Ответить
|
Re: Эндопротез и миелома
Каминский Андрей 15 Август 2007, 16:53
|
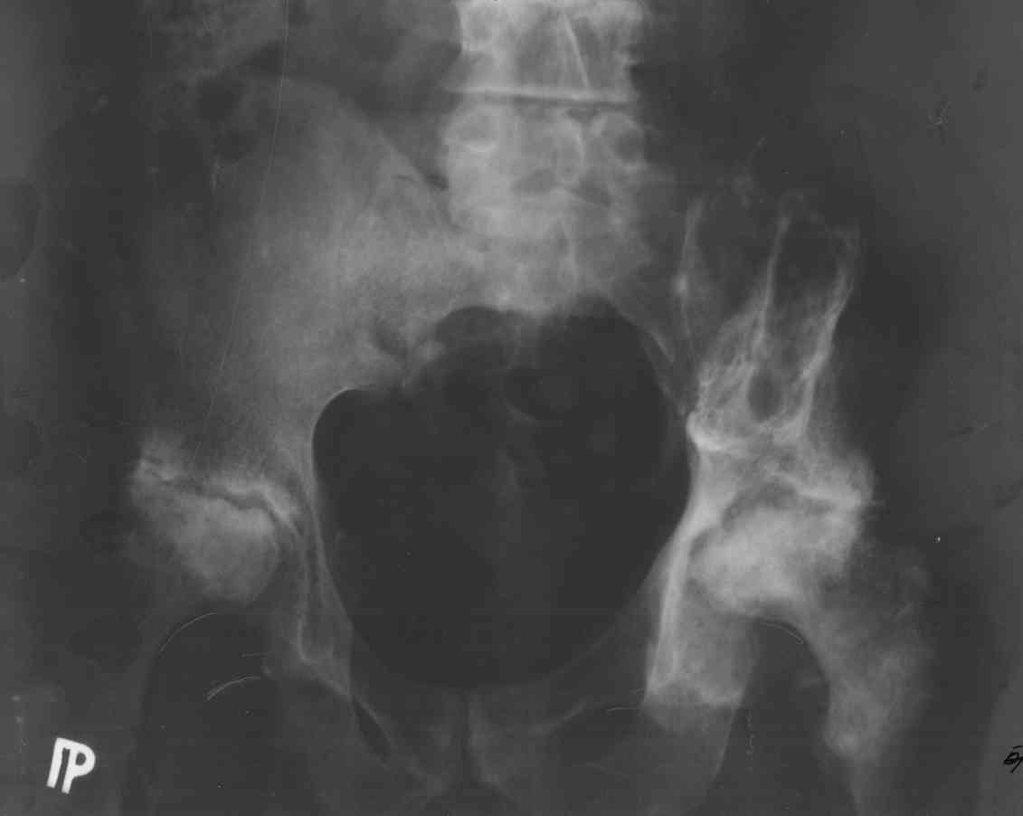
Возможно это очаги болезни. Прилагаю снимок.

|
[
Ответить ]
|
Re: Эндопротез и миелома
Alexander Rykov 15 Август 2007, 17:28
|
А может это не аваскулярный некроз, а еще очаги миеломной болезни. Снимки пли-и-з. А Рыков Хабаровск.
|
[
Ответить ]
|
Re: Эндопротез и миелома
Alexander Rykov 17 Август 2007, 00:58
|
Привет Андрей. Похоже, что это у Вашего пациента миеломная болезнь с множественными локусами, в том числе и в тазовых костях и в проксимальных
бедрах. Основное лечение у соответствующих специалистов. Возможность возврата локомоции в суставах методом тотальной артропластики возможна
ортопедами в плане симптоматической помощи, при перспективах жизни соответствующего числа лет и высоком риске любых осложнений. Не говоря уж о
высокой стоимости. С уважением А Рыков Хабаровск.
|
[
Ответить ]
|
Re: Эндопротез и миелома
Ильдар Ф. Ахтямов 17 Август 2007, 23:13
|
Привет, Андрей!
Имею опыт трех вмешательств на суставах с миеломным поражением подвздошной кости. Ставил гибрид (нога бесцементная). Тщательно вскрывал полости
доступные из сустава при риммировании, заполнял цементом и установил п\э чашки. Один пациент с двумя суставами прожил 3 года, скончался от сопутсвующих почечных проблем. Другой - срок наблюдений до 5 лет. Проблем нет. АИФ
|
[
Ответить ]
|
( Ответить )
|