ВХОД ДЛЯ ПАЦИЕНТОВ
вверх
поиск
админ
главная
|
Неправильно консолидированный перелом лодыжек |
 |
 |
 |
Прислано Денис Магданов 06 Май 2007, 01:44
из
Уважаемые коллеги. Хотелось бы услышать ваше мнение по следующему случаю
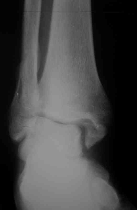
Обратился больной 23 года, травма 4 месяца назад - закрытый перелом наружной, внутренней лодыжки правой голени. Лечился консервативно, гипсовой иммобилизацией 8 недель, после снятия последней прошел курс восстановительного лечения. Беспокоят боли в области правого голеностопного сустава больше в проекции внутренней лодыжки, к вечеру. Отечность области сустава при физических нагрузках.
Походка не изменена. Контуры правого голеностопного сустава сглажены. Имеется вальгусная установка правой пяточной кости. Объем движений в голеностопном суставе подошвенное / тыльное сгибание 50/0/80, безболезненные. Посоветуйте что делать в данной ситуации.
Мне видится следующий вариант решения данной деформации: Восстановление нормальной анатомии голеностопного сустава - остеотомия малоберцовой кости и внутренней лодыжки, удалить все рубцы из области дистального межберцового синдесмоза, восстановить длину и устранить ротационное смещения наружной лодыжки.( встанет ли таранная кость на место?), фиксация наружной лодыжки пластиной, внутренней - винтами, дистального межберцового синдесмоза винтом. ЭОПом не располагаем. Что вы посоветуете? Где могут быть - технические трудности, <подводные камни>.
Обратите внимание: Поля с жирными названиями обязательны.
Старайтесь отвечать в рамках обсуждаемой темы, а не начинать новые обсуждения.
Указывайте адекватную тему сообщения, чтобы было ясно, о чем оно.
Не послайте сообщений не по теме (оффтопик), раздраженных, грубых или обидных комментариев. Здесь это неуместно.
|