AOTRAUMA.ORG Центр Илизарова  

Ортопедия и травматология Общие вопросы/General questions Help Информационные технологии в медицине
 вверх
 отправить
 поиск
 админ
 главная


Перелом латеральной лодыжки.
Ортопедия и травматология Отправлено Sereda andrey 21 Август 2007, 23:17
Перелом латеральной лодыжки.
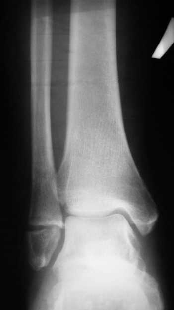
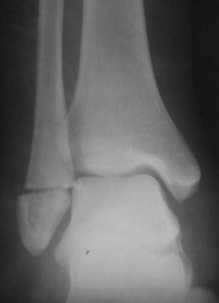
На одном из форумов заспорили о тактике.Женщина 23 года, рост 158, вес 55, профессия: менеджер, хобби: верховая езда, горные лыжи, велосипеды, не курит, сопутствующих заболеваний нет.28 июня упала с лошади.первый рентген:
Иммобилизация гипсовым сапожком до 20 августаНа сегодня- Гипс снаят, со слов больной "Наступать на ногу не больно, но страшно. Сустав и мышцы, конечно, плохо работают."
Есть ортез.
Что делать?
1. Оперировать.
2. Не оперировать.
Спасибо.

<  |  >

 

  • Сообщения о Ортопедия и травматология
  • Также Sereda andrey
  • Связаться с автором
  • Ответить

    Re: Перелом латеральной лодыжки.
    Шарафиев Руслан 22 Август 2007, 01:22
    Вечер добрый! Судя по представленным рентгенограммам (с интервалом почти в два месяца!?) перелом не сросся. Лично я склоняюсь больше в сторону оперативного лечения (с учетом анамнеза пациентки). Но для принятия окончательного решения хотелось бы, для начала, увидеть снимки обоих суставов в сравнении в двух проекциях , а также сравнительные - фас под нагрузкой. При отсутствии жалоб со стороны пациентки на сегодняшний день (при данной рентгенологической картине), они (жалобы) ,скорее всего, появятся позже.

    [ Ответить ]

    • Re: Перелом латеральной лодыжки.
      Отправитель: Sereda andrey 22 Август 2007, 01:41
      Руслан, спасибо за комментарий.

      [ Ответить ]
    Re: Перелом латеральной лодыжки.
    Alexander Chelnokov 22 Август 2007, 01:31
    Начать бы сейчас уже с реабилитации - восстановление движений, ходьба с возрастающей нагрузкой. Появится болезненная нестабильность после восстановления амплитуды движений - в операционную. В любом случае оперировать на фоне хороших движений более благоприятно.
    [ Ответить ]

    • Re: Перелом латеральной лодыжки.
      Отправитель: Sereda andrey 22 Август 2007, 01:40
      Александр Николаевич, спасибо. У меня такое же мнение.
      Вот посты с другого форума
      TDK
      травматолог-ортопед
      Регистрация: 18.03.2007
      Адрес: Самара
      Сообщений: 154



      Показано оперативное лечение - металлоостеосинтез латеральной лодыжки маллеолярным винтом. Никаких признаков сращения на сегодняшний день не наблюдается. Непонятно, чем вызвана такая неопределённость врачей. В ортезе нагрузка на сустав на сегодняшний день не просто возможна - необходима.

      Комментарии к сообщению:
      Oleg Garin одобрил(а):
      __________________
      С уважением, TDK




      Сегодня, 19:17 Скрытое сообщение: видят только участники групп ВРАЧИ и СПЕЦИАЛИСТЫ
      Sereda Andrey
      травматолог-ортопед.
      Регистрация: 04.04.2006
      Адрес: Москва
      Сообщений: 529


      Поскольку рекомендация прямо противоположная, то зажелтю свой пост. Опубликовали одновременно
      Ничего удивительного в том, что мнения хирургов разошлись нет, поскольку в целом в мире разные хирурги исповедуют разные тактики лечения переломов наружной лодыжки. Так одни считают, что нужно оперировать даже при смещении в 1 мм, другие допускают 5 мм. В среднем считают «цифрой старта» 2-3 мм. Но все сходятся в том, что нужно ориентироваться на функциональные запросы пациента. Но в вашем случае уже не свежий перелом, а замедленная консолидация со смещением отломков. (Delayed malunion? :-{)
      Впрочем и при такой ситуации большинство хирургов придерживается консервативной тактики, поскольку по отдаленным результатам это не приводит к развитию посттравматического артроза и прочим неприятностям. Я в Вашем случае полагаю приемлемым консервативное лечение.



      Сегодня, 19:21 Скрытое сообщение: видят только участники групп ВРАЧИ и СПЕЦИАЛИСТЫ
      Sereda Andrey
      травматолог-ортопед.
      Регистрация: 04.04.2006
      Адрес: Москва
      Сообщений: 529


      Объясните, как будто мне 5 лет. Спасибо. Что пишет Кемпбелл.
      1.Lateral Malleolus
      Although fractures of the lateral malleolus without significant medial injury are common, the indications for open reduction of these fractures are still controversial. The maximal acceptable displacement of the fibula reported in the literature has ranged from 0 to 5 mm. In most patients, 2 to 3 mm of displacement is accepted, depending on the functional demands of the patient. Yablon, Heller, and Shouse demonstrated that displacement of the talus accompanies displacement of the lateral malleolus in bimalleolar ankle fractures and emphasized the importance of anatomical reduction of the lateral malleolus in these injuries. Biomechanical studies by Brown et al. and Michelson, Helgemo, and Ahn showed that isolated fractures of the lateral malleolus do not disturb joint kinematics or cause talar displacement with axial loading. Long-term clinical follow-up studies by Bauer, Jonsson, and Nilsson and by Kristensen and Hansen of closed treatment of supination–external rotation stage II fractures reported 94% to 98% good functional results, even with 3 mm of fibular displacement. Yde and Kristensen found the results of operative treatment no better than those of closed treatment in supination–external rotation stage II injuries, even though only 1 of 35 patients (3%) who had closed treatment had anatomical reduction, compared with 28 of 34 (82%) with operative treatment. If the stability of a lateral malleolar fracture is uncertain, stress roentgenograms can be obtained with the ankle in supination and external rotation to detect displacement of the talus indicative of medial injury.
      2.Lateral Malleolus
      Nonunions of the lateral malleolus rarely require treatment. In reviewing 24 such nonunions an average of 9.6 years after injury, Sneppen found those without displacement to be asymptomatic; some eventually healed spontaneously. He concluded that nonunion of the lateral malleolus in itself does not cause traumatic arthritis or other abnormality and thus does not influence the final result in fractures of the ankle.



      Сегодня, 20:15 Скрытое сообщение: видят только участники групп ВРАЧИ и СПЕЦИАЛИСТЫ
      TDK
      травматолог-ортопед
      Регистрация: 18.03.2007
      Адрес: Самара
      Сообщений: 154



      Андрей, я всё таки склонен считать, что принципиального разногласия нет. На сегодняшний день рекомендовать оперативное лечение меня заставили следующие факторы:
      1. Увеличивающийся диастаз фрагментов,
      2. Отсутствие на рентгеновских снимках признаков образования костной мозоли, с одной стороны и
      3. Образование кортикальной замыкательной пластинки на проксимальном фрагменте в зоне контакта, с другой,
      4. Отсутствие, по всей видимости, предложенной врачами стратегии консервативного лечения в настоящее время и отсутствие её в перспективе: видно, что нет чётких рекомендаций по ЛФК, двигательному режиму, срокам ношения ортеза и т.д.
      5. Риск развития при таком виде ведения пациента ("посмотрим, понаблюдаем, подумаем, посоветуемся, а Вы пока так - осторожнее") регионарного остеопороза, мышечной гипотрофии, иммобилизационной контрактуры - частично уже имеется.
      Дальнейший прогноз при таком "полупассивно-рассуждательном" ведении пациента мне представляется сомнительным.
      __________________
      С уважением, TDK




      Сегодня, 20:54 Скрытое сообщение: видят только участники групп ВРАЧИ и СПЕЦИАЛИСТЫ
      Sereda Andrey
      травматолог-ортопед.
      Регистрация: 04.04.2006
      Адрес: Москва
      Сообщений: 529


      1- Диастаз увеличивается. За счет чего? Сам дистальный отломок наружной лодыжки как был на месте, так и стоял. Т.е. увеличение диастаза не за счет подвижности и нестабильности, а за счет резорбции.
      2 и 3 - Стабильным остеосинтезом конечно, эту проблему можно исправить. Или не всегда? Было бы хорошо, если бы прокомментировали еще и рентгенологи.
      4- В связи с этим мы полагаем, что операция позволит заниматься восстановлением более уверенно? Что мешает сейчас начать разрабатывать и нагружать? Опять же, в реале операция отложит движения и нагрузку от сегодняшнего дня на сколько дней?
      5- Регионарный остеопороз и мышечная дистрофия как склоняют в сторону операции ?
      ИМХО стрессовые рентгенограммы могли бы рассудить? Сама пациентка говорит, что наступать не больно, но боязно. Ортез есть. Боязно, говорит, так ведь и после операции ей может быть страшно еще 4 недели.


      Буду благодарен за другие мнения. Иных снимков нет, к сожалению.


      [ Ответить ]
    Re: Перелом латеральной лодыжки.
    Игорь Кучерявый 22 Август 2007, 11:29
    Оперировать.
    --
    С уважением,
    Кучерявый Игорь,
    г. Сергиев Посад.
    [ Ответить ]

    Re: Перелом латеральной лодыжки.
    Odessky Jacob 22 Август 2007, 18:02
    Всем Привет!
    Андрей! Напоминаю Вам, что стандартные проекции голеностопного сустава должны включать кроме передне-заднего снимка ещё боковой и мортис.
    Данный перелом по классификации Вебера относится к типу А- т.е. дистальнее синдесмоза. В этом месте малоберцовая кость не несёт никакой нагрузки. Прошло только 2 месяца с момента перелома дайте больной что-то типа Air cast на месяц-полтора и полную нагрузку на ногу и сгибательно-разгибательные движения в суставе.
    Потом сделайте рентгенснимки в пошлите их на форум
    С уважением
    [ Ответить ]

    • Re: Перелом латеральной лодыжки.
      Отправитель: Sereda andrey 22 Август 2007, 23:15
      Здравствуйте, спасибо за рекомендацию.
      1. Больная виртуальная ;-)
      2. Других снимков она не представила.
      3. Поскольку на другом форуме ей было рекомендовано "однозначно хирургическое лечение", с чем я был не согласен, то и разместил свой вопрос здесь. Сам-то я молодой, зеленый аспирант.


      [ Ответить ]
    Re: Перелом латеральной лодыжки.
    Бехтерев Антон 23 Август 2007, 00:27
    Любые наши действия как травматологов-ортопедов преследуют одну цель - восстановление функции конечности для комфортного существования пациента в дальнейшем.
    Если "лечить" рентгенограмму, то, конечно, необходима операция - некрасивый снимок. Если рассматривать ситуацию с функциональной позиции, то и ход мысли должен быть несколько другой. Во-первых не было указано: существует ли патологическая подвижность между фрагментами наружной лодыжки. Вполне возможно, что плотная фиброзная фиксация окажется достаточной для полноценной жизни девушки с учетом специфики ее работы и образа жизни. Считаю, что необходима индивидуально разработанная программа реабилитации пациентки, включающая физиотерапевтическое лечение, кинезотерапию, психопрофилактику и другие средства реабилитации. Только тогда, основываясь на успехах и возможных неудачах можно решать вопрос о необходимости оперативного лечения и определять его объем.
    [ Ответить ]

    Re: Перелом латеральной лодыжки.
    Александр Ангельский 23 Август 2007, 12:26
    Считаю, что безусловно необходимо оперативное лечение, особенно учитывая активную жизненную позицию женщины. На мой взгляд лучше LCP 1\3 трубки пластина на 5 винтов. При этом можно не боятся остеопороза и миграции винтов. Гипс не нужен. Возможна ранняя после снятия швов нагрузка и движения в г\стопном суставе. Если нет возможности операции с указанной металлоконструкцией, то возможны мини штифты внутрилодыжечно с блокированием. В случае отсутствия любых возможностей оперирования, продолжить гипсовую фиксацию, с контролируемой нагрузкой на конечность и ренгенологическим контролем процесса консолидации. Обычно ренгенологический процесс запаздывает за клиническими признаками.
    [ Ответить ]

    Re: Перелом латеральной лодыжки.
    Максимов Сергей 23 Август 2007, 16:49
    Здравствуйте коллеги! На мой взгляд, больной однозначна показана операция. Проблема не только в сроках сращения перелома (на мой взгляд, тенденции к сращению нет вообще), но и в потере достаточной латеральной стабильности голеностопного сустава. Уровень перелома таков, что он разобщил стабилизирующие связочные комплексы сустава (межберцовые и тарано-пяточные-малоберцовые). Это обязательно проявится на этапе реабилитации, особенно при восстановление нагрузки на сустав, а перспективе - отек и нудные, не выраженные боли в голеностопном суставе, развитие ДА. Учитывая молодой возраст больной, а так же активный образ жизни - высокий риск повторной травмы именно в "слабом месте". Возможно формирование хронической латеральной нестабильности при хронической травматизации (особенно при соскакивания с коняги, при катание на гор. лыжах сам ботинок будет играть роль ортеза).
    С уважением, Сергей.
    [ Ответить ]

    Re: Перелом латеральной лодыжки.
    Лукавин Руслан 30 Август 2007, 09:30
    Согласен с "Бехтерев Антон"... нужно учитывать еще и обьективные данные. Несколько раз сталкивался со случаеми полной функциональности в суставе при полном отсутствии сращения на снимке (появились спустя несколько недель). Хотя стоит заметить что это была ключица и лучевая кость.
    Пусть походит... присмотритесь... если наступит смещение - будет даже легче оперировать. Ведь там в любом случае не свободные движения по месту перелома.
    [ Ответить ]

    Re: Перелом латеральной лодыжки.
    Олег Басков 03 Сентябрь 2007, 23:19
    Однозначно оперативное лечение! Если не делать операцию, то латеральная нестабильность обеспечена - прощайте кони и горнолыжный спорт!

    [ Ответить ]


    ( Ответить )

    Powered by Zope  Squishdot Powered MedLink
    Посетитель: 0000060
      "По форме правильно, а по существу - издевательство" В.И.Ленин
    ©2001-2019Orthoforum Coordinator.
    [ Главная | Отправить сообщение | Поиск | Админ ]