AOTRAUMA.ORG Центр Илизарова  

Ортопедия и травматология Общие вопросы/General questions Help Информационные технологии в медицине
 ВХОД ДЛЯ ПАЦИЕНТОВ
 вверх
 поиск
 админ
 главная


Остеомиелит позвоночника
Ортопедия и травматология Прислано Александр Лембас 06 Май 2007, 23:29
из
Больной 1949 г.р. поступил в отд. неврологии 3.03.07 г с д-зом: Остеохондроз грудного отдела позвоночника. При поступлении предъявлял сильные боли в грудном отделе позвоночника.
Распространенным остеохондрозом позвоночника страдает несколько лет, неоднократно лечился у невропатолога поликлиники. Состояние ухудшилось в конце февраля после физической нагрузки. В марте 2005 г. лечился в х\о по поводу нагноившейся атеромы спины.
При поступлении - ограничение движений в грудном отделе позвоночника, кифоз, болезненность при пальпации паравертебральных точек спины, симптомы D=S, парезов не отмечалось. При поступлении общеклинические и биохимические анализы крови и мочи. Все в пределах нормы. Можно отметить только L- 9,9 тыс.
Назначенное рутинное лечение остеохондроза с включением НПВС было без эффекта. На фоне нарастающего болевого синдрома, 15. 03.07 г наступила нижняя параплегия, нарушение функции тазовых органов по типу острой задержки мочи. Больной переведен в ОРиТ, где были выполнены дополнительные методы обследования:

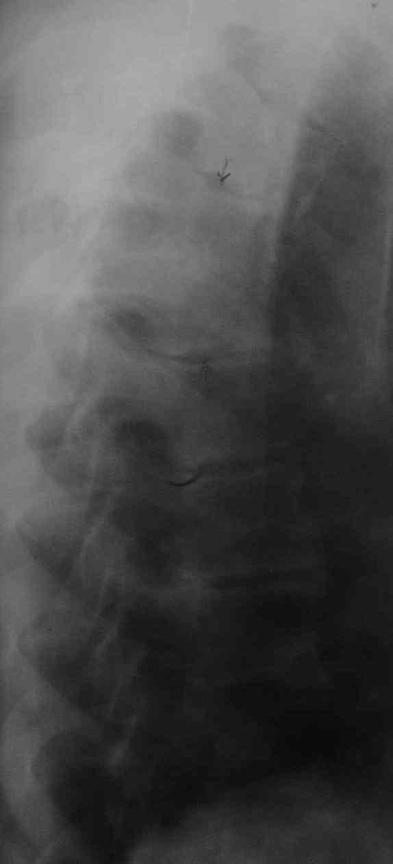
1. Rо-графия грудного и поясничного отделов позвоночника - деструкция с клиновидной деформацией Th5-6. Закл.: застарелый компрессионный перелом? Мт?
2. УЗИ внутренних органов - внутренние органы без патологии. Простата визуализируется с трудом. Края неровные, размеры 6,2х4,8х5,3 см., структура неоднородная. Объем мочевого пузыря - 600,0 мл. Заключение : Хр. б\к холецистит, Аденома простаты. Сч простаты?
3. ФГДС - заключение: Эрозивный дуоденит. Атрофический гастрит.
4. Рентгенография легких - без патологии.
5. Ретроспективный пересмотр флюорограмм за последние 3 года - без патологии.
Повторно выполнены клинические и биохимические анализы крови. Заслуживает внимания только нарастание лейкоцитоза (L - 14,0П-4,С-68,Л-64,М-5, СОЭ - 65 мм.\ч).
Ликвор: цвет - светло-желтый, ксантохромия- наблюдается, прозрачность - мутная, нейтрофилы - 95%, лимфоциты - 5%, цитоз - 588х106/л, белок - 9,9 промилей. В осадке - I пробирка: L- в большом количестве, Э- неизмененные, в большом количестве,Э- измененные, 1-3 в п\з. II пробирка: L - в небольшом к-ве, Э - неизмененные, 7-10 в п\з, Э- измененные, 2-3 в п\з.
К ранее назначенному лечению добавлены инфузионная терапия, антибиотики ( цефтриаксон, ципринол), гормональная терапия (дексаметазон 8,0 мгх2 р\д), гепарин, диуретики, посиндромная терапия.
Осмотрен урологом, онкологом. Достоверных данных за наличие Мт. не установлено. В связи с неясностью диагноза, был направлен на КТ в Тираспольскую РКБ.
21 марта больной скончался. На вскрытии - внутренние органы без признаков какой-либо патологии. При разведении волокон передней продольной связки в проекции Th4-6 была вскрыта гнойная полость с наличием деструкции тел указанных позвонков, с прорывом гнойника в позвоночный канал. Дуги и отростки позвонков - без признаков поражения. Гной сливкообразной консистенции, зеленоватого цвета. Гнойных затеков в мягких тканях также не обнаружено. Таким образом, выставлен п\а диагноз: гнойный остеомиелит тел Th4-6 c прорывом в позвоночный канал.

Вопросы:
1. Можно ли было своевременно установить диагноз?
2. Каково лечение, в т.ч. и хирургическое должно было проводиться?
3. Могла ли быть источником гнойной инфекции нагноившаяся атерома, пролеченная в марте 2005 г?
4. Остеомиелит тел позвонков нужно рассматривать как острый, или это хронический, медленно процесс?

С уважением, А.Лембас.Приднестровье.

Послать ответ

Имя
Email
Уведомление Сообщить мне по e-mail об ответах на это сообщение
Название
Комментарий
(Проверьте URL! Не забудьте написать http://!)
Кодировка
Если не знаете, что выбрать, выберите "Просто текст"!
Приложение
Можно приложить к сообщению файл c изображением, который затем будет доступен увидевшим сообщение.
Подготовка иллюстраций:
  • Рентгенограммы: черно-белые полутоновые изображения в формате JPEG (8 bit, greyscale) с разрешением от 300х200 до 1024х768 пикселов;
  • Клинические фотографии: полноцветные изображения в формате JPEG (24 bit, truecolor) с разрешением от 300х200 до 1024х768 пикселов;
  • Схемы и рисунки: черно-белые (2 bit) штриховые (line-art) изображения в формате GIF или compressed TIFF
  • Подберите степень сжатия файла JPEG и размер изображения таким образом, чтобы необходимые детали были различимы, но размер файла не превышал 75 кб.
  • Учтите, что текущая версия программного обеспечения Форума позволяет приложить к одному сообщению лишь один файл-вложение. Поэтому, если необходимо отправить несколько изображений, можно либо послать каждое как отдельное сообщение, либо в графическом редакторе объединить изображения в одно (сделать коллаж).
  • Если при подготовке изображений встречаются трудности, не стесняйтесь обратиться к координатору Форума.

  • Введите видимые символы в обратном порядке. Enter the above characters in reverse order (*Обязательно)
    В тексте сообщения можно использовать теги HTML <B> <I> <P> <A> <LI> <OL> <UL> <EM> <BR> <TT> <HR> <STRONG> <BLOCKQUOTE> <DIV .*> <DIV> <P .*>
  • Обратите внимание: Поля с жирными названиями обязательны.
  • Старайтесь отвечать в рамках обсуждаемой темы, а не начинать новые обсуждения.
  • Указывайте адекватную тему сообщения, чтобы было ясно, о чем оно.
  • Не послайте сообщений не по теме (оффтопик), раздраженных, грубых или обидных комментариев. Здесь это неуместно.
  • Powered by Zope  Squishdot Powered MedLink
    Посетитель: 0200741
      "По форме правильно, а по существу - издевательство" В.И.Ленин
    ©2001-2019Orthoforum Coordinator.
    [ Главная | Отправить сообщение | Поиск | Админ ]