вверх
отправить
поиск
админ
главная
|
Лечение подвертельного псевдартроза |
 |
 |
 |
Отправлено Ростислав 05 Июнь 2007, 04:16 Яждб
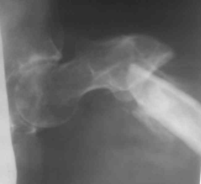
Больной 48 лет, 1,5 года с момента травмы!!Лечился в местной больнице скелетным вытяжением в течение 2 месяцев!!Поступил для оперативного лечения. Выраженное укорочение конечности на 10 см., с наружной ротацией,С патологической подвижностью. Уважаемые коллеги - что вы предложите для Коррекции перелома и устранения ложного сустава, и какие виды операций для устранения укорочения!!Какой метод фиксации? С уважением!!!!
<
|
>
|
|
Ответить
|
Re: Лечение ложного сустава шейки бедра
Alexander Chelnokov 05 Июнь 2007, 05:15
|
Р> лечения. Выраженное укорочение конечности на 10 см., с наружной
Р> ротацией,С патологической подвижностью.
А в какое учреждение он поступил - ЦРБ, горбольница, клиника НИИ? Что доступно на месте?
Р> Уважаемые коллеги - что вы предложите для Коррекции перелома и
Р> устранения ложного сустава,
А при чем тут шейка бедра? На снимке подвертельный ложный сустав. И вторую проекцию бы посмотреть.
Р> и какие виды операций для устранения укорочения!! Какой метод
Р> фиксации?
А каковы собственные предложения?
У нас бы аппаратом устранили укорочение, исправили ось, лучше с гипервальгизацией, да и закрыто заштифтовали бы. Подойдет реконструкционный, проксимальный или гамма, и даже некоторые диафизарные, с бОльшим числом статических винтов. Можно и другие фиксаторы - и клинковая пластина, и DHS/DCS... Наверно, много где и аппаратом до сращения бы фиксировали.
|
[
Ответить ]
|
Re: Лечение ложного сустава шейки бедра
Ростислав 05 Июнь 2007, 05:20
|
Название темы- это произвольно!! Второй снимок прилагаю!!!

Больница ЖД - это типа (областной) На железной дороге!!!
|
[
Ответить ]
|
Re: Лечение ложного сустава шейки бедра
Отправитель: Alexander Chelnokov 05 Июнь 2007, 06:02
|
Название темы- это произвольно!!
Уместнее не произвольно, а в соответствии с содержанием.
Спасибо за второй снимок.
1. Что из методов доступно на месте?
2. Какие свои соображения по поводу этой ситуации?
|
[
Ответить ]
|
Re: Лечение ложного сустава шейки бедра
Отправитель: Ростислав 05 Июнь 2007, 06:23
|
Аппаратная методика,накостные пластины.Штифты мы не применяем!ЭОПА нет!!
|
[
Ответить ]
|
Re: Лечение ложного сустава шейки бедра
Отправитель: Ростислав 05 Июнь 2007, 06:28
|
по поводу соображения!!! Будем идти в два этапа:вероятно будем растягивать ложняк на столе Хоули с учётом ротаций, идти открыто,фиксировать пластиной в шейку- добится консолидации, а затем удлиним в аппарате!!Или сразу Аппарат????
|
[
Ответить ]
|
Re: Лечение ложного сустава шейки бедра
Отправитель: Alexander Chelnokov 05 Июнь 2007, 06:50
|
> Аппаратная методика,накостные пластины.Штифты мы не применяем!ЭОПА нет!!
Ну что ж, можно справиться и без штифтов.
> растягивать ложняк на столе Хоули с учётом ротаций, идти
> открыто,фиксировать пластиной в шейку - добится консолидации, а затем
> удлиним в аппарате!!Или сразу Аппарат????
По-моему, этот план самый трудоемкий и травматичный. Если наложить сейчас аппарат закрыто, все за 2-3 недели исправить в аппарате, а вторым этапом зафиксировать отломки пластиной, с пластикой или без - решить по снимкам перед этим. Пластинку при восстановленной заранее анатомии делать будет нетрудно, не надо будет скелетировать и мобилизовать отломки.
|
[
Ответить ]
|
Re:
Отправитель: Ростислав 05 Июнь 2007, 07:09
|
Спасибо за помощь!!! Будем думать!!
|
[
Ответить ]
|
Re: Лечение ложного сустава шейки бедра
Отправитель: КоваленкоА.Н. 06 Июнь 2007, 02:59
|
>> Аппаратная методика,накостные пластины.Штифты мы не применяем!ЭОПА нет!!
>Ну что ж, можно справиться и без штифтов.
Что ж,можно справиться и без ЭОПа:)
Думаю, что устранять Все виды смещения в аппарате не менее трудоемко, чем одномоментная попытка синтеза пластиной, хотя более безопасно для пациента. Оптимальным видится решение этапной гиперкоррекции в дистракторе по длине. Добившись Достаточной подвижности между отломками уже на столе можно утранять по ширине джойстиками и ротационное на гвозде. Если нет опыта дистального блокирования сплошных гвоздей без ЭОПа, используйте каннюлированный в обязательном порядке.
|
[
Ответить ]
|
|
( Ответить )
|
|