вверх
отправить
поиск
админ
главная
|
контрактура плечевого сустава |
 |
 |
 |
Отправлено Зинчук 30 Август 2007, 22:24
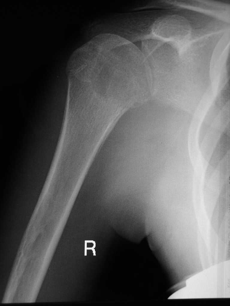
Здравствуйте уважаемые коллеги. Прошу помочь определится с диагнозом. Девушка 16 лет, в течении 10 мес. беспокоят боли в правом плечевом суставе. Последних два месяца возникло резкое ограничение подвижности в суставе. Со слов больной и родителей месяц назад проходила курс лечения у травматолога с диагнозом "периартрит". На момент осмотра плечо отведено до 40 град., активные и пассивные движения резко ограничены, болезненны. Кожные покровы не изменены, пальпация сустава болезненна, общ. ан. крови - норма. Снимки прилагаю. Заранее благодарен за помощь.
<
|
>
|
|
Ответить
|
Re: контрактура плечевого сустава
Галина Викторовна Дьячкова 31 Август 2007, 15:03
|
Громадный очаг деструкции в головке плечевой кости, резко сужена суставная щель. Для уточнения - вторая проекция, КТ.
|
[
Ответить ]
|
Re: контрактура плечевого сустава
Лев Лапидус 31 Август 2007, 15:11
|
Здравствуйте уважаемый Зинчук ( в следующий раз напишите пожалуйста Ваше имя, а то как-то неловко обращаться Зинчук и все, как в пионерском лагере)
У девочки Lytic lesion в головке плеча. Lesion довольно агресивный. Нет четкой границы. Есть периостальная реакция.
Надо начать с bone scan и потом в зависимости от находок - целенаправленная компъютерная томография.
С уважением Лев Лапидус
|
[
Ответить ]
|
Re: контрактура плечевого сустава
Игорь Зинчук 31 Август 2007, 22:34
|
Огромное спасибо коллеги! На 6 сентября назначили МРТ, раньше не получается. Подождем результата.
|
[
Ответить ]
|
Re: контрактура плечевого сустава
Зельский Илья Александрович 01 Сентябрь 2007, 19:11
|
очаг деструкции, с достаточно четким контуром, занимающий 75% эпиметафиза плечевой кости, прерывающий кортикальный слой по внутренней поверхности, с периостальной реакцией, у девушки 16 лет - наиболее вероятно, что это гигантоклеточная опухоль с признаками малигнизации.
С уважением, Зельский Илья Александрович, рентгенолог, УНИИТО
|
[
Ответить ]
|
( Ответить )
|
|