AOTRAUMA.ORG Центр Илизарова  

Ортопедия и травматология Общие вопросы/General questions Help Информационные технологии в медицине
 вверх
 отправить
 поиск
 админ
 главная


Кататравма
Ортопедия и травматология Отправлено Алексей 24 Август 2007, 19:03
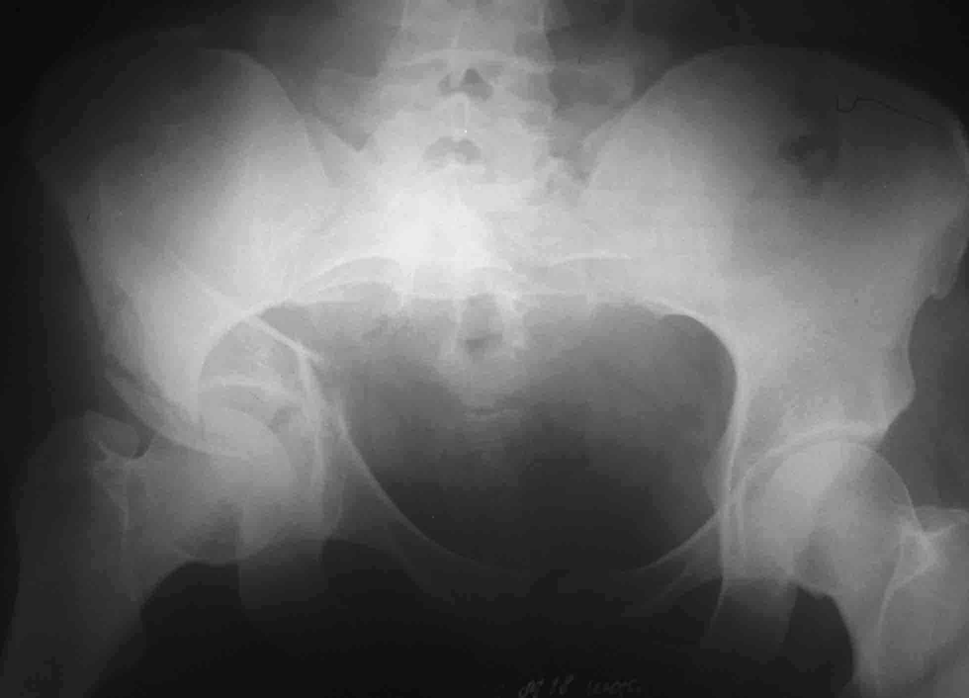
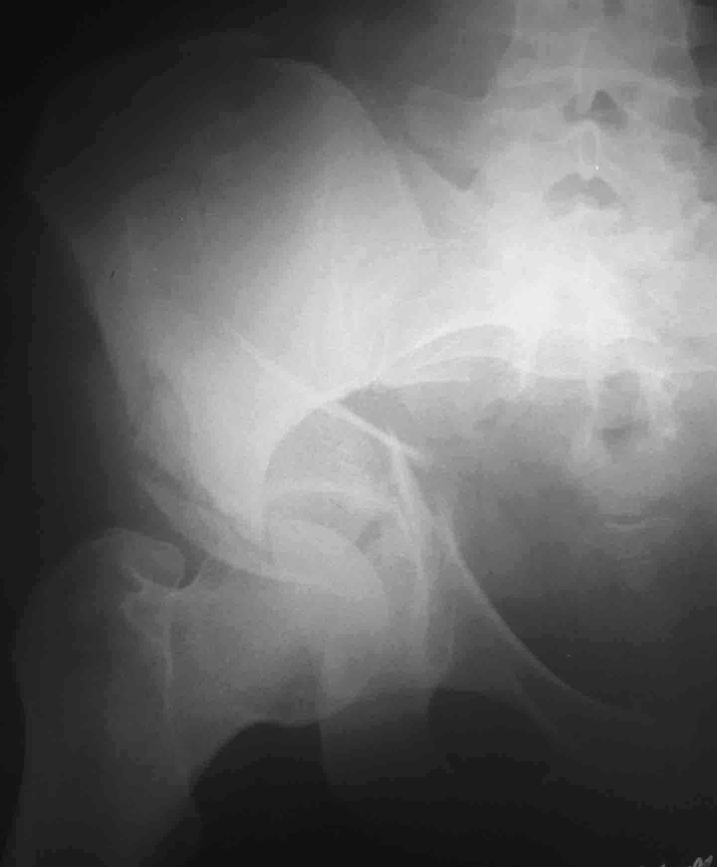
Пациентка 26 лет поступила в больницу 9 дней назад после кататравмы (падение с 4-го этажа)Тяжелая сочетанная травма: Ушиб головного мозга средней тяжести.З/полифокальный перелом таза (оскольчатый чрезвертлужный справа, латеральной массы крестца слева со смещением отломков. З/оскольчатый перелом н/3 правого бедра. З/оскольчатый перелом правой пяточной кости. Тупая травма живота - разрыв слизистой толст кишечника, кисты яичника.
При поступлении - лапаротомия, ушивание ран кишечника, резекция кисты; скелетное вытяжение за правую н/конечность (бугрист б/б кости) На 2-й день на таз наложен стержневой аппарат из "того что было" (по паре стержней в подвздош кости) - естественно, при таком переломе фиксации таким аппартом практически никакой. Пациентка 2 дня назад переведена из реанимации в травм отделение, состояние средней тяжести, показатели красной крови - эритр 2,7; Гб - 75 г/л; Спицевое вытяжение за б/вертел не накладывали из-за возможности инфицирования бедра (пациенка по комплекции довольно упитанная)Встает вопрос - что и в какой последовательности делать с поврежденными сегментами скелета? Думали о варианте: Первым этапом - погружной остеосинтез бедра (DCS? интерлокинг?)и ,возможно, пяточной кости.Вторым этапом - стержневой остеосинтез таза с бедренным модулем (внутренний остеосинтез таза, думаю, по соматике пациентки будет возможен не скоро)

<  |  >

 

  • Сообщения о Ортопедия и травматология
  • Также Алексей
  • Связаться с автором
  • Ответить

    Re: Кататравма
    Дмитрий Бондарь 25 Август 2007, 21:27
    мне кажется,что вначале стоит стабилизировать таз , лучше уж вариант АВФ таз-бедро . возможно стоит захватить в аппарат и дистальный перелом бедра.на таз , конечно , циркулярный аппарат с модулем на бедро . провести максимально возможную репозицию , что облегчит потом возможную внутреннюю фиксацию в любом,понравившемся вам варианте . а вот что делать с пяткой??????я бы попытался аппаратом восстановить опорную точку (бугор). существует опасность некроза мягких тканей в области бугра .
    удачи!С уважением Д.Б.
    [ Ответить ]

    Re: Кататравма
    Maxim Agalakov 26 Август 2007, 12:21
    Первым этапом штифтование бедра, лучше длинная Gamma, чко пяточной кости в максимально простой комплектацией (с пяткой можно будет разобраться позже, результат все равно будет "не очень", так что, скорее всего, дело закончится артродезом), вытяжение за мыщелки бедра 12-15 кг. Вторым этапом (максимально рано, насколько это возможно) внутренний остеосинтез вертлужной впадины (планирование и выполнение доступов можно посмотреть на http://odoc.ru/art_cont.php. Похоже, что вы имеете дело с низким двухколонным переломом, для уточнения необходимы проекции Judet.
    Закрытая репозиция в таких случаях маловероятна - сохранится дисконгруэнтность. В вертел ничего вводить не надо. аппарат на тазу не нужен, лучше убрать, если вы не намерены наладить автономное скелетное вытяжение (таз-бедро), т.к. импрессионные переломы крестца в III зоне достаточно стабильны, а внешняя железяка может ограничить вас при планировании доступов.

    Best regards, Maxim V. Agalakov
    Ural Scientific Research Institute
    of Traumatology and Orthopaedics
    7, Bankovsky str. Ekaterinburg 620014 Russia
    [ Ответить ]

    • Re: Кататравма
      Отправитель: Alexander Chelnokov 26 Август 2007, 13:23
      > Первым этапом штифтование бедра, лучше длинная Gamma,

      Зачем она при дистальном переломе?

      > 12-15 кг. Вторым этапом (максимально рано, насколько это
      > возможно)внутренний остеосинтез вертлужной впадины (планирование и


      А в каком учреждении пациент лечится? Есть ли врачи, знающие методику этих операций, и инструменты?


      [ Ответить ]
    • Re: Кататравма
      Отправитель: Рунков А.В. 03 Сентябрь 2007, 21:57
      Разве перелом крестца компрессионный, а расхождение, а вертикальное смещение?
      И обратите внимание на подозрительную ступень на уровне левой подвздошной кости (перелом крыла с образованием треугольного фрагмента?).
      Может это билатеральное повреждение таза, причем нестабильное с обеих сторон, + двухколонный перелом вертлужной впадины с задним краем?
      Думаю в идеале надо бы поступить так:
      Вытяжение с двух сторон за бедра необходимо уже сейчас, после улучшения общего состояния.

      1 ретроградный закрытый интрамедулярный синтез бедра (вертел труднодоступен и это зона последующих операций)

      2 подвздошным доступом (положение на снине с вытяжением по оси бедер с двух сторон большими грузами 15-20кг) синтез подвздошной кости и передней колонны пластинами, илиосакральные винты справа
      3 в положении на боку задне-наружным доступом синтез задней колонны и края.
      Желательно все выполнить в одну сессию, но можно и разделить (если делить, то появляется еще много ньюансов).

      Если нет опыта подобных вмешательств желательна быстрейшая транспортировка больной в соответствующее учреждение.

      Если это не может состояться, сосредоточить усилия на бедре и переломе крестца (при двухколонных переломах эндопротез ставится без проблем),
      а вот опорность левой ноги под вопросом.

      Чтобы что-то поправить аппаратом в таком случае надо быть невероятно везучим и хотя бы иметь аппарат (а не "то что было"). Техника закрытой репозиции очень сложна (даже если "забыть" про впадину и заниматься только тазом) и не приведет к анатомической репозиции, да и противошововый эффект в данном случае минимален.

      Рунков А.В.


      [ Ответить ]

     

    ( Ответить )

    Powered by Zope  Squishdot Powered MedLink
    Посетитель: 0000001
      "По форме правильно, а по существу - издевательство" В.И.Ленин
    ©2001-2019Orthoforum Coordinator.
    [ Главная | Отправить сообщение | Поиск | Админ ]