AOTRAUMA.ORG Центр Илизарова  

Ортопедия и травматология Общие вопросы/General questions Help Информационные технологии в медицине
 вверх
 отправить
 поиск
 админ
 главная


Re: Саркома?
Ортопедия и травматология Отправлено Коваленко А.Н. 18 Июнь 2007, 06:18
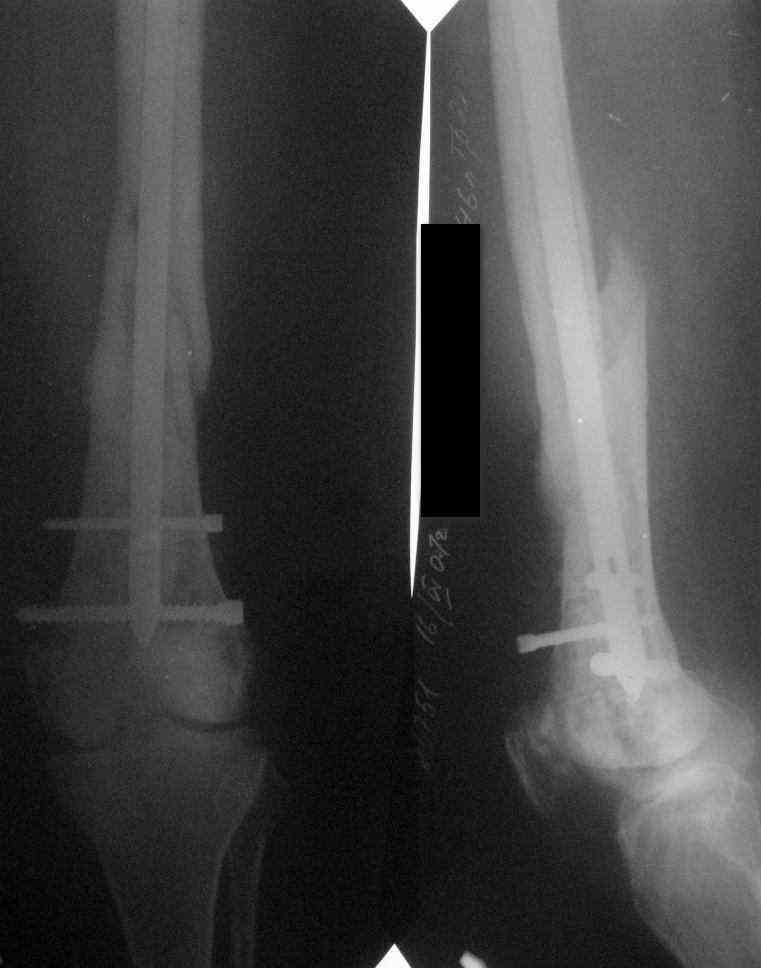
Выполнили операцию по сохранению опорной конечности Начало см. здесь.
В связи с проблемами снабжения операция выполнена в два этапа.1. некрэктомия, операционная биопсия. Резекцию концов отломков ни производили, их костная плотность не изменена. Почистили канал, промыли, ушились. 2. Пломбировка дистального отломка цементом, синтез сплошным титановым гвоздем. Гвоздь подобрали максимально возможный 12 мм, рассверлили дистальное отверстие для винта 6.5мм. Приготовили пробку из цемента с антибиотиком ванкомицином(примерно 0.5г на 20г цемента). Дождавшись пластилиновой консистеции цемента установили пробку в канал дистального отломка, затем ввели гвоздь. Приготовили каналы для блокирования винтами, Р-контроль, выкрутили винты. В полость патологического перелома ввели трубки для нагнетания цемента. цемент 40г замешали с ванкомицином 1.5г, жидким залили в шприц Жане и ввели в полость перелома, закрутили блокирующие винты. На этот раз проблем с замешиванием цемента не было, запаслись растворителем. Половина цемента осталась. Функциональный результат пока неизвестен, как и результаты биопсии. Постараюсь держать в курсе.

<  |  >

 

  • Сообщения о Ортопедия и травматология
  • Также Коваленко А.Н.
  • Связаться с автором
  • Ответить

    Re: Саркома?
    Alexander Chelnokov 19 Июнь 2007, 05:23
    Спасибо за представленное продолжение.
    Очень интересный случай. Поздравляю с успешно сделанной непростой операциией. Будем надеяться, стабильность + цемент с антибиотиками свое дело сделают. Недокрученный винтик, надо думать, уже докручен.
    А что у пациентки с основным заболеванием?

    КАН> Постараюсь держать в курсе.

    Будем ждать, спасибо.
    [ Ответить ]

    • Re: Саркома?
      Отправитель: Антон Коваленко 19 Июнь 2007, 05:24
      >А что у пациентки с основным заболеванием?

      Онкологи диагноз не снимают. Соматически больная без ухудшений. Рг легких метастазов не обнаруживает. Будем ждать результатов гистологии операционного материала.

      [ Ответить ]

     

    ( Ответить )

    Powered by Zope  Squishdot Powered MedLink
    Посетитель: 0392220
      "По форме правильно, а по существу - издевательство" В.И.Ленин
    ©2001-2019Orthoforum Coordinator.
    [ Главная | Отправить сообщение | Поиск | Админ ]