AOTRAUMA.ORG Центр Илизарова  

Ортопедия и травматология Общие вопросы/General questions Help Информационные технологии в медицине
 вверх
 отправить
 поиск
 админ
 главная


повторный? перелом бедра
Ортопедия и травматология Отправлено анатолий иванович 26 Август 2007, 02:16 минская областная больница
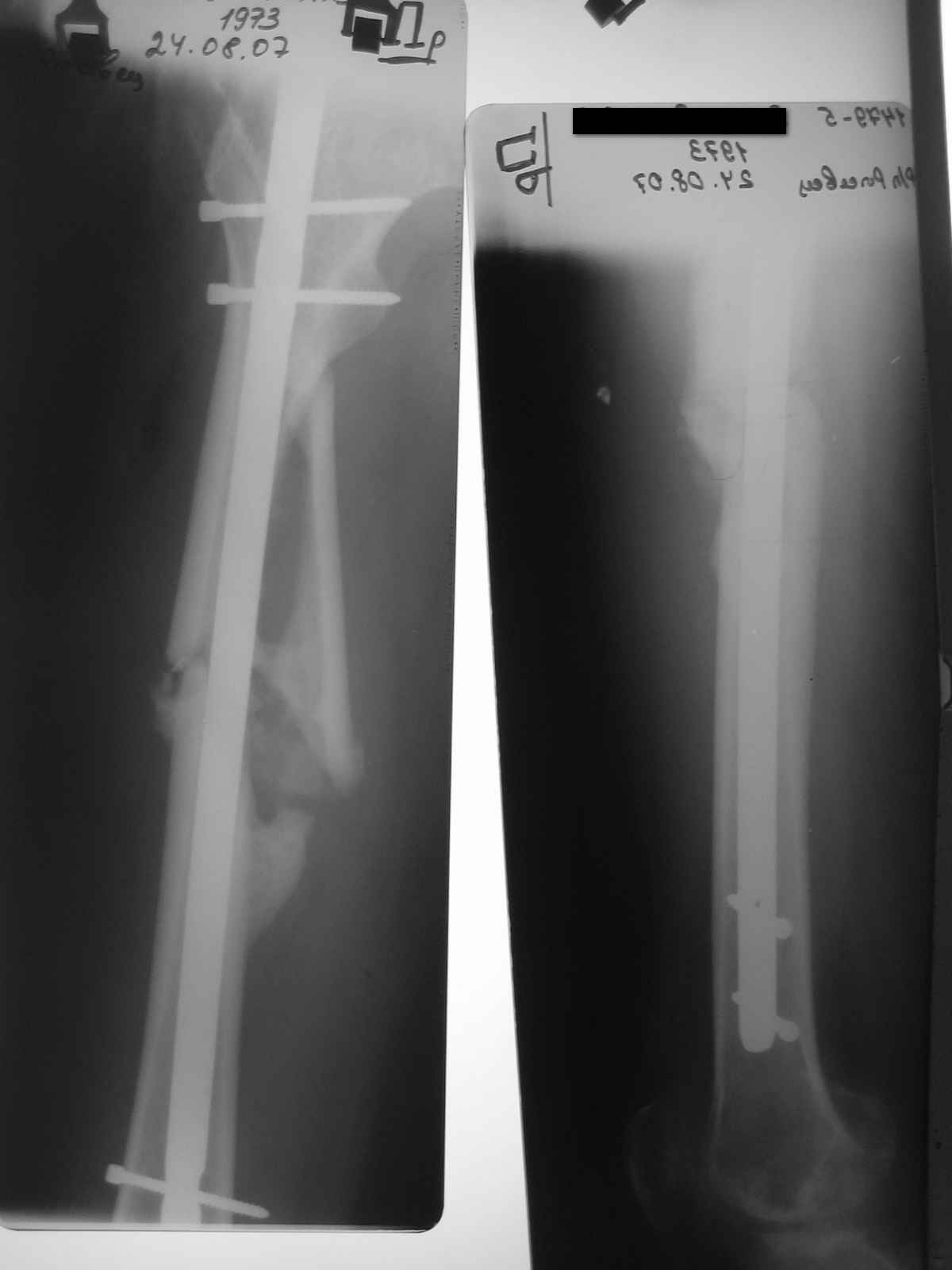
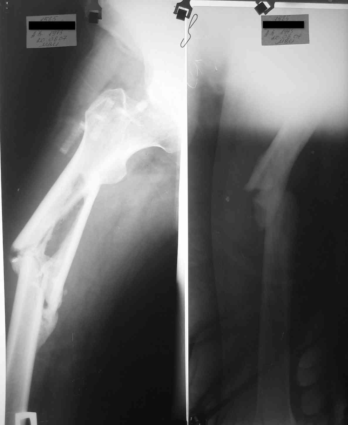
уважаемые коллеги, поступил пациент, через 6 месяцев после травы, который лечлся скелетным вытяжением на районе 3 месяца
затем гипс еще 1,5 месяца, дозированная нагрузка через 3,5 месяца после травмы. Дней 5 назад поскользнулся в ванной, почувствовал боль в бедре, появилась деформация. Оперирован у нас, произведен остеосинтез блокирующим стержнем ,перелом не открывался, был "доломан" на столе. меня интересует вариант вальгирования гвоздя в этом случае. И по-вашему какие ерспективы у этого клиента?

<  |  >

 

  • Сообщения о Ортопедия и травматология
  • Также анатолий иванович
  • Связаться с автором
  • Ответить

    Re: повторный? перелом бедра
    Alexander Chelnokov 26 Август 2007, 03:18
    Учитывая отсутствие медиальной стенки на большом протяжении, действительно, мог быть варус при латеральном заходе. Но удалось вполне неплохо справиться, можно поздравить. Из дополнительных мер - точку входа надо делать чуть медиальнее, и можно ввести спицу спереди назад над дефектом, чтобы гвоздь оттеснить к латеральной стенке канала.

    А перспектива - самая благоприятная, пусть пока коленом занимается форсированно, если не успел к этой травме восстановить движения полностью
    [ Ответить ]

    • Re: повторный? перелом бедра
      Отправитель: анатолий иванович 26 Август 2007, 03:47
      спасибо за добрые слова, пускай поправляется. Но мне хотелось бы подробнее узнать о вариантах вальгирования гвоздя, в каких ситуациях это делается

      [ Ответить ]
      • Re: повторный? перелом бедра
        Отправитель: Alexander Chelnokov 26 Август 2007, 12:40
        Вальгировать (или вальгизировать?) надо не гвоздь, а отломки. Делать это надо, очевидно, при их варусном положении. При последствиях травмы, как в этом случае, изменение положения отломков в любую сторону может быть трудным из-за тугоподвижности. Надо либо их как-то мобилизовать, либо первым этапом устранить угол аппаратом.

        [ Ответить ]

     

    ( Ответить )

    Powered by Zope  Squishdot Powered MedLink
    Посетитель: 0395781
      "По форме правильно, а по существу - издевательство" В.И.Ленин
    ©2001-2019Orthoforum Coordinator.
    [ Главная | Отправить сообщение | Поиск | Админ ]