Ответить
|
Re: повреждение таранной кости
Aharon Liberson 14 Июнь 2007, 22:58
|
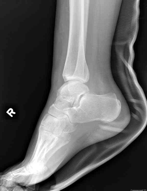
Interesting case
The ankle joint looks ruined. I wonder howcome is it as ruined after 2 days. I would open the joint( Some people would artroscope it) and judge the osteosynthes vs ankle fusion according to the ankle joint condition. The subtalar does not look injured, but if you feel there is a clinical
problem- CT it. Above all- when I see such an X-Ray I call the resident who ordered it and tell him that I would expect him first thing to reduce it on arrival since the soft tissue suffer and I hope that currently the p-nt is reduced to some extent at least.
Good luck AL
|
[
Ответить ]
|
Re: повреждение таранной кости
Aharon Liberson 14 Июнь 2007, 22:59
|
Sorry- I revised it and the talus is fractured- take him to the theater at once and reduse it with Int Fix
The soft tissue will be a problem- Ex Fix will be better thn plaster
AL
|
[
Ответить ]
|
Re: повреждение таранной кости
Кудинов 15 Июнь 2007, 05:37
|
Какая именно травма тарана?
Подробней, пожалуйста!
Если это перелом шейки тарана, то однозначно - остеосинтез по Де-Пальма (двумя перектещивающимися винтами) с последующей гипсовой иммобилизацией на 2 месяца. У нас был случай, когда оперировали больного через 18 суток после травмы, и перелом сросся, 3 года ходит, тусит на дискотеках, болей нет. Делали КТ-контроль - асептического некроза нет.
Если перелом блока или тела тарана монофокальный - то делать однозначно остеосинтез, но прогноз неблагоприятный, хотя артродез всегда ведь сделать успеете, а? Нужно пытатся.
Если перелом блока и тела тарана многооскольчатый, да еще с импакцией, ловить нечего. Однозначно первичный артродез. Мы делаем по Илизарову с элементами Джанелидзе (вынимаем и крошим в щепки таран, тогда укорочение конечности минимальное. При этом сносим таранно-ладьевидный и подтаранный суставы, так-как из практики известно, что с первичным трехсуставным артродезом люди вообще потом не обращаются с болями). Также надо помнить основное правило - чем раньше сделана операция на таране, тем лучше прогноз и исход.
С уважением, Кудинов, Владивосток.
|
[
Ответить ]
|
Re: повреждение таранной кости
Djoldas Kuldjanov, M.D. 16 Июнь 2007, 01:39
|
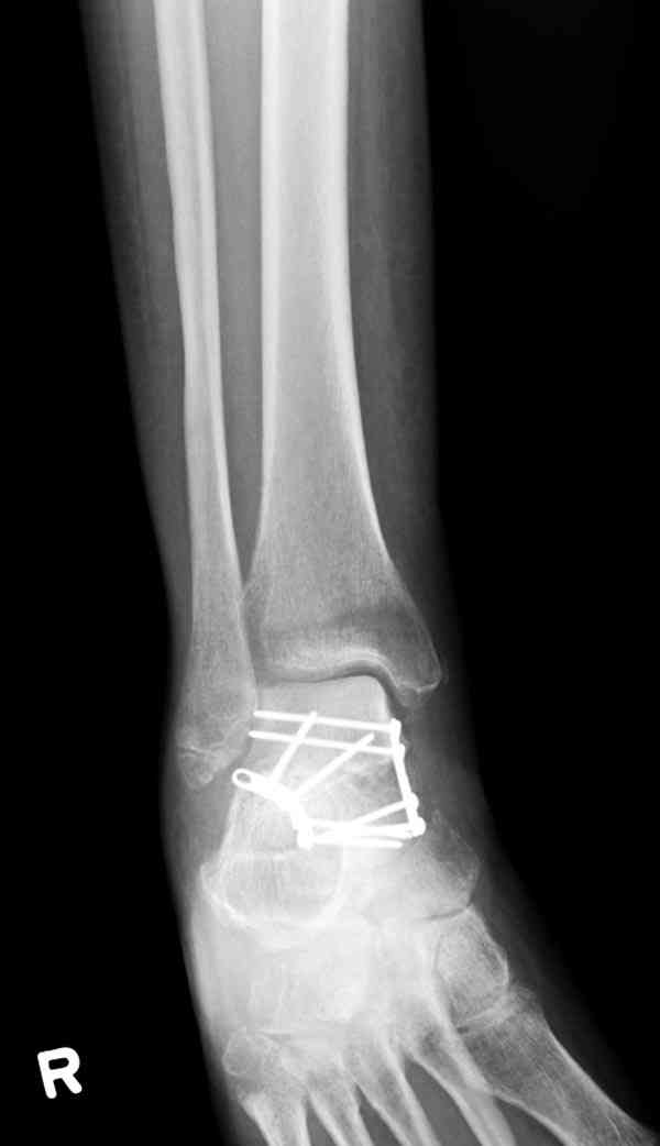
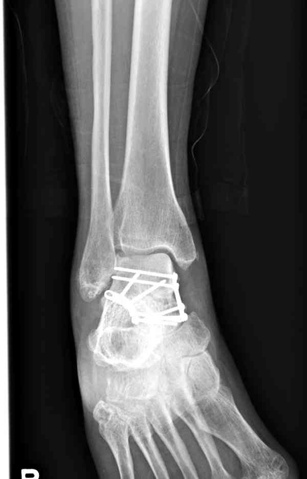
а основании двух видов ренгенограмм невозможно радикально решить о необходимости открытой репозиции или первичного артродеза.
Для оценки состояния нужны дополнительные исследования, например Canale или Broden ренгенограммы и Компьютерная томография.
При переломах тарана всегда имеется риск AVN, а классификация Hawkins поможет разобраться с предполагаемыми осложнениями.
Если в первом типе, когда перелом шейки без смещения, тогда AVN менее 10%, при втором типе когда имеется смещение и вывих тарана в субталарном сочленении меньше 40%, а при типе III когда смещение в голеностопном и субталарном суставах - около 90% и в типе IV, когда происходит полный вывих, риск AVN достигает 100%.
Многие переломы тарана сопровождается открытой раной, в 20% встречаются раны передненаружные, а в 50% переломы типа Hawkins III являются открытыми, и в 40% раны осложняются инфекцией.
Идеально фиксацию провести в первые часы, но не всегда возможно из-за отека, поэтому временный наружный фиксатор на дистракцию поможет уменьшению отека и даст время для адекватного обследования.
При в первом типе придерживаемся закрытой репозиции, а у всех остальных в зависимости от смещения предпочитаем открытую репозицию, фиксация шурупами или пластиной. Пластина 2.4 мм более предпочтительна для удержания мелких костных осколков.
В вашем случае доступ через перелом медиальной лодыжки, обычный доступ через остеотомии лодыжки, где имеется возможность прямой репозиции тарана, после фиксации шурупами, лодыжки фиксируются обычным 2х лодыжечным методом.
Предпочтительно выжидательная тактика, чем радикальный первичный артродез.
Множество наблюдений больных с аваскулярным некрозом, где место тарана заполнялось фиброзной матрицей и жалоб особых не проявляли.
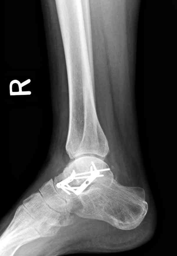
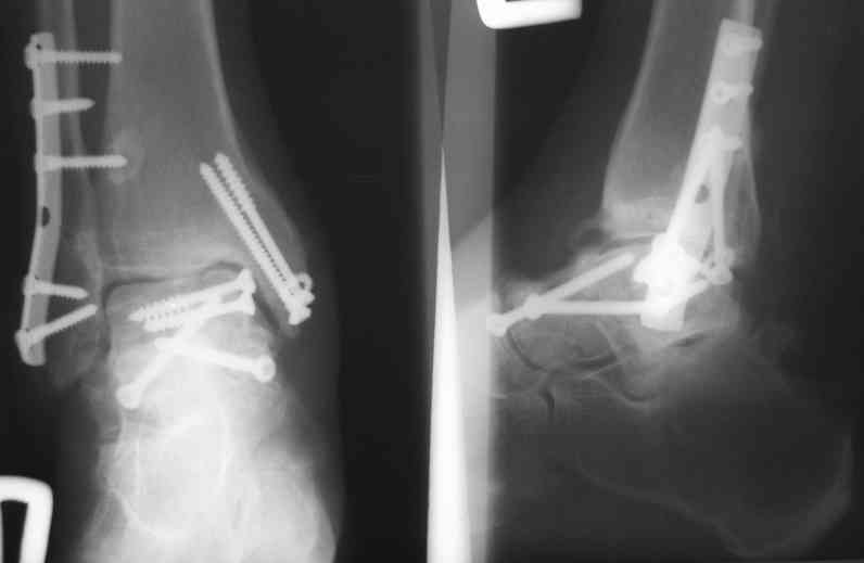
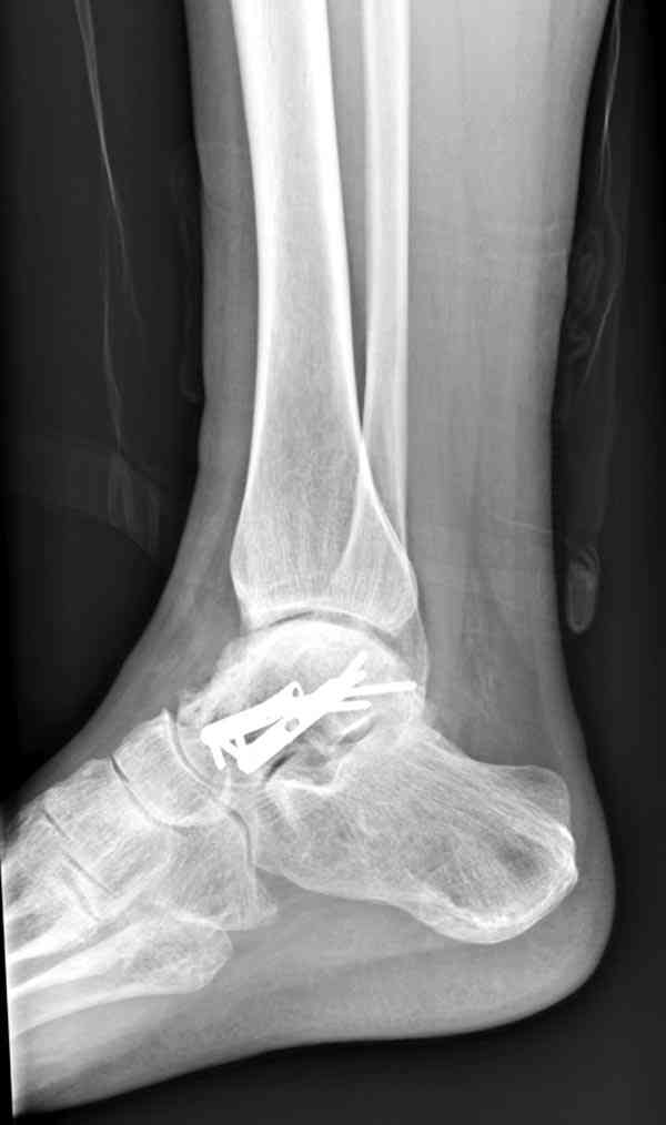
Случай с множественным оскольчатым переломом тарана оперированный из двойного доступа.
Через 2 мес.:

Через 8 мес.:

Через 14 мес.:

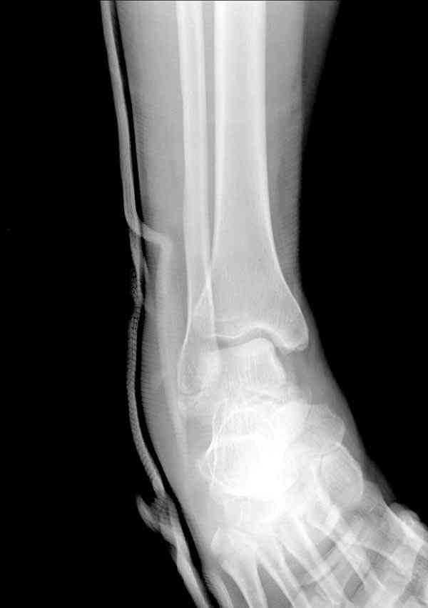
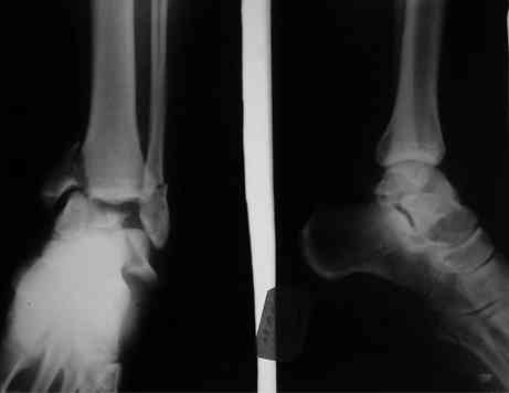
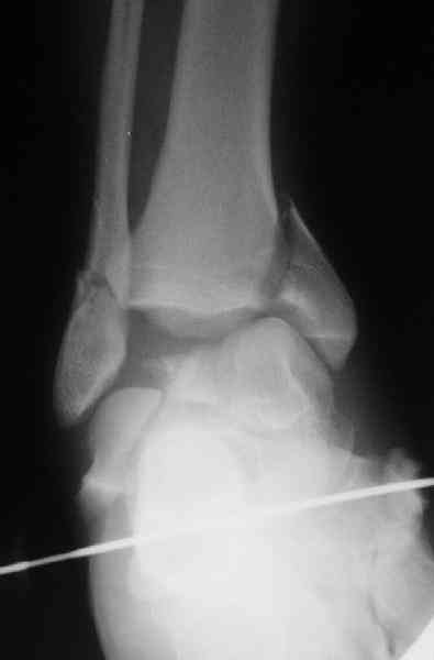
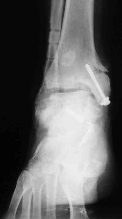
И второй случай из недавней ташкентской практики, (извините за качество ренгенограммы и только в одной проекции) случай падения с высоты (кстати моего друга - известного киноактера) - открытый
смещенный перелом тарана, с переломом переднего края дистального эпиметафиза большеберцовой кости.
При поступлении в приемной сделана первичная обработка с ушиванием открытой латеральной раны и вытяжением за пятку.

Из-за отсутствия времени пришлось оперировать на второе утро, из материала, что имеем на месте, фиксирован двумя шурупами, а третий-это контур сломанного жойстика в 4 мм. На дистальный медиальный конец тибиа antiglide 3.5 мм пластина. Через пару дней выписан и несмотря на предупреждение, самостоятельно начал нагрузку в 4 недели, время не ждет, снимается в боевике в Росийской Федерации.
Djoldas Kuldjanov, MD
Department of Orthopedic Surgery
St. Louis University Medical Center
|
[
Ответить ]
|
Re: повреждение таранной кости
Nikolay Koryshkov 16 Июнь 2007, 16:15
|
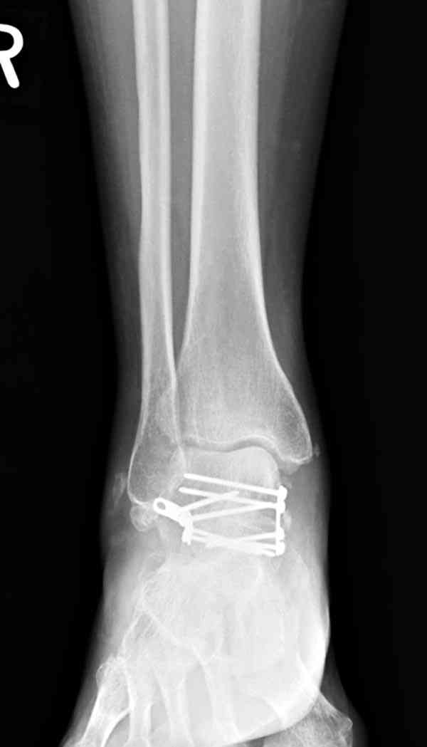
Здравствуйте, уважаемый Максим
В Вашей ситуации мы произвели открытую репозицию и фиксацию металлоконструкциями. Все зажило первично, посттравматического дефартроза избежать не удалось. Пациент от артродезирующих операций в отдаленном периоде отказался.

С уважением,
Nikolay Koryshkov
Санкт-Петербург
|
[
Ответить ]
|
Re: повреждение таранной кости
Отправитель: Maxim Agalakov 18 Июнь 2007, 14:33
|
Пациент отказался от артродезирующих операций потому что его устривает качество жизни или были какие-то другие причины (в итоге таран выглядит жутковато)
С уважением, Максим Агалаков
|
[
Ответить ]
|
|
Re: повреждение таранной кости
Maxim Agalakov 18 Июнь 2007, 22:59
|
Для оценки состояния нужны дополнительные исследования, например
> Canale или Broden ренгенограммы

повторили рентгенограммы и доделали проекции, к единому мнению все еще не пришли
|
[
Ответить ]
|
Re: повреждение таранной кости
Отправитель: Djoldas Kuldjanov, M.D. 19 Июнь 2007, 05:50
|
Интресно, на каком уровне остеотомию в голеностопе предлагают оппоненты для первичного артродеза?
Мне самому не приходилось прибегнуть к
первичному артродезу при похожем случае.
На ренгенограмме не уловил многоскольчатость тарана, чтобы доказать, конечно, можно было исследовать на КТ, потом КТ дает ориентацию фрагментов.
Два фрагмента суставной поверхности тарана можно восстановить боковой компрессией шурупами и дополнительно костная пластика.
(кстати, на нашем случае была применена костная пластика-allograft crouton для заполнения дефектов)
Наружный фиксатор "голень-пятка", "лигаментотаксис" при поступлении, домой через 48 часов после обучения ходьбы на костылях, в течение ближайшего времени осмотр в поликлинике для определения кондиции мягких ткани (тест на образование морщин в зоне разреза), при отсутствии отека примерно на 6-7 день с момента травмы операция.
Нагрузку можно разрешить через 2,5 месяца, на конечность снимаемый брейс удобен для разработки сустава которую можно начать после первичной перевязки.
Это примерная тактика при лечении переломов тарана.
Поэтому, несмотря на плохой прогноз, надо стремиться к первичной репозиции костей, а не к
первичному артродезу.
Артродез вторым этапом намного легче, потому что таранная кость, кое-где срастаясь, сохранит массу, которую в дальнейшем можно использовать как пластический материал и тем самым можно уменьшить
укорочение конечности.
Потом при первичном артродезе, без полного удаления тарана, невозможно ограничить границу остеотомии из-за сплошной массы осколков
|
[
Ответить ]
|
|
Re: повреждение таранной кости
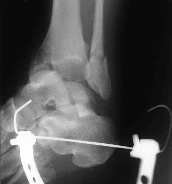
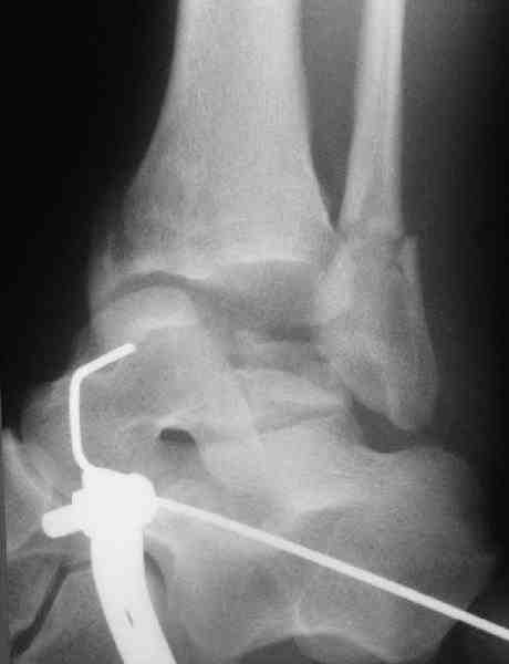
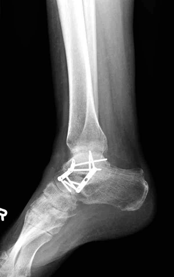
Alexander Chelnokov 29 Июнь 2007, 23:16
|
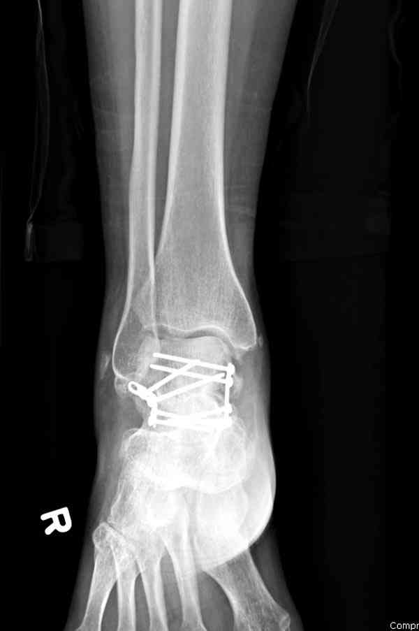
Решили не связываться с остеосинтезом, а сделать сразу берцово-пяточный блок. Снимки в приложении.

По завершении удлинения, наверно, заштифтуем.
Комментарии/критика приветствуются.
|
[
Ответить ]
|
Re: повреждение таранной кости
Gusamov Fil 16 Июль 2007, 23:27
|
Макс, с артродезом можно всегда успеть. Я за закрытые методы (под ЭОПом). Винтом Twin-Fix, for example. С уважением, Фил.
|
[
Ответить ]
|
( Ответить )
|
|