ВХОД ДЛЯ ПАЦИЕНТОВ
вверх
поиск
админ
главная
исходное
последующие
|
Re: Ведение огнестрельного перелома
послал Никита Заднепровский 07 Июнь 2007, 00:46
|
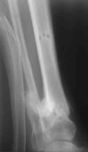
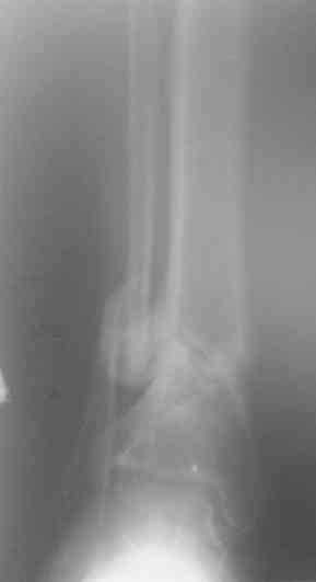
Есть у меня результат такого метода. Тема обсуждалась. Как говорится - лечили всем форумом. Рана, правда, не огнестрельная - OFFтопик.
Больной случайно попал в поле зрения с переломом шейки бедра. Страдает хр. алкоголизмом. От когда-то предложенного удлиннения голени пациент отказался. После снятия аппарата он пропал как с белых яблонь дым ...

Укорочение конечности 3 см. Передвигался без дополнительной опоры с "нарощенной" подошвой на правой обуви. Ограничение тыльного и подошвенного сгибания - умеренные (всего примерно 50%, не измерял).
Всем большое спасибо за своевременно оказанную помощь по ведению такого случая.
С уважением, Заднепровский Никита Николаевич
|
| Послать ответ |
Обратите внимание: Поля с жирными названиями обязательны.
Старайтесь отвечать в рамках обсуждаемой темы, а не начинать новые обсуждения.
Указывайте адекватную тему сообщения, чтобы было ясно, о чем оно.
Не послайте сообщений не по теме (оффтопик), раздраженных, грубых или обидных комментариев. Здесь это неуместно.
|