Ответить
|
Re: несросшаяся шейка бедра
Maxim Agalakov 29 Май 2007, 22:11
|
> Вопрос: есть ли возможность избежать первой "подготовительной" операции?
у нас, вероятно, первым этапом наложили бы аппарат таз-бедро без резекции головки, потом протезирование после восстановления длины.
С уважением,
Максим Агалаков
|
[
Ответить ]
|
Re: несросшаяся шейка бедра
Отправитель: Anton Vakulenko 29 Май 2007, 22:14
|
> у нас, вероятно, первым этапом наложили бы аппарат таз-бедро без
> резекции головки, потом протезирование после восстановления длины.
Получится ли низвести головку? Там, скорее всего очень плотное фиброзное сращение. У нас такого опыта закрытого низведения не было. По вашему мнению, сколько времени может уйти на низведение до 8 см? И какая компоновка АВФ?
С уважением,
А. В. Вакуленко
|
[
Ответить ]
|
Re: несросшаяся шейка бедра
Отправитель: Maxim Agalakov 29 Май 2007, 22:23
|
> Получится ли низвести головку? Там, скорее всего очень плотное
> фирозное сращение. У нас такого опыта закрытого низведения не было. По
> вашему мнению, сколько времени может уйти на низведение до 8 см? И
> какая компоновка АВФ?
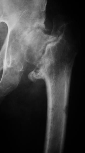
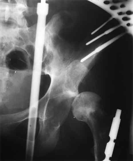
Насчет 8 см согласен с А.Н. Челноковым, это наверное ортопедическое за счет приводящей, сгибательной контрактуры и, возможно, колена. на ликвидацию укорочения у нас обычно уходит около 2-х нед. снимки в приложении, возможно не очень показательные, но других с ходу не нашел, завтра еще поищу.

|
[
Ответить ]
|
Re: несросшаяся шейка бедра
Отправитель: Anton Vakulenko 29 Май 2007, 22:32
|
Буду ждать!..
--
С уважением,
А. В. Вакуленко
|
[
Ответить ]
|
Re: несросшаяся шейка бедра
Отправитель: Maxim Agalakov 30 Май 2007, 23:02
|

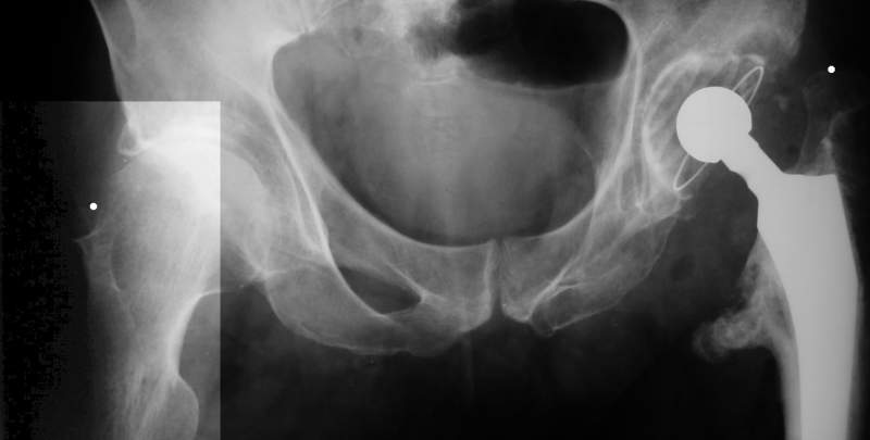
Еще пара фото, ситуация несколько иная, задачи те же, открытое вправление застарелого вывиха в 2002, молодой возраст. Сейчас госпитализирована для эндопротезирования.
--
С уважением,
Агалаков
|
[
Ответить ]
|
|
Re: несросшаяся шейка бедра
Anatoly A. Yakushin 29 Май 2007, 22:11
|
На мой взгляд, вполне возможно выполнить протезирование одномоментно, через стандартный Мюллеровский доступ. Часть проксимального отдела бедра придеться скелетировать.
И быть готовыми к солидной кровопотере.
А нельзя показать снимок таза с контралатеральным суставом.
Anatoly Yakushin
|
[
Ответить ]
|
Re: несросшаяся шейка бедра
Отправитель: Anton Vakulenko 29 Май 2007, 22:12
|
> На мой взгляд, вполне возможно выполнить протезирование одномоментно, через стандартный Мюллеровский доступ. Часть
> проксимального отдела бедра придеться скелетировать.
Мужчина крупный, мускулистый. Движения в суставе резко ограничены.
Боимся, что скелетирование не поможет (или прийдется скелетировать до колена :)
> И быть готовыми к солидной кровопотере.
>
> А нельзя показать снимок таза с контралатеральным суставом.
Завтра постараюсь выслать.
|
[
Ответить ]
|
Re: несросшаяся шейка бедра
Отправитель: Djoldas Kuldjanov 05 Июнь 2007, 05:34
|
Метод беcкровного низведения, предложенный Max&Co, мне кажется более логичным, чем поэтапность с удалением головки и с дальнейшим скелетним вытяжением.
Протезировать можно одномоментно, но тогда потеряется эффект от дистракции на мобильном аппарате. На дистрагированных мягких тканях по
Илизарову "закон напряжения растяжения" (tension stress) лучше делать реконструктивные операции, чем на контрагированных, твердых, как камень мышцах.
Другое преимущество - больной, самостоятельно передвигаясь, не будет обузой для обслуживающего персонала и в течение первого этапа может
находиться дома. После достижения дистракции отпадет необходимость предлагаемого двойного доступа с кровотечением!!, которые послеоперационно имеют большую вероятность осложнений, например, вывих протеза из-за ослабления сустава со всех сторон.
AV> Мужчина крупный, мускулистый
Неужели крупнее нашего 500 паундового "Hamburger Boy", которого с трудом расместили на двойном установленном рядом операционном столе?

Антон, удачи тебе, привет нашему оппоненту, "истинному Илизаровцу", интересно будет узнать его мнение.
Djoldas Kuldjanov, MD
Department of Orthopedic Surgery
St. Louis University Medical Center
|
[
Ответить ]
|
Re: несросшаяся шейка бедра
Отправитель: Anton Vakulenko 06 Июнь 2007, 04:21
|
> Метод беcкровного низведения, предложенный Max&Co, мне кажется более
> логичным, чем поэтапность с удалением головки и с дальнейшим скелетним
> вытяжением.
Да вроде бы крутили больного и так, и сяк, и выяснили, что анатомическое укорочение не такое уж и большое, поэтому остановились на одномоментной операции.
> AV> Мужчина крупный, мускулистый
>
> Неужели крупнее нашего 500 паундового "Hamburger Boy", которого с
> трудом расместили на двойном установленном рядом операционном столе?
Нет конечно. :) Он высокий, но не толстый. Кстати, мы тоже подобную больную оперировали. Сама по себе она не толстая, но бедра и таз просто огоромные!! Самые большие наши крючки едва достигали середины
раны...
> Антон, удачи тебе, привет нашему оппоненту, "истинному Илизаровцу",
> интересно будет узнать его мнение.
Привет передам! Но его мнение мне заранее известно (ведь эндопротез - не аппарат)!.. ;)
С уважением,
А. В. Вакуленко
|
[
Ответить ]
|
|
Re: несросшаяся шейка бедра
Alexander Chelnokov 29 Май 2007, 22:14
|
AV> опираясь на стул. На ногу не наступает. Укорочение 8 см. Иногда
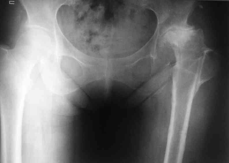
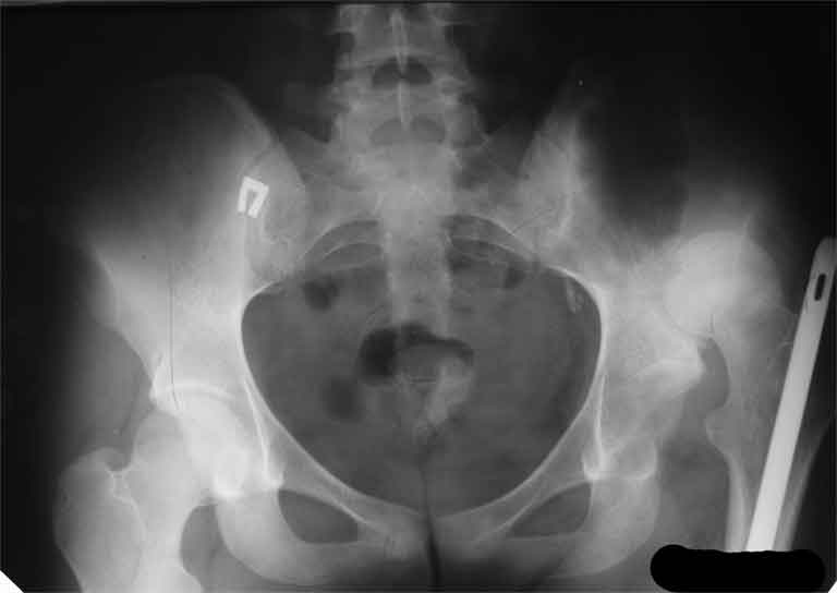
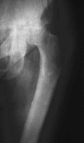
А за счет чего такое укорочение? По снимку не видно соответствующего дефекта. Ну плюс приводящая контрактура - но все равно как-то уж больно много. Может, сделать снимки и таза обзорный с обоими проксимальными отделами бедра, и коенный суставов с приложенной линейкой какой?
|
[
Ответить ]
|
Re: несросшаяся шейка бедра
Evgueny Tchekashkine 29 Май 2007, 22:26
|
Судя по снимку, максимум истинное укорочение около 4 см, что может быть коррегировано интраоперационно. Вопрос в другом: куда ставить ацетабулярный компонент в истинную или во вновь сформированную ( впадина диспластичная).
Терзают смутные сомнения, что у больного и до перелома нога уже была короче: порасспрашивайте анамнез поподробнее.
Невозможно не согласиться с Анатолием, чтобы заниматься адекватным планированием как минимум прямая проекция таза должна быть сделана, как
максимум для оценки состояния мышц( насколько реально возможно низвести бедро) прямая проекция таза с тракцией за больную ногу.
Может экстраартикулярный артродез будет более простым методом решения проблемы опорности ноги для больного и последующим удлинением? Какова изначальная подвижность т.б. сустава?
Всего Доброго ,
Евгеий Чекашкин
|
[
Ответить ]
|
Re: несросшаяся шейка бедра
Отправитель: Anton Vakulenko 29 Май 2007, 22:31
|
Спасибо за ценные замечания. Завтра постараюсь ответить на все вопросы...
--
С уважением,
А. В. Вакуленко
|
[
Ответить ]
|
|
Re: несросшаяся шейка бедра
Александр.Ситник 30 Май 2007, 02:28
|
Доброй ночи, коллеги,
У нас в отделении похожие случаи собираются со всей Беларуси, хотя специализируемся мы на травме, и большими спецами в протезах себя не считаем.
По рентгенограммам укорочение не более 4 см, остальное возможно за счет контрактуры. Опыта с низведением аппаратом Илизарова нет, но мы одномоментно такие укорочения корригировали вполне успешно (в год 5-10 именно таких и проходит). Лишние этапы пожалуй только будут способствовать инфекции. Доступ чаше применяем передне-наружный, а вот протез наверное поставили бы здесь на цементе - остеопороз выражен.
Кровопускание конечно немалое, в основном по дренажам после операции - растянутые сосуды упорно не хотят спадаться и тромбироваться, поэтому дренаж конечно нужен активный, но не очень:)
Есть немалая опасность вывихов протеза в послеоперационном периоде после активного релиза.
После операции болевоцй синдром также выражен - растянуьые мышцы долго болят, если "иногда беспокоит боль в паху" - теоретически неплохо поразрабатывать сустав до операции.
Удачи
А. Ситник
|
[
Ответить ]
|
Re: несросшаяся шейка бедра
Dr Abdelsalam EID 30 Май 2007, 08:55
|
Hello Anton
I do not see why you need to perform the operation the way that you mention.
The X ray that you provided does not show 8 cm of shortening. Perhaps you could send one showing the whole pelvis and proximal femurs.
If you are concerned about intraoperative reduction of the prosthetic head, a few useful hints could be:
1- use a lateral approach (Hardinge) as it will give you access to the anterior structures if you need to
perform a release.
2-perform your cut flush with the lesser trochanter
3-Psoas and adductor tenotomy may help reduction if difficult
4- use a modular prosthesis with different neck lengths and choose the short one.
I hope this helps.
Dr Abdelsalam EID M.D., AFSA (Paris V)
AO Fellow
Lecturer of Orthopedic Surgery
Faculty of Medicine, Zagazig University,
Egypt.
|
[
Ответить ]
|
Re: несросшаяся шейка бедра
Отправитель: Myles Clough 30 Май 2007, 21:04
|
I agree with Dr Eid's comments. The origin of the 8 cm leg length difference is a puzzle. Is this a clinical measurement? In that case contracture of the joint might affect the measurement. Can we see an AP pelvis to include both hip joints (including a calibration object with a known length) so that the difference in leg lengths that can be ascribed to the hip deformity and bony reabsorption can be measured. This sort of xray will help with templating for the TJR also. I would be very tempted to do a one stage procedure and accept some shortening. Shoe lifts should take care of a 3-4 cm difference.
Myles Clough MD FRCSC DPhil
Orthopaedic Surgeon
Kamloops, British Columbia
Clinical Instructor, University of British Columbia, Dept of Orthopaedics
|
[
Ответить ]
|
|
Re: несросшаяся шейка бедра
Anton Vakulenko 31 Май 2007, 01:44
|
Дополнительная информация:
До травмы проблем с ногой не было. Укорочения, болей и т.п. не отмечал. Сегодня перемерял укорочение - меньше 7 см намерять не
получается :)
По уровню малых вертелов (с учетом рентгеновского увеличения) получается 5 см. Клинически ногу низвести путем тракции невозможно. Из движений - сгибание до 40*, остальные движения "символические".
--
С уважением,
А. В. Вакуленко
|
[
Ответить ]
|
Re: несросшаяся шейка бедра
Рейно Елена 31 Май 2007, 19:15
|
Уважаемый коллега!
На представленных Вами снимках обратила на себя внимание трофическая язва в области наружной лодыжки, поэтому надеемся, что проблема хронической лимфо-венозной недостаточности будет успешно решена ещё на этапе предоперационой подготовки.
Ортопедическое укорочение пострадавшей ноги может быть и 7, и 10 см. за счет контрактур в тазобедренном суставе, а вот истинное укорочение, судя по представленным рентгенограммам, вряд ли больше 4 см.
В данном случае возможно выполнить одномоментное эндопротезирование тазобедренного сустава без предварительного низведения бедра. В ходе выполнения операции неизбежен релиз проксимального отдела бедра, что повлечет за собой значительную кровопотерю. Высокая травматичность данного вмешательства безусловно требует соответствующей подготовки и материально-технического обеспечения.
Желаем успеха!
|
[
Ответить ]
|
Re: несросшаяся шейка бедра
Отправитель: Anton Vakulenko 01 Июнь 2007, 11:17
|
Уважаемая Елена, какую предоперационную подготовку нужно провести, чтобы решить эту проблему? Сосудистые нарушения напрямую связаны с псевдартрозом и пока в области тазобедренного сустава не восстановлены нормальные анатомические соотношения мягких тканей, нам врядли удастся существенно улучшить трофику ноги.
PS. Я забыл сказать, что у больного имел место перелом наружной лодыжки и в этой области имеется дефомация...
|
[
Ответить ]
|
|
Re: несросшаяся шейка бедра
Салаватов Салават 31 Май 2007, 19:48
|
Не такое уж страшное укорочение по снимкам.Вчера прооперирован похожий случай.Обошлись без релиза и аппаратного низведения. укорочение было 4 сантиметра.Теперь ножки ровные.

|
[
Ответить ]
|
Re: несросшаяся шейка бедра
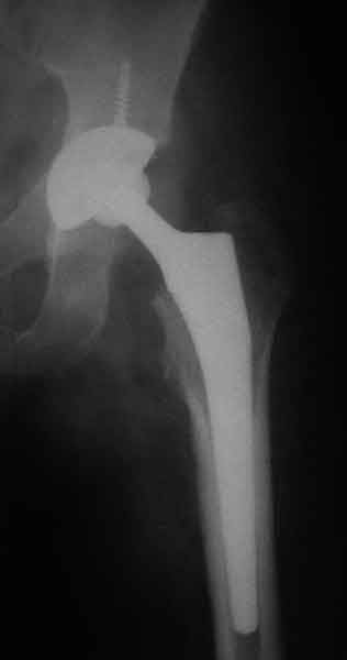
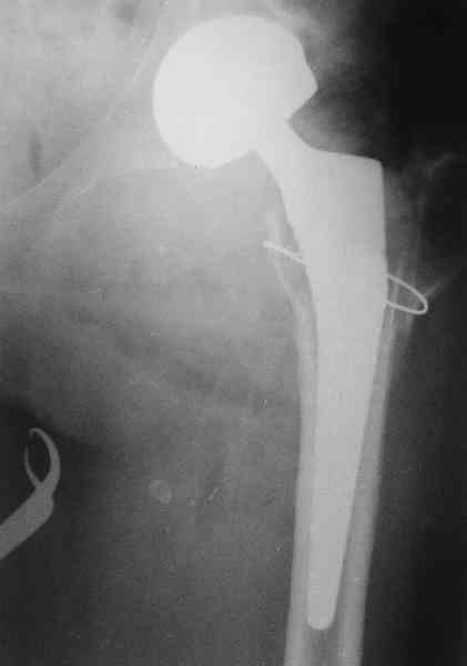
Anton Vakulenko 12 Июнь 2007, 04:57
|
Коллеги, обещанный follow-up.

Больного прооперировали на прошлой неделе (цементный протез, цемент с гентамицином). Использовали задне-боковой доступ. В области перелома подвижности практически не было, так что тему сообщения уместно заменить на "неправильно сросшаяся шейка". И в головке, и во впадине
были значительные дегенеративные изменения, так что ни биполяр, ни остеосинтез тут неуместны (хотя это предлагали в ortopod'е). После релиза удлинили ногу на 3 см. Дальше удлинять побоялись из-за
натяжения седалищного нерва, хотя в принципе можно было бы еще 15-20 мм нарастить. По послеоперационной рентгенограмме анатомическое укорочение порядка 15 мм. Клинически при ходьбе - 4 см, но это за счет перекоса таза.
В общем, всем спасибо за обсуждение!..
С уважением,
А. В. Вакуленко
Dear colleagues,
thanks for all comments you've done on this case.
The patient underwent cemented THR on last week. Postero-lateral approach was used. There was only minimal motion at the fracture site and we had to cut the femoral head with oscillating saw. The femoral head was deformed with it's cartilage completely absent in some areas.
Acetabulum showed gross degenerative changes, especially in superior rim. So I think it was right choice not to do ORIF in this case. After some soft tissue release we've lengthened the leg up to 3 cm. Further lengthening was possible but we stopped at that moment due to tension of n. ischiadicus. Now patient walks with crutches. Leg length discrepancy is about 4 cm due to pelvic tilt (discrepancy on post-op x-ray is 15 mm).
Sincerely yours,
Anton Vakulenko
Donetsk Trauma Center, Ukraine
|
[
Ответить ]
|
Re: несросшаяся шейка бедра
Отправитель: George Thomas 12 Июнь 2007, 15:46
|
Congratulations. Later on, could you post a true AP view of the pelvis and both hips?
|
[
Ответить ]
|
|
( Ответить )
|
|