AOTRAUMA.ORG Центр Илизарова  

Ортопедия и травматология Общие вопросы/General questions Help Информационные технологии в медицине
 вверх
 отправить
 поиск
 админ
 главная
 Предыдущее


Re: Последствия травмы предплечья
Виктор 08 Июнь 2007, 22:46
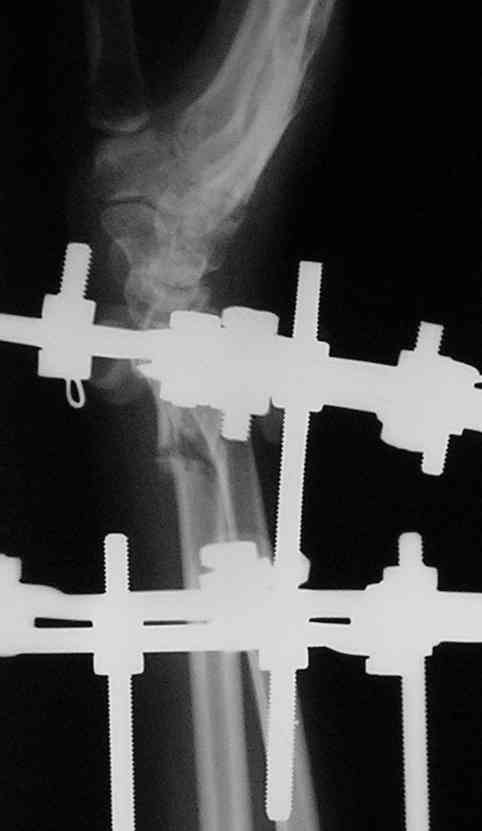
Спице-стержневой аппарат с компактотомией лучевой кости, костная пластика локтевой с удалением пластины. Не комфортно, но больше шансов на благоприятный исход. Заканчиваю лечение с похожей деформацией лучевой кости.




Виктор.


  • Сообщения о Ортопедия и травматология
  • Также Виктор
  • Связаться с автором
  • Ответить

    Re: Последствия травмы предплечья
    Aharon Liberson 09 Июнь 2007, 06:01
    I would do about the same
    AL
    [ Ответить ]

    Re: Последствия травмы предплечья
    Alexander Chelnokov 09 Июнь 2007, 06:14
    Как насчет наложения шарнирно-дистракционного аппарата на кисть-предплечье с последующими принудительными движениями?
    [ Ответить ]

    • Re: Последствия травмы предплечья
      Отправитель: Evgueny Tchekashkine 10 Июнь 2007, 04:03
      Виктор, спасибо за высланные фото и Ргграммы.

      У больного/ой кроме перелома лучевой кости и шиловидного отростка локтевой, разрыв дистального радиоульнарного сочленения, перелом ладьевидной кости и ладьевидно-полулунная диссоциация.
      Если позволите свое мнение, не стал бы лечить аппаратом эту травму, перелом луча не консолидировался: открытая репозиция+ костная пластика+ пластина, синтез ладьевидной кости, по возможности шов ладьевидно полулунной связки,
      если восстановить связку не представляется возможным, фиксация 2 спицами.
      Желаю успеха,

      Евгений

      [ Ответить ]

     

    ( Ответить )

    Powered by Zope  Squishdot Powered MedLink
    Посетитель: 0415866
      "По форме правильно, а по существу - издевательство" В.И.Ленин
    ©2001-2019Orthoforum Coordinator.
    [ Главная | Отправить сообщение | Поиск | Админ ]