AOTRAUMA.ORG Центр Илизарова  

Ортопедия и травматология Общие вопросы/General questions Help Информационные технологии в медицине
 вверх
 отправить
 поиск
 админ
 главная


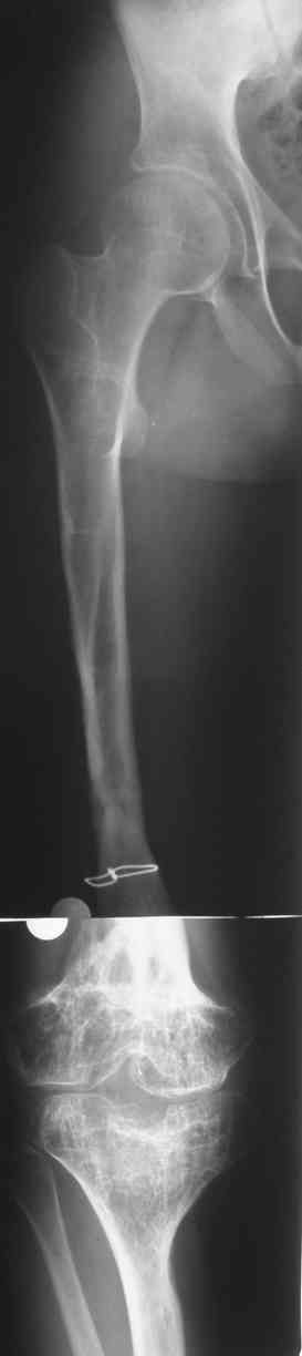
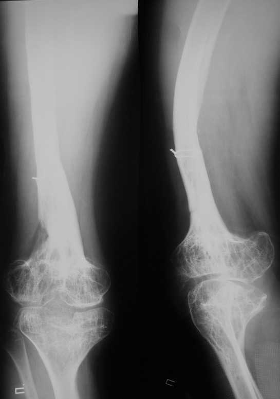
Фиброзная дисплазия бедра, укорочение 12 см.
Ортопедия и травматология Отправлено Иван Марков 31 Август 2007, 16:55 УНИИТО
Уважаемые коллеги!
Несколько лет нами наблюдается пациент с фиброзной дисплазией бедра (сейчас ему 18 лет).
В анамнезе 2 операции: 1.корригирующая остеотомия бедра с резекцией и аутопластикой на месте псевдоартроза бедра в н/3. 2.кортикотомия, дистракционный остеосинтез бедра в аппарате. Последний аппарат находился на больном 1г 3мес и еще 1 год ношения ортеза в связи с замедленной консолидацией.
Сейчас ортопед. укорочение конечности составляет 12 см (7 см-бедро и 5 см-голень)Движения в коленном суставе после удлинения 180-130.Удлинение бедра рикованно и грозит несращением и стойкой контрактурой колена.
Нами рассматривается только удлинение костей голени в аппарате (не более 5см)
Посоветуйте, пожалуйста, вашу тактику лечения.
Заранее спасибо.

<  |  >

 

  • Сообщения о Ортопедия и травматология
  • Также Иван Марков
  • Связаться с автором
  • Ответить

    Re: Фиброзная дисплазия бедра, укорочение 12 см.
    Анатолий 31 Август 2007, 17:13
    Если есть возможность, покажите, пожалуйста, рентгенограммы:
    таза- обзорная,
    обеих нижних конечностей на одной пленке по всей длине в прямой проекции.
    Какой рост пациента?
    [ Ответить ]

    Re: Фиброзная дисплазия бедра, укорочение 12 см.
    Дмитрий Бондарь 31 Август 2007, 20:50
    Мне кажется,обязательно ,при планировании удленений и остеотомий надо делать снимки от таза до пяток на длинных плёнках,считать оси конечностей и после этого что-то планировать
    С уважением Д.Б.
    [ Ответить ]

    Re: Фиброзная дисплазия бедра, укорочение 12 см.
    Иван Марков 03 Сентябрь 2007, 12:35
    Уважаемые коллеги!
    Спасибо за ответы. Это рентгенограммы пациента до и после последнего удлинения бедра





    Заранее спасибо.

    [ Ответить ]

    Re: Фиброзная дисплазия бедра, укорочение 12 см.
    Анатолий 12 Сентябрь 2007, 13:22
    Так как на счет роста?
    Вопрос связан с возможностью операции укорочения контралатеральной конечности.
    [ Ответить ]

    • Re: Фиброзная дисплазия бедра, укорочение 12 см.
      Отправитель: Иван Марков 26 Сентябрь 2007, 11:24
      Уважаемый Анатолий! Рост пациента с фиброзной дисплазией бедра примерно 160 см. Но укорочение контралатеральной конечности мы не хотели бы делать.

      Кликните для загрузки файла Рисунок1.jpg
      50KB (52174 bytes)

      [ Ответить ]

     

    ( Ответить )

    Powered by Zope  Squishdot Powered MedLink
    Посетитель: 0392439
      "По форме правильно, а по существу - издевательство" В.И.Ленин
    ©2001-2019Orthoforum Coordinator.
    [ Главная | Отправить сообщение | Поиск | Админ ]