вверх
отправить
поиск
админ
главная
|
Т-образный перелом вертлужной впадины |
 |
 |
 |
Отправлено Коваленко А.Н. 06 Июнь 2007, 03:38
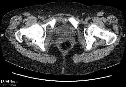
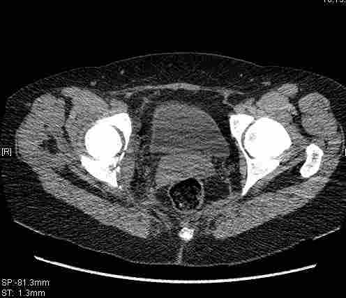
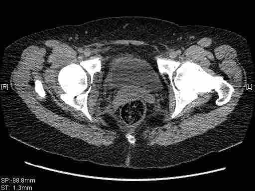
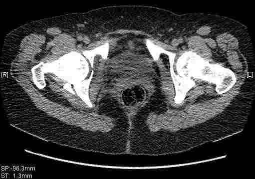
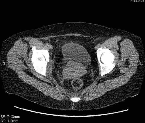
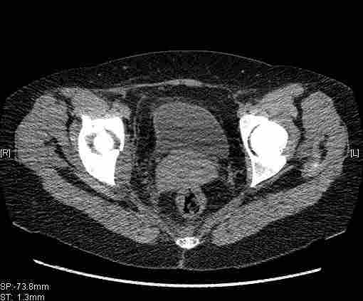
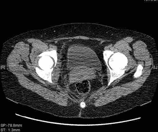
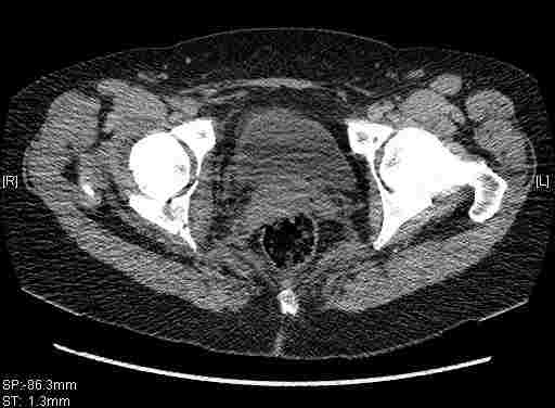
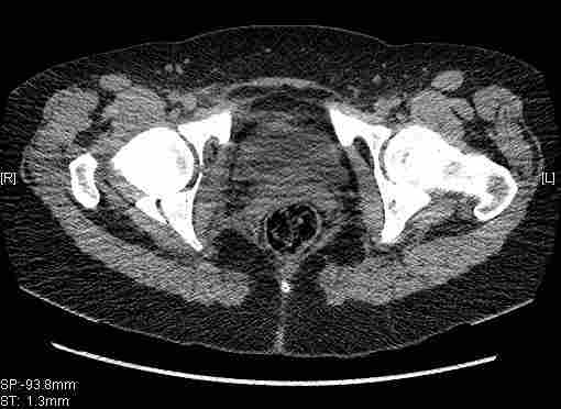
Женщина,58 лет, после ДТП 6 суток. Первично повреждение расценено как переломы ветвей лонной кости. После подтверждения повреждения вертлужной впадины,как чаще всего случается, вопрос встал о тактике. БОльшинство за консерватиное лечение.К сожалению кт у нас "во время" сломался. Прилагаю стандартные снимки вертлужки. У меня следующие вопросы к коллегам:1. Правильно ли рассценивать это повреждение как Т-образный перелом вертлужнй впадины?2. Можно ли добиться анатомической репозиции поверхности вертлужной впадины скелетным вытяжением в данном случае, если нет, что будет этому препятствовать?3. Если смещение останется таким как сейчас, через какое время появится необходимость эндопротезирования (по вашему опыту)?Спасибо.
<
|
>
|
|
Ответить
|
Re: Т-образный перелом вертлужной впадины
Maxim Agalakov 07 Июнь 2007, 04:34
|
> сломался. Прилагаю стандартные снимки вертлужки. У меня следующие вопросы к коллегам: 1.
> Правильно ли рассценивать это повреждение как Т-образный перелом вертлужнй впадины?
похоже на то
> 2.
> Можно ли добиться анатомической репозиции поверхности вертлужной впадины скелетным
> вытяжением в данном случае, если нет, что будет этому препятствовать?
вряд ли получится, что мешает? Вероятно, тяга за оба фрагмента вертлужной впадины, один из которых связан с осевым скелетом.
> 3. Если смещение
> останется таким как сейчас, через какое время появится необходимость эндопротезирования
> (по вашему опыту)? Спасибо.
имеется передний подвывих, головка нагружаемой зоной будет "тереться" о край фрагмента, связанного с осевым скелетом.
вероятность быстрого прогрессирования коксартроза велика, хотя вряд ли кто-то укажет конкретные сроки. 1 год - 1,5 ?
|
[
Ответить ]
|
Re: Т-образный перелом вертлужной впадины
Рунков А.В. 07 Июнь 2007, 16:37
|
Уважаемый Коваленко А.Н., снимки плохого качества и нет уверенности, что задняя колонна сломана (смещена). Если кт нет - везите больную в рентгенкабинет (палатником качественные снимки снимки не получатся) и сделайте обзорный снимок таза, Judet и может быть inlet, хуже вы ей не сделаете.
От этих данных и будет зависеть тактика и прогноз.
Вытяжение не поможет в любом случае, т.к. потянуть за одну переднюю колонну не получится. Есть вариант закрытого лечения, но для этого нужно наоборот сдавить крылья (скажем аппаратом), если больше переломов переднего полукольца нет, то передний подвывих уменьшится.
Жду снимков.
|
[
Ответить ]
|
Re: Т-образный перелом вертлужной впадины
Коваленко А.Н. 08 Июнь 2007, 07:52
|
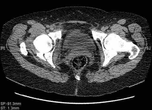
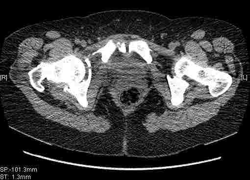
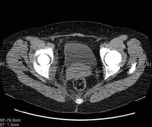
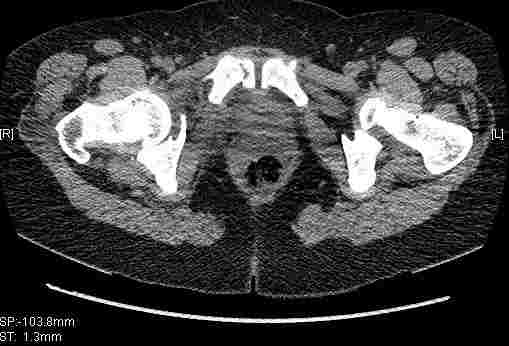
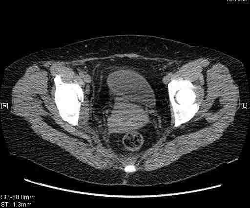
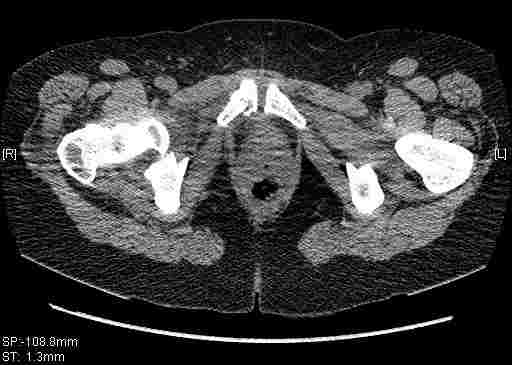
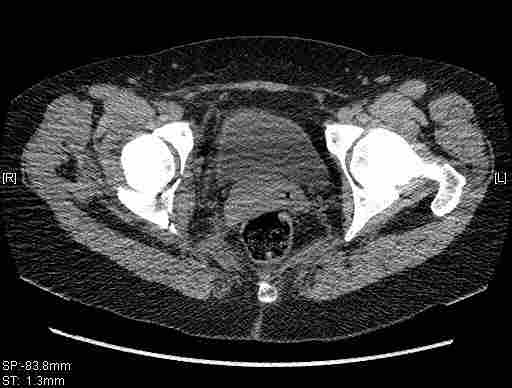
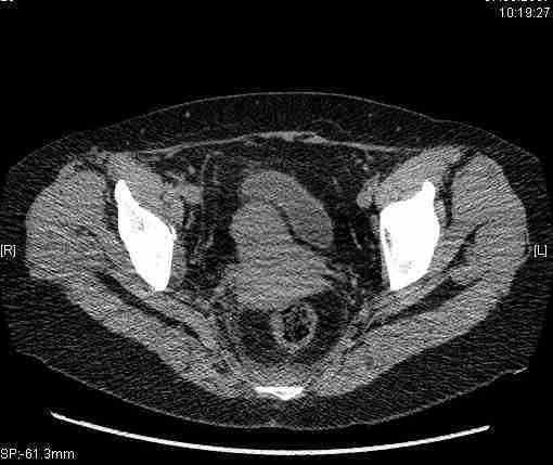
Удалось сегодня вывести пациентку в соседнюю больницу, где есть кт. Срезы сделаны только горизонтальные.


|
[
Ответить ]
|
Re: Т-образный перелом вертлужной впадины
... 08 Июнь 2007, 07:54
|
Следом 3d

|
[
Ответить ]
|
Re: Т-образный перелом вертлужной впадины
Салаватов Салават 14 Июнь 2007, 23:07
|
Приветствую,Антон.Рункова рядом нет,но после полученных данных КТ,обсуждали совместно.Итог обсуждения-развернутый ответ дать не получится,т.к.срезы выбраны не информативные.Если ориентироваться на данные 3D,то ,ИМХО,можно лечить на вытяжении.
|
[
Ответить ]
|
Re: Т-образный перелом вертлужной впадины
Отправитель: Коваленко А.Н. 15 Июнь 2007, 04:58
|
Спасибо, Салават и коллеги. Насколько я понял,нужны срезы в сагитальной и фронтальной плоскостях?
|
[
Ответить ]
|
|
( Ответить )
|
|