ВХОД ДЛЯ ПАЦИЕНТОВ
вверх
поиск
админ
главная
|
эндопротезирование или артродез |
 |
 |
 |
Прислано Batal 20 Май 2007, 00:27
из
Эндопротезирование или артродезирование ?
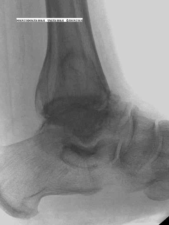
К нам обратился пациент 73 лет с жалобами на боли и деформацию в области левого голеностопного сустава.
В анамнезе: в 1980 году перелом обеих лодыжек с вывихом стопы кнаружи. Лечился консервативно: одномоментная репозиция переломовывиха в левом голеностопном суставе с трансартикулярной фиксацией голеностопного сустава спицами Киршнера через пяточную, таранную, большеберцовую кости. Накладывалась гипсовая иммобилизация. Даная манипуляция осложнилась нагноением с развитием гнойного артрита. Были удалены спицы, сустав со слов больного, промывался растворами, но не вскрывался, получал антибиотики. Гнойный процесс был купирован, и рецидива с тех пор не было.
Об-но: Левый голеностопный сустав деформирован за счет разрастания костной ткани и отечности мягких тканей. Левая стопа с вальгусной установкой, практически отсутствуют все своды левой стопы (стопа плоская). Полный объем движений в левом голеностопном суставе максимум достигает 15 гр, движения стопы в основном за счет подтарнного сустава. Пальпаторно область голеностопного сустава не столь болезненна, как болезненна область подтаранного сустава и область таранно-ладьевидного сустава.
После изучения объективного статуса, анамнеза, рентгенснимков, больному предложен был трехсуставной артродез, так-как мы сочли это наиболее приемлемым в данном случае. Но больной отказывается от данной операции и настаивает на эндопротезировании левого голеностопного сустава. Во первых, наше отделение не имеет опыта в эндопротезиовании голеностопного сустава. Во вторых, нам кажется, что трехсуставное артродезирование в данном случае наиболее подходящее. Причиной тому, на наш взгляд, выраженная деформация левой таранной кости, как следствие аваскулярного некроза, и то что болит не голеностопный сустав в данном случае ( хотя в нем и ограничено движение), а подтранный и таранно-ладьевидный суставы и то что эндопротезирование одного голеностопного сустава не решит проблем в подтаранном, ладьевидно-таранном сочленениях. Наши доводы оказались безуспешными, а так как пациент является ученным, требовал доказательной базы наших умозаключений.
Ваше мнение по данному случаю, и мы были бы благодарны, если у кого то есть материал по данной теме или есть ссылки. Заранее благодарны всем, кто примет участие в обсуждении данной темы.
Обратите внимание: Поля с жирными названиями обязательны.
Старайтесь отвечать в рамках обсуждаемой темы, а не начинать новые обсуждения.
Указывайте адекватную тему сообщения, чтобы было ясно, о чем оно.
Не послайте сообщений не по теме (оффтопик), раздраженных, грубых или обидных комментариев. Здесь это неуместно.
|