AOTRAUMA.ORG Центр Илизарова  

Ортопедия и травматология Общие вопросы/General questions Help Информационные технологии в медицине
 вверх
 отправить
 поиск
 админ
 главная


Acetabulum with imperfect reduction
Ортопедия и травматология Отправлено Abdelsalam EID 27 Июнь 2007, 17:47
Dear Friends
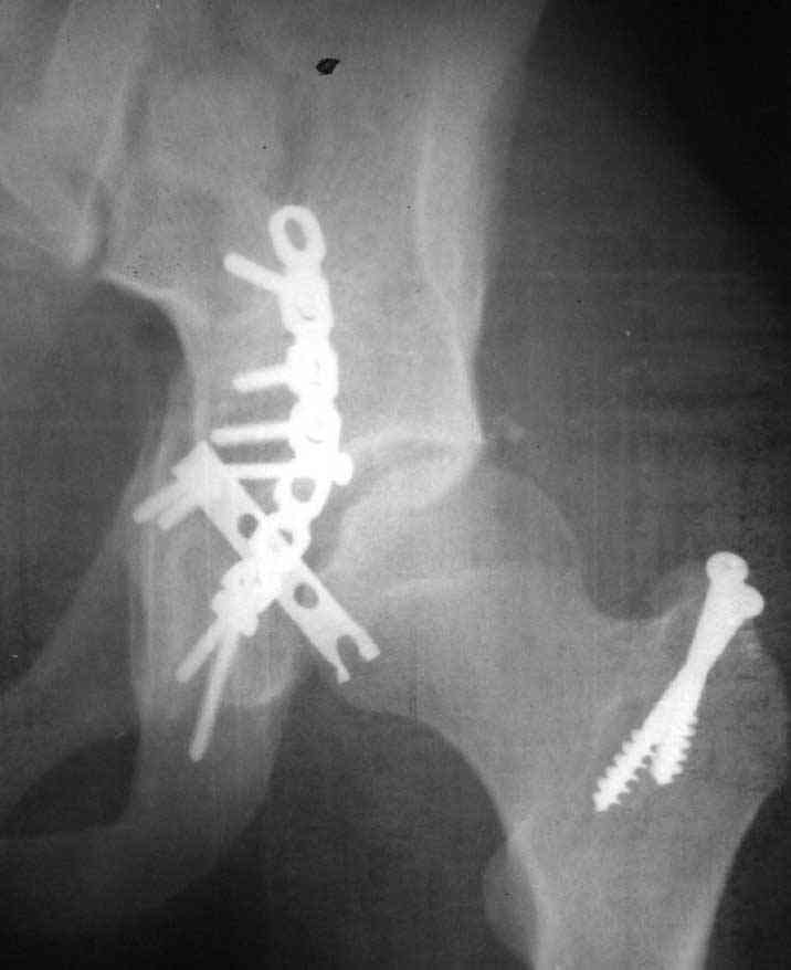
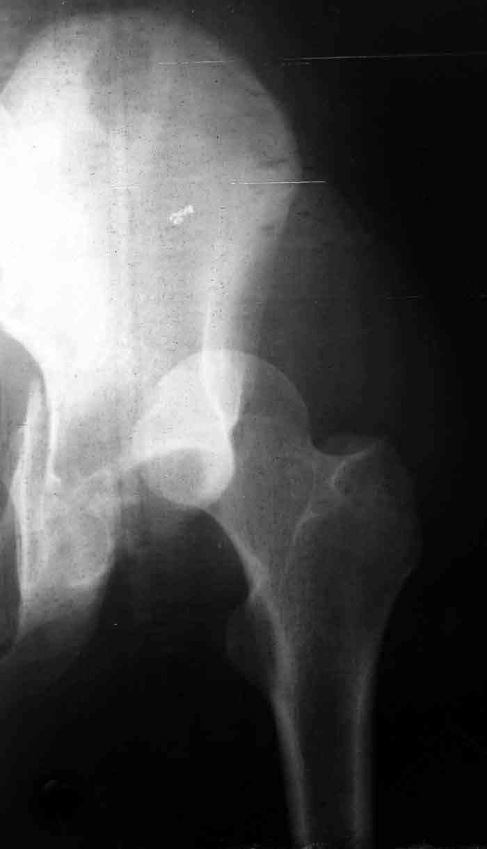
This is a 20 year old man who had an irreducible fracture dislocation of the left acetabulum, associated transverse + posterior wall type, operated nearly 2 weeks following the trauma.
Open reduction and internal fixation was performed through posterior approach with trochanteric osteotomy. Extraction of the incarcerated fragment was very difficult, and then reduction of the femoral head also felt less easy than usual. After plate fixation, the head was found to subluxe on maximum internal rotation. However, it became more or less stable after fixation of the trochanteric osteotomy and reattachment of the rotators. Xray showed lateral displacement of the femoral head. CT was also performed and it confirmed the lateral displacement although I don't know if it could be termed subluxation. The flexion- extension ROM is 0-45 with some internal-external rotation, but the limitation is mostly by pain. I cannot explain this situation and would you like to hear your suggestions.
I am confident that I left no intraarticular fragments. Could the comminution in the anterior wall visible on CT be responsible for this?
I am planning to fix his concomitant tibia fracture within 3 days, and in the process perform an examination under anaesthesia. If the ROM is good, I may leave him alone. What do you think? I am sending the x ray and CT in 3 mails
If anyone would like better quality but larger images of the X ray and CT I can send them to their personal addresses.
Dr Abdelsalam EID M.D., AFSA (Paris V)
AO Fellow
Lecturer of Orthopedic Surgery
Faculty of Medicine, Zagazig University, Egypt.

<  |  >

 

  • Сообщения о Ортопедия и травматология
  • Также Abdelsalam EID
  • Связаться с автором
  • Ответить

    Powered by Zope  Squishdot Powered MedLink
    Посетитель: 0180953
      "По форме правильно, а по существу - издевательство" В.И.Ленин
    ©2001-2019Orthoforum Coordinator.
    [ Главная | Отправить сообщение | Поиск | Админ ]