ВХОД ДЛЯ ПАЦИЕНТОВ
вверх
поиск
админ
главная
исходное
|
Re: Операция на переднем полукольце таза при налич
послал dan schlatterer 12 Июнь 2007, 03:12
|
good morning to all,
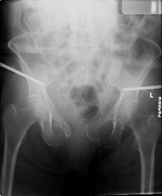
attached are images of a 70 year old female after peds versus car. her own car ran her over.
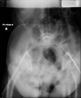
injuries are limited to the pelvis. left rami open and visible in a 10cm vertical laceration just lateral to left labia majora. wound is grossly clean. no vaginal and no urinary issues. CT scan shows widening of both SI joints anteriorly but I think this is vertically stable pattern.

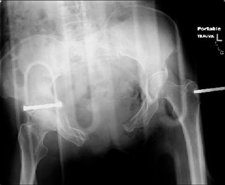
pt treated that night with I/D and supra-acetabular frame to close the ring. consideration was given for SI screws bilateraly, but given time of night and other factors decision made not to proceed.
so the question is what next operatively if anything? concerns are infection, nonunion anteriorly and possible incompetence of the pelvic floor which may lead to prolapse issues. right rami are comminuted and plating may entail ilioinguinal approach to extend plate laterally to right iliac wing. retrograde screw up right rami is an option but I am not convinced it will add much. adding SI screws very doable, but major concern is restoring anterior ring. so far wound is clean and closed over a drain, and I have no plans to open it back up and wash again.
maintaining pelvic alignment in ex-fix in 70 yo female for any length of time may be challenging.
any thoughts? would anyone plate the pubic symphysis to close the gap and leave the more lateral rami fractures alone? the most recent pelvic case on this website involved pts with suprapubic catheters and antibiotic options including resorbable beads. I wonder how many people would plate and place antibiotic beads. thanks.
dan schlatterer
|
| Послать ответ |
Обратите внимание: Поля с жирными названиями обязательны.
Старайтесь отвечать в рамках обсуждаемой темы, а не начинать новые обсуждения.
Указывайте адекватную тему сообщения, чтобы было ясно, о чем оно.
Не послайте сообщений не по теме (оффтопик), раздраженных, грубых или обидных комментариев. Здесь это неуместно.
|