AOTRAUMA.ORG Центр Илизарова  

Ортопедия и травматология Общие вопросы/General questions Help Информационные технологии в медицине
 вверх
 отправить
 поиск
 админ
 главная


эндопротезирование
Ортопедия и травматология Отправлено А.В.Владзимирский 18 Сентябрь 2007, 11:27 ДНИИТО
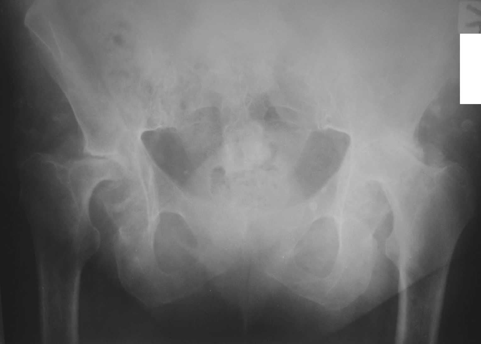
Пациентка С., женщина, 50 лет. Ревматоидный полиартрит. Двусторонний ревматоидный артрит тазобедренных суставов.инвалид 1-й гркппы. Принимает гормоны.
Вопрос: с учетом возраста и состояния костной ткани - цементную или бесцементную технологию эндопротезирования выбрать?
Заранее благодарю!Female, 50 y.o. DS: Rehumatoid polyarthritis, both-sides rehumatoid coxaarthritis.She has hormone therapy. We are going to perform arthroplasty.
Which kind do you prefer in this situation (cemented or cemented-less)?
I'll be appreciate for any opinions and comments!
Thank you very much!
Best wishes,
Anton Vladzymyrskyy
Donetsk Trauma Center
Ukraine

<  |  >

 

  • Сообщения о Ортопедия и травматология
  • Также А.В.Владзимирский
  • Связаться с автором
  • Ответить

    Re: эндопротезирование
    Alexander Rykov 18 Сентябрь 2007, 17:13
    Бесцемент с 2-х сторон. А Рыков Хабаровск
    [ Ответить ]

    Re: эндопротезирование
    Алексей М. 18 Сентябрь 2007, 20:19
    Мне кажется, целесообразным будет проведение дополнительного метода исследования, такого как Денситометрия. И вот тогда по результатам судить какую технологию выбрать.
    [ Ответить ]

    Re: эндопротезирование
    Каминский Андрей 18 Сентябрь 2007, 20:48
    Справа - бесцементный, а слева чашку на цемент, а ногу без цемента.
    Каминский А.
    [ Ответить ]

    Re: эндопротезирование
    Ильдар Ф. Ахтямов 18 Сентябрь 2007, 21:56
    Уважаемый Антон!
    Ссылаясь на опыт сострудников НИИ ревматологии (г. Москва) следует ставить бесцементые протезы с обеих сторон. Я это мнение поддерживаю. АИФ
    [ Ответить ]

    Re: эндопротезирование
    Aharon Liberson 18 Сентябрь 2007, 21:58
    cemented
    AL
    [ Ответить ]

    Re: эндопротезирование
    Dmitry Bondar 18 Сентябрь 2007, 21:59
    Двусторонний бесцементный протез.
    best regards
    b.Dmitri
    [ Ответить ]

    Re: эндопротезирование
    TDK 18 Сентябрь 2007, 22:00
    С одной стороны, понимаю Вашу озабоченность, с другой - рассуждать здесь большого смысла нет. Конечно, дилемма есть, однако в данном случае степень вторичного остеопороза, а соответственно, и состояние костной ткани, вы сможете оценить во время операции, буквально во время резекции шейки. Планировать и один, и второй вариант. Стероид-индуцированный остеопороз - вещь крайне неприятная, кость иногда просто сминается пальцем, поэтому press fit в этой ситуации очень рискован в плане стабильности.

    С уважением, TDK
    [ Ответить ]

    Re: эндопротезирование
    Jagdish 18 Сентябрь 2007, 22:01
    Does not make a significant difference. Personally I would prefer Uncem. incidence of loosening, thigh pain is slightly less

    Regards
    Jagdish
    [ Ответить ]

    Re: эндопротезирование
    mohan desai 19 Сентябрь 2007, 21:51
    My choice here would be reverse hybrid hip.
    Impaction bone grafting (using native femoral head) with cemented cup -This would restore the bone stock
    in the acetabulum.
    Uncemented stem for the femur

    mohan desai
    mumbai
    [ Ответить ]

    Re: эндопротезирование
    Dino Aguilar 20 Сентябрь 2007, 10:58
    Cementless cup

    Cementless stem.

    Prepare bone stock with femoral head.

    Technically as a dysplasia.



    Dino Aguilar
    [ Ответить ]

    Re: эндопротезирование
    TDK 20 Сентябрь 2007, 18:01
    Уважаемый Ильдар, каким образом опыт НИИ ревматологии может обосновывать выбор типа фиксации компонентов эндопротеза в данном случае? Что Вы имеете ввиду?
    [ Ответить ]

    • Re: эндопротезирование
      Отправитель: Ильдар Ф. Ахтямов 22 Сентябрь 2007, 20:26
      Уважаемый ТДК!
      В 2005 году в Казани проходил Съезд ревматологов РФ. Впервые в программе была секция по хирургическому лечению патологии суставов у ревматиков.
      Выступления сотрудников НИИ ревматологии убеждают, что при КА стероидной этиологии даже с протрузией впадины и при наличии остеопороза оптимальным
      вариантом эндопротезирования является бесцементное. Я раньше был сторонником
      несколько иной тактики и старался ставить гибриды (чашка цементная, нога - без). Несколько случаев расшатывания чашки убедили, что наши коллеги правы и сейчас стараюсь использовать только бесцементые варианты. АИФ


      [ Ответить ]
    Re: эндопротезирование
    сергей 25 Сентябрь 2007, 22:37
    справа бесцементное протезирование-ревизионная ножка (Вагнер), слева бесцементное протезирование: чашка(вальтер овале Чехия, IMPLANTCAST германия)- чашка с "рогами", промежуткии заполнить костным аутотрансплантатами или биокомпозитным цементом, если нет бесцементного протеза, то классика кольцо мюллера с трансплантатом и цементная чашка, ножка слева- цвай-мюллер
    [ Ответить ]


    ( Ответить )

    Powered by Zope  Squishdot Powered MedLink
    Посетитель: 0186869
      "По форме правильно, а по существу - издевательство" В.И.Ленин
    ©2001-2019Orthoforum Coordinator.
    [ Главная | Отправить сообщение | Поиск | Админ ]