ВХОД ДЛЯ ПАЦИЕНТОВ
вверх
поиск
админ
главная
исходное
|
Re: болезнь Альберс-Шонберга
послал Зельский Илья Александрович 19 Июль 2007, 21:22
|
Уважаемый Константин Иванович! Полностью согласен с проф. Михайловым, данный случай не похож на мраморную болезнь, при которой имеется резкое, строго симметричное и генерализованное уплотнение костной ткани (остеопетроз), и кость оказывается построенной преимущественно из гомогенного компактного костного вещества. Для примера привожу случай из архива нашего института (бедренные, плечевые кости и таз, рис 1,2,3)

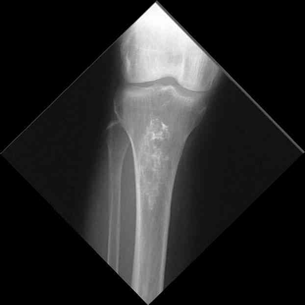
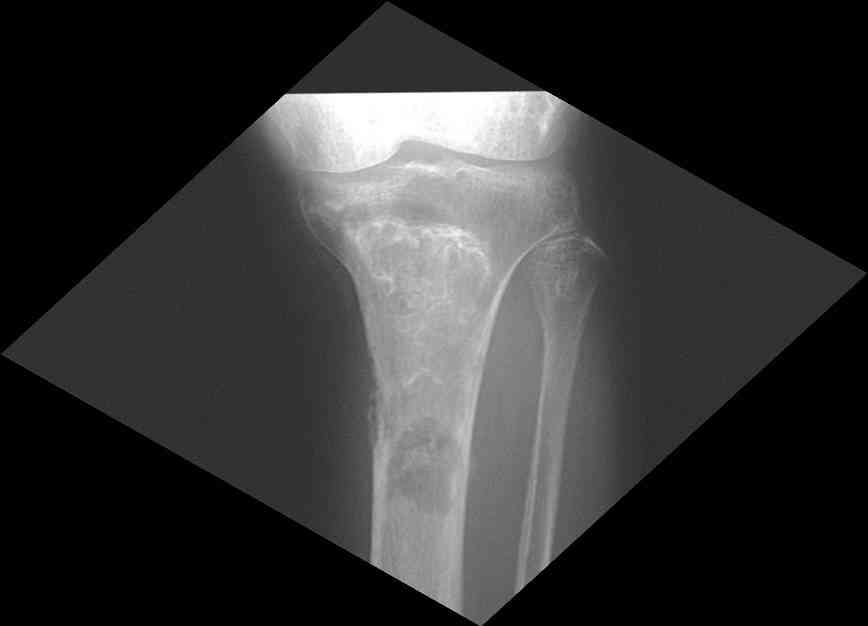
Изменения структуры костей у Вашего пациента больше похожи на полиоссальную форму фиброзной дисплазии или болезнь Педжета, возможены также инфаркты костного мозга б.берцовых костей. К сожалению, качество снимка не очень хорошее, непонятно, сохранен ли кортикальный слой б.берцовых костей по передней поверхности.
Для примера привожу случай из архива американской ассоциации рентгенологов (ACR) - развитие злокачественной фиброзной гистиоцитомы на левой б.берцовой кости у пациента с множественными инфарктами костного мозга (рис 4,5 - левая, рис 6 - правая)

С уважением, Зельский И.А., УНИИТО,Екатеринбург
|
| Послать ответ |
Обратите внимание: Поля с жирными названиями обязательны.
Старайтесь отвечать в рамках обсуждаемой темы, а не начинать новые обсуждения.
Указывайте адекватную тему сообщения, чтобы было ясно, о чем оно.
Не послайте сообщений не по теме (оффтопик), раздраженных, грубых или обидных комментариев. Здесь это неуместно.
|