AOTRAUMA.ORG Центр Илизарова  

Ортопедия и травматология Общие вопросы/General questions Help Информационные технологии в медицине
 вверх
 отправить
 поиск
 админ
 главная
 Предыдущее
 Весь тред


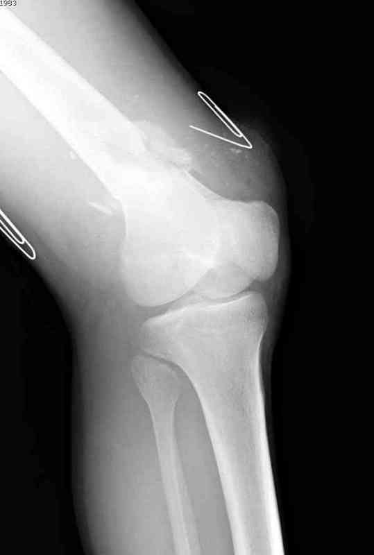
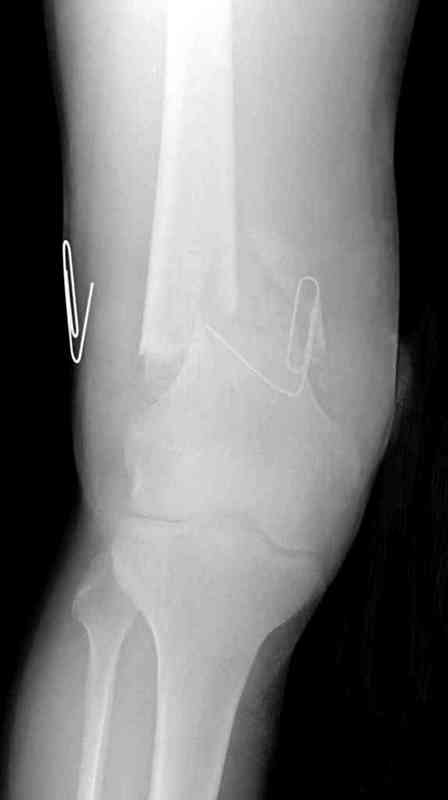
Re: The patient with non-union of the distal femur
Djoldas Kuldjanov 10 Май 2007, 00:36
Вдогонку..
Вчера утром поступил больной с огнестрельной раной, осмотрен сосудистым специалистом, сделана ангиограмма (снимки) Во время операции при вскрытии обнаружили кровотечение, рану забили салфетками, установили пластину locking DePuy.




Из-за возрастающего давления в компартменте сделана фасциотомия и вызванный сосудистый хирург ушил разрыв вены на уровне перелома. Все раны оставлены открытими, в пятницу закроем.


Djoldas Kuldjanov, MD
Department of Orthopedic Surgery
St. Louis University Medical Center

  • Сообщения о Ортопедия и травматология
  • Также Djoldas Kuldjanov
  • Связаться с автором
  • Ответить

    Re: The patient with non-union of the distal femur
    vit 13 Май 2007, 23:09
    интересны обстоятельства ранения. известен ли вид ранящего снаряда( по всей видимости имеет место быть ранение низкокинетическим ранящим снарядом, м.б. это был рикошет? кто стрелял- полицейский?) из раны какой поверхности бедра реализовывалось кровотечение?-операционной раны?.в чем заключались сложности осуществления гемостаза?что посужило показанием к осуществлению фасциотомии при при напряженной гематоме, особенно в условиях анамнестически неустойчивого гемостаза, а не срочной ревизии гематомы? была ли закрыта металлоконструкция мышечной тканью?
    [ Ответить ]


    ( Ответить )

    Powered by Zope  Squishdot Powered MedLink
    Посетитель: 0201839
      "По форме правильно, а по существу - издевательство" В.И.Ленин
    ©2001-2019Orthoforum Coordinator.
    [ Главная | Отправить сообщение | Поиск | Админ ]