AOTRAUMA.ORG Центр Илизарова  

Ортопедия и травматология Общие вопросы/General questions Help Информационные технологии в медицине
 вверх
 отправить
 поиск
 админ
 главная
 Предыдущее
 Весь тред


Re: Операция на переднем полукольце таза при налич
Chip Routt 12 Июнь 2007, 04:33
We'd need ct images to make reasonable recs.

Chip
  • Сообщения о Ортопедия и травматология
  • Также Chip Routt
  • Связаться с автором
  • Ответить

    Re: Операция на переднем полукольце таза при налич
    dan schlatterer 12 Июнь 2007, 04:47
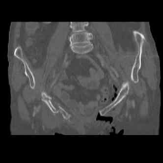
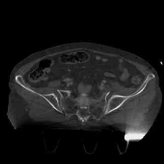
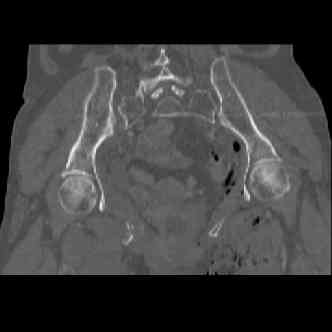
    attached are several CT cuts. please let me know if you need more. the CT is pre-pelvic ex-fix placement.



    Thank you.
    [ Ответить ]

    • Re: Операция на переднем полукольце таза при налич
      Отправитель: Chip Routt 12 Июнь 2007, 04:53
      I wouldn't plate the front.

      But I would add screws posteriorly.

      Chip


      [ Ответить ]
      • Re: Операция на переднем полукольце таза при налич
        Отправитель: dan schlatterer 12 Июнь 2007, 15:40
        excellent, I agree and that is just what I was hoping to hear. thank you.
        dan schlatterer

        [ Ответить ]

     

    ( Ответить )

    Powered by Zope  Squishdot Powered MedLink
    Посетитель: 0205461
      "По форме правильно, а по существу - издевательство" В.И.Ленин
    ©2001-2019Orthoforum Coordinator.
    [ Главная | Отправить сообщение | Поиск | Админ ]