AOTRAUMA.ORG Центр Илизарова  

Ортопедия и травматология Общие вопросы/General questions Help Информационные технологии в медицине
 вверх
 отправить
 поиск
 админ
 главная
 Предыдущее


Re: Fixion
Алексей Карпухин 15 Июль 2007, 03:57
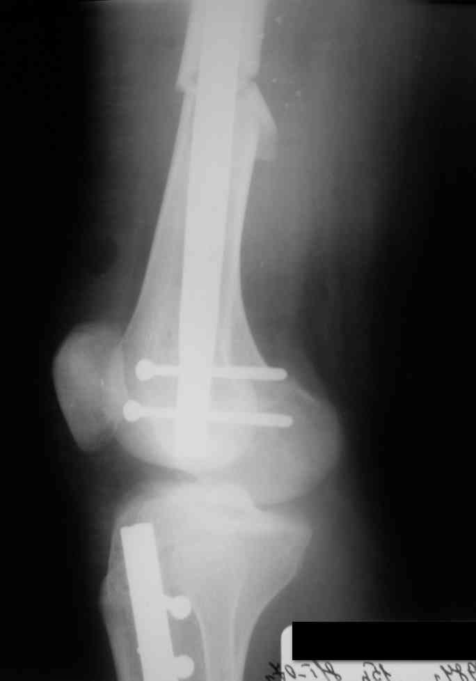
Дорогой Александр. Имею скромный опыт использования системы Fixion при переломах плеча, бедра и тибии. Всего 18 наблюдений с сентября 2006 г. Результаты отличные. Гвоздь индивидуален для каждого медуллярного канала. Легко имплантируется как в узкий, так и в деформированный канал. Это позволяет применять метод интрамедулярного остеосинтеза без ненужных потерь времени операции, флюороскопии и реально снижает крвопотерю и операционный риск. Удаление происходит без проблем. Особенно интересны больные с ипсилатеральными переломами бедра и голени.



В отношении ранней нагрузки при спиральных переломах лучше не торопиться. По данному случаю необходимо достигнуть исчезновения щели между штифтом и внутреним кортексом по Rg. А так картинка прекрасная - и длина сегмента и репозиция. Можно поздравить, коллега!




  • Сообщения о Ортопедия и травматология
  • Также Алексей Карпухин
  • Связаться с автором
  • Ответить

    Re: Fixion
    Alexander Chelnokov 15 Июль 2007, 08:03
    > канал. Это позволяет применять метод интрамедулярного остеосинтеза без
    > ненужных потерь времени операции, флюороскопии и реально снижает
    > крвопотерю и операционный риск.


    В общем, именно по введению Fixion специфических проблем не видно. Вернее, они те же, что и любых других штифтов. То есть при переломе не в средней трети можно ось не восстановить. Или у молодежи канал может быть меньше даже 7-8 мм, то есть придется рассверлить, чтобы гвоздь свободно ввести.

    > Удаление происходит без проблем.

    А удаляете зачем?

    > Особенно интересны больные с ипсилатеральными переломами бедра и голени.

    Да, спасибо за интересные иллюстрации. Получилось очень симпатично. На большеберцовой кости непременно надо было винты? Там же был торцовый упор, перелом в средней трети?

    > В отношении ранней нагрузки при спиральных переломах лучше не
    > торопиться.


    Полную нагрузку давать уже после 2 мес., при уверенных признаках сращения?

    > По данному случаю необходимо достигнуть исчезновения щели между
    > штифтом и внутреним кортексом по Rg.


    Это при раздувании гвоздя, или сейчас? Если второе, то я не понял. А так - давление повышали до 80 ата, перестали нагнетать, когда перестало снижаться меньше 70.

    > А так картинка прекрасная - и длина сегмента и репозиция. Можно

    Спасибо, мы старались, чтобы первый блин не был комом.
    [ Ответить ]

    Re: Fixion
    Алексей Семенистый 16 Июль 2007, 15:28
    > Имею скромный опыт использования системы Fixion при
    > переломах плеча, бедра и тибии. Всего 18 наблюдений с сентября 2007


    Не скромничайте, Вся Москва вместе взятая за этот перниод поставила не больше.

    > сентября 2006 г.Результаты отличные.

    Не маловат ли срок для таких выводов?

    > Удаление происходит без проблем.

    А какая необходимость была уже попробовать удаление, если с первого штифта не прошло и года?

    > Особенно интересны больные с ипсилатеральными переломами бедра и голени.

    Они всегда интересны. А есть ли у Вас опыт или, что Вы думаете о штифтовании Fixion открытых переломов?


    С уважением, А.Семенистый.
    ГКБ 13, Москва.

    [ Ответить ]

    • Re: Fixion
      Отправитель: Карпухин Алексей 24 Июль 2007, 20:54
      Спасибо за живой интерес к теме. По поводу синтеза открытых переломов системой Fixion у меня лично пока наблюдений такого рода не было, но были конверсии после неудач с внешней фиксицией и пластин на бедре и голени. При этом применял римминг канала и больший диаметр штифта. Жду отдаленные результаты у этой группы.


      [ Ответить ]

     

    ( Ответить )

    Powered by Zope  Squishdot Powered MedLink
    Посетитель: 0384070
      "По форме правильно, а по существу - издевательство" В.И.Ленин
    ©2001-2019Orthoforum Coordinator.
    [ Главная | Отправить сообщение | Поиск | Админ ]