AOTRAUMA.ORG Центр Илизарова  

Ортопедия и травматология Общие вопросы/General questions Help Информационные технологии в медицине
 вверх
 отправить
 поиск
 админ
 главная


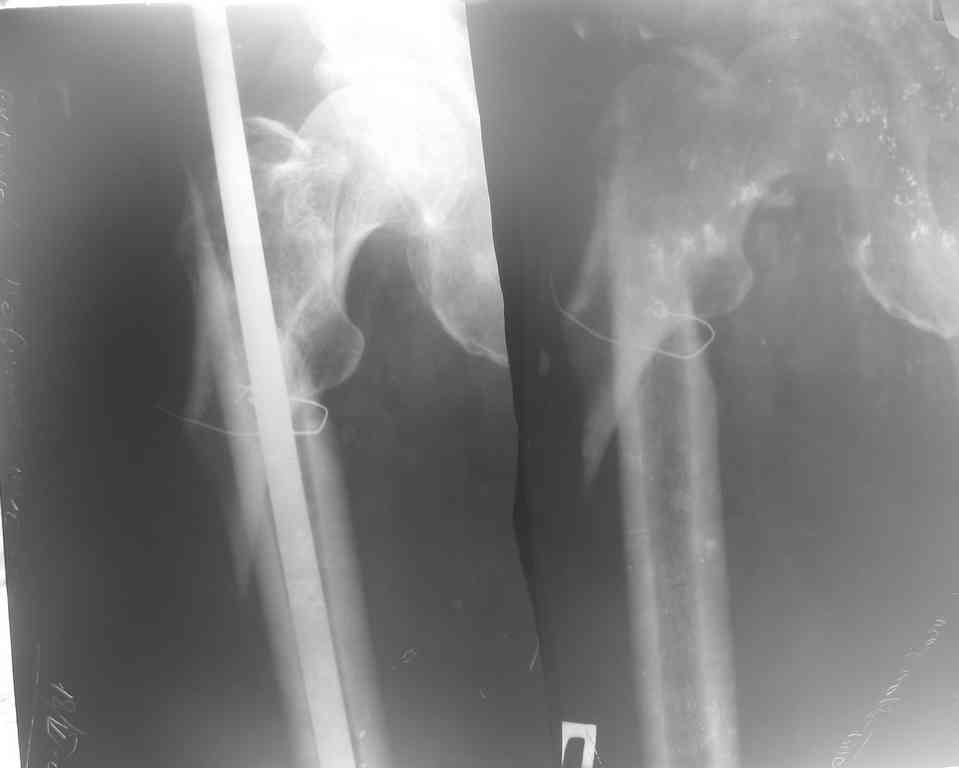
Несросщийся подвертельный перелом бедра
Ортопедия и травматология Отправлено Абдурашид Тураев 22 Август 2007, 23:46
Глубокоуважаемые коллеги! Обратился больной 66 лет. Семь месяцев назад произведен неудачный интрамедуллярный остеосинтез штифтом Кюнчера в одном районе.
Через месяц штифт удалён, перелом несросся. Тактика лечения?
Абдурашид Тураев
Бухара

<  |  >

 

  • Сообщения о Ортопедия и травматология
  • Также Абдурашид Тураев
  • Связаться с автором
  • Ответить

    Re: Несросщийся подвертельный перелом бедра
    Дмитрий Бондарь 23 Август 2007, 00:32
    Доброго времени суток,коллеги!в чём причина удаления через месяц? нестабильность и нагноение? перелом фиксатора? миграция? как местные ткани? что в крови? IMHO нужна более подробная информация
    С уважением Д.Б,




    [ Ответить ]

    • Re: Несросщийся подвертельный перелом бедра
      Отправитель: Абдурашид Тураев 23 Август 2007, 01:37
      Причина удаления штифта - миграция, так как я думаю остеосинтез штифтом был произведен районным травматологом с нарушением техники остеосинтеза. Состояние мягких тканей в области перелома удовлетворительное. Клинические и биохимические анализы крови без патологии.




      [ Ответить ]
    Re: Несросщийся подвертельный перелом бедра
    Alexander Chelnokov 23 Август 2007, 02:06
    АТ> произведен неудачный интрамедуллярный остеосинтез штифтом Кюнчера в
    АТ> одном районе. Через месяц штифт удалён, перелом несросся. Тактика
    АТ> лечения?


    Зависит от доступности методов лечения. Идеально было бы сделать закрытый остеосинтез гамма гвоздем. Репозиция одномоментная, если подвижность достаточнпая, или постепенно аппаратом.
    можно лечить и аппаратом, и клинковой пластиной или подобным по свойствам накостным фиксатором. Каковы Ваши собственные планы?
    [ Ответить ]

    Re: Несросщийся подвертельный перелом бедра
    Шехаед Фади 07 Сентябрь 2007, 02:15
    Коллега здесь показания D.C.S
    [ Ответить ]


    ( Ответить )

    Powered by Zope  Squishdot Powered MedLink
    Посетитель: 0181283
      "По форме правильно, а по существу - издевательство" В.И.Ленин
    ©2001-2019Orthoforum Coordinator.
    [ Главная | Отправить сообщение | Поиск | Админ ]