперационные Р-граммы - то это
> все что есть.
Да, послеоперационные.
>А сустав виден достаточно, чтобы оценить то что есть
Как скажете, хотя суставная поверхность не совсем видна.
Вы представили снимок голени в нижней трети. На сустав луч упал косо, это искажает.
Есть подозрение, что имеется ступенька заднего края, внутренняя лодыжка оттопырена. Взаимоотношения в суставе важнее, чем точная репзиция диафиза.
С уважением Александр Артемьев
|
[
Ответить ]
|
Re: Сложный внутрисуставной перелом голени
Отправитель: Антон Лебединец 03 Май 2007, 21:31
|
> >А сустав виден достаточно, чтобы оценить то что есть
> Как скажете, хотя суставная поверхность не совсем видна.
Конечно снимки не идеал, особенно боковой, но других к сожалению нет. Перед выпиской закажу ему новые "красивые"
> Вы представили снимок голени в нижней трети. На сустав луч упал косо, это искажает.
> Есть подозрение, что имеется ступенька заднего края, внутренняя лодыжка оттопырена. Взаимоотношения в суставе важнее,
> чем точная репозиция диафиза.
Ступенька заднего края и в самом деле вроде есть, но видна по одному из контуров - я о этом писал выше. А лодыжка должна стоять на месте - ставили-то открыто - да и на снимках положение ее правильное.
С уважением А. В. Л.
|
[
Ответить ]
|
Re: Сложный внутрисуставной перелом голени
Отправитель: Игорь Кучерявый 03 Май 2007, 21:34
|
> А лодыжка должна стоять на месте - ставили-то открыто - да и на снимках
> положение ее правильное.
В боковой проекции - диастаз, 0,5-1мм.
P.S. Все-таки собирать оскольчатый перелом большеберцовой кости просто винтами - несколько неправильно...
Игорь Кучерявый
|
[
Ответить ]
|
Re: Сложный внутрисуставной перелом голени
Отправитель: Исмаил Дибиров 03 Май 2007, 23:00
|
Остеосинтез одними винтами,да еще в разных плоскостях и под различными углами к линии перелома, с межфрагментарной компрессией, никто не отменял. По крайней мере не уступит остеосинтезу пластиной,плохо отмоделированной и расположенной "как удобно" хирургу.Синтез должен быть стабильно-функциональным, или хотя бы стабильным.Просверлите достаточное количество винтов, 8, 10, больше, если надо! Не 4 и не 6!Боитесь гипсовой повязки? наложите функциональную короткую повязку. Разрешайте
движения в суставах с первых дней! С нагрузкой весом,согласен,придется подождать.
|
[
Ответить ]
|
Re: Сложный внутрисуставной перелом голени
Отправитель: Alexander Chelnokov 04 Май 2007, 00:55
|
> различными углами к линии перелома,с межфрагментарной компрессией,
> никто не отменял.
Отменять можно то, что ранее было утверждено. А такой остеосинтез никогда не был рекомендован. Это заведомо несостоятельный остеосинтез, и хороший исход тут воспримется не как должное, а с некоторым удивлением.
> По крайней мере не уступит остеосинтезу пластиной,плохо
> отмоделированной и расположенной "как удобно" хирургу.
Зачем сравнивать плохое с худшим?
Ведь понятно, какие способы остеосинтеза при таком переломе куда более обоснованно могут быть методом выбора, хотя можно много спорить о важных деталях - доступы, такая пластина, сякой штифт, этакий
аппарат... В частности, те же (или введенные несколько иначе, и с сменьшими разрезами) винты в сочетании с нейтрализующим аппаратом давали бы куда меньше оснований для скептического восприятия сделанного.
> Синтез должен быть стабильно-функциональным,или хотя бы
> стабильным.
Оказывается, под этим можно понимать очень разные вещи.
> Просверлите достаточное количество винтов,8,10.больше,
> если надо! Не 4 и не 6!
Да хоть 100 - не обеспечат одни винты запаса стабильности, ведь шины нету.
> Боитесь гипсовой повязки? наложите функциональную короткую
Случается, рассыпается такой остеосинтез прямо в повязке, даже тяги мышц не выдерживает. А уж если разок оступиться... А если не разок...
|
[
Ответить ]
|
Re: Сложный внутрисуставной перелом голени
Отправитель: алексей Семенистый 04 Май 2007, 21:36
|
Здравствуйте, Исмаил.
Вы писали: > Остеосинтез одними винтами,да еще в разных плоскостях и под различными углами к линии перелома,с
Вы писали: > межфрагментарной компрессией, никто не отменял.
Все-таки то, что Вы имеете ввиду, как самостоятельный метод фиксации диафизарного перелома давно никем не рекомендуется.
Во вторых, стягивающие винты рекомендуется проводить не "в разных плоскостях и под различными углами к линии перелома", а перпендикулярно плоскости перелома!
> Синтез должен быть стабильно-функциональным.
Некоторые еще называют "функционально-стабильным"...
Объясните мне, что ЭТО! ...
....нестабильно-функциональный, стабильно-нефункциональный, нефункционально-стабильный, функционально-нестабильный...
> Боитесь гипсовой повязки? наложите функциональную короткую повязку...
"Функциональная" гипсовая повязка переводит "стабильный остеосинтез" в стабильно-функциональный (или функционально-стабильный)???
>Разрешайте движения в суставах с первых дней!
В каких суставах? Рана бы зажила...
С уважением, А.Семенистый.
ГКБ 13, Москва.
|
[
Ответить ]
|
Re: Сложный внутрисуставной перелом голени
Отправитель: Maxim Agalakov 04 Май 2007, 21:52
|
> Остеосинтез одними винтами,да еще в разных плоскостях и под
> различными углами к линии перелома,с межфрагментарной компрессией,
> никто не отменял.
а жаль
> пластиной,плохо отмоделированной и расположенной "как удобно"
> хирургу.
современные пластины вообще не надо моделировать
> стабильным.Просверлите достаточное количество винтов,8,10.больше,
> если надо! Не 4 и не 6!
прочность такой конструкции будет определяться всего одним винтом,
т.е. достаточно резорбции (прорезания, сорванной резьбы и т.д.) в
одном месте и перелом развалится.
Пластина, гвоздь, аппарат
позволяют шунтировать нагрузку, прочность остеосинтеза будет
определяться всей конструкцией, ане отдельным ее элементом.
--
С уважением,
Максим Агалаков
|
[
Ответить ]
|
Re: Сложный внутрисуставной перелом голени
Отправитель: Исмаил Дибиров 05 Май 2007, 01:04
|
Приветствую! Темны ночные дела. Если удалось одномоментно во время операции добиться и репозиции и фиксации-это же здорово! В
ситуациях когда репозиция растягивается во времени: при наложении "натяженной петли", КДА Илизарова. С одной стороны, конструкция стабильная,в тоже время продолжается компрессия (дистракция,репозиция), в смысле растянутости процесса по времени. И такой остеосинтез я погорячился обозвать стабильно-функциональным. Под разными углами имелось в виду, что часть у
винтов у "уважаемого Мюллера" проводились под 90 к диафизу, а большая часть - к перелому. Согласен, лучше ездить на современной машине, но по таким же дорогам; чем по ухабам на "раздолбайке". И, конечно же, имелся в виду остеосинтез простых диафизарных спиральных переломов, а не сложных внутри и околосуставных переломов. Пасую! Он был бы по стабильности на втором месте, после
гипсовой повязки. Каюсь, и спасибо! Вспомнил занятия на 4 курсе в 4 ГКБ,которые вел доцент Скороглядов.
|
[
Ответить ]
|
Re: Сложный внутрисуставной перелом голени
Отправитель: Djoldas Kuldjanov 04 Май 2007, 00:57
|
Уважаемый Антон,
Меня немного удивляет Ваш ответ “если вы имеете в виду послеоперационные Р-граммы - то это все что есть. А сустав виден достаточно, чтобы оценить то что есть” .
Мне кажется, недостаточно последних ренгенограмм для оценки состояния сустава, необходимы стандартные (прямой, боковой и мортиз) снимки голеностопного сустава, и снимки надо сделать с укладкой на голеностоп, а не голень.
Не думаю, что есть какие-то сложности в организации обязательных снимков, потому что после реконструктивных операций на суставе это правило, тем более у вашего больного, где самым важным звеном является состояние голеностопа, а не диафиза, как ваш заведующий акцентрирует.
Коллеги подсказали различные варианты фиксации, включая минимальный открытый метод с фиксацией в аппарате Илизарова (Артемьев), а также перкутанный метод (Миронов) пластиной с угловой стабильностью.
Несмотря на различия методик, оба случаи, кстати сделанные на превосходном уровне, заслуживают внимания тем, что первостепенной задачей был поставлено восстановление суставной поверхности.
После восстановления сустава, не думаю, что были бы какие-то сложности в репозиции крупнооскольчатых переломов голени с применением минимально-открытой или закрытой методик.
Несмотря на анатомичность репозиции, полностью скелетированная нижняя треть!!! большеберцовой (на снимке) и стабильность фиксации вызывают беспокойство, обычно после такого склетирования удлиняются сроки сращения, и невозможно проследить на ренгенограмме признаков сращения в обычные сроки.
Методику минимальной фиксации никто не отрицает, но на диафизе она очень часто осложняется вторичными смещениями, и поэтому во всех случаях, даже при около- и внутрисуставных переломах, жесткость фиксации достигают установкой дополнительной нейтрализирующей пластины или наружными фиксаторами.
> А кроме ЭОПа - нормальный стол, инструментарий и прочее "железо"
Конечно, трудно сопоставить и провести фиксацию на современном уровне с минимальными ресурсами, при отсутствии стола, инструментария и прочих железок, но мне кажется, неудовлетворенность от операции не только в этом, а самое главное - отсутствие общей доктрины в лечении таких больных.
Независимо от метода, идеальное сопоставление суставной поверхности в первую очередь, затем фиксация диафиза должен быть догмой в тактике лечения, кстати, не такого уж сложного перелома.
Djoldas Kuldjanov, MD
Department of Orthopedic Surgery
St. Louis University Medical Center
|
[
Ответить ]
|
Re: Сложный внутрисуставной перелом голени
Отправитель: Антон Лебединец 04 Май 2007, 00:59
|
Уважаемый Djoldas
> Мне кажется, недостаточно последних ренгенограмм для оценки состояния
> сустава, необходимы стандартные (прямой, боковой и мортиз) снимки
> голеностопного сустава, и снимки надо сделать с укладкой на
> голеностоп, а не голень.
Обязательно переделаем перед выпиской
> Не думаю, что есть какие-то сложности в организации обязательных
> снимков, потому что после реконструктивных операций на суставе это
> правило, тем более у вашего больного, где самым важным звеном является
> состояние голеностопа, а не диафиза, как ваш заведующий акцентрирует.
Никто не оспаривает "первенства" голеностопа, и здесь я полностью с вами согласен
> Коллеги подсказали различные варианты фиксации, включая минимальный
> открытый метод с фиксацией в аппарате Илизарова (Артемьев), а также
> перкутанный метод (Миронов) пластиной с угловой стабильностью.
> Несмотря на различия методик, оба случаи, кстати сделанные на
> превосходном уровне, заслуживают внимания тем, что первостепенной
> задачей был поставлено восстановление суставной поверхности
Молчу и учусь. :)
> Несмотря на анатомичность репозиции, полностью скелетированная нижняя
> треть!!! большеберцовой (на снимке) и стабильность фиксации вызывают
> беспокойство,
Да!!!
Спасибо за весьма конструктивное подведение итога этой дискуссии
С уважением А. В. Л.
|
[
Ответить ]
|
|
( Ответить )
|
|