вверх
отправить
поиск
админ
главная
Предыдущее
Весь тред
|
Re: Proximal femoral shaft nonunion + osteomyeliti
Pavel Ivanov 20 Сентябрь 2007, 08:07
|
AC> А фистулографию не делали?
Фистулографию не делали.
AC> А не было мысли поменять спейсер?
Александр Николаевич, для этого нет веских оснований. Ложный сустав срастается, несмотря на наличие этого свища. Мы не можем исключить тот факт, что источником воспаления для имеющегося свища может быть, например, секвестр или лигатура, расположенные вне костно-мозгового канала. В этой ситуации замена спейсера нам не поможет.
AC> Жму руку, восхищен. Как вам разрешают класть гнойных больных?
Проблема лечение гнойных осложнений переломов для нашего отделения является злободневной. Такие осложнения у пострадавших с тяжелой сочетанной травмой встречаются чаще, чем при изолированных повреждениях. Кроме "наших" пациентов, к нам в отделение госпитализируются больные, лечившиеся в других учреждениях. Часто такие больные поступают в наше отделение по распоряжению администрации института. Так что в этом вопросе особых проблем нет.
AC> Что сейчас с технологией изготовления? На какой трубке остановились?
AC> Какие еще нюансы отшлифовались?
К настоящему времени удалось "отточить" технологию, хотя по-началу проблем было предостаточно. Сейчас мы используем дренажные однопросветные силиконовые трубки. Проблем с ними не возникает.
Best regards,
Pavel Ivanov
Sklifosovsky Clinical and Research Institute for Emergency Medicine
Polytrauma Department
|
|
|
Ответить
|
Re: Proximal femoral shaft nonunion + osteomyeliti
Alexander Chelnokov 30 Сентябрь 2007, 11:52
|
PI> для этого нет веских оснований. Ложный сустав срастается, несмотря
PI> на наличие этого свища. Мы не можем исключить тот факт, что
PI> источником воспаления для имеющегося свища может быть, например,
PI> секвестр или лигатура, расположенные вне костно-мозгового канала.
Поэтому фистулографию интнресно сделать, ну и может статься, что замена спейсера все-таки поможет. Хотя если очаг отграниченный, состояние стабильное, наверно, синица уже в руках.
PI> такие больные поступают в наше отделение по распоряжению
PI> администрации института. Так что в этом вопросе особых проблем нет.
А эпидемиологи на вас не нападают по этому поводу, мол, если гнойный больной - его обязательно надо перевести в гнойное отделение, и не моги в чистом отделении его вести? просто у нас такая проблема есть.
PI> по-началу проблем было предостаточно. Сейчас мы используем
PI> дренажные однопросветные силиконовые трубки.
А диаметр какой?
|
[
Ответить ]
|
Re: Proximal femoral shaft nonunion + osteomyeliti
Отправитель: Pavel Ivanov 30 Сентябрь 2007, 11:58
|
AC> А эпидемиологи на вас не нападают по этому поводу, мол, если гнойный
AC> больной - его обязательно надо перевести в гнойное отделение, и не
AC> моги в чистом отделении его вести? просто у нас такая проблема есть.
В нашем институте имеется научный отдел, занимающийся лечением гнойных осложнений. Но он уже несколько лет работает на базе одной из московских больниц. Так что вполне официально в НИИСП каждое отделение занимается лечением гнойных осложнений самостоятельно. Например, у нас в отделении имеется три палаты (две мужских и одна женская), где лечатся больные с тяжелыми открытыми переломами, обширными ранами и гнойными осложнениями.
PI>> по-началу проблем было предостаточно. Сейчас мы используем
PI>> дренажные однопросветные силиконовые трубки.
AC> А диаметр какой?
Для плечевой и большеберцовой кости - 10 мм, для бедренной - 12 мм.
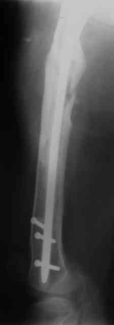
Вчера наш пациент был на контрольном осмотре. Вроде все идет нормально. Рентгенограммы от 25 сентября 2007 г. (прошло 5 месяцев после операции) прилагаю.

Best regards,
Pavel Ivanov
Sklifosovsky Clinical and Research Institute for Emergency Medicine
Polytrauma Department
3, Bolshaya Sukharevskay sq.
Moscow, 129090 Russia
|
[
Ответить ]
|
|
( Ответить )
|
|