вверх
отправить
поиск
админ
главная
|
Отправлено Тураев Абдурашид 27 Сентябрь 2007, 22:29 Областная клиническая больница
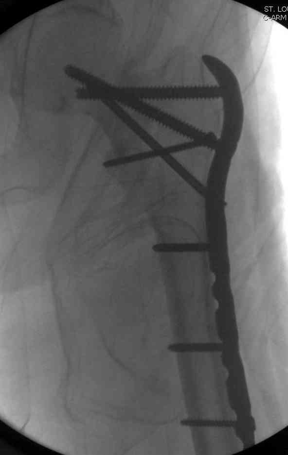
23.08.07г. на форуме был представлен больной 68 лет с диагнозом: несросшийся подвертельный косой перелом. http://www.weborto.net/forum/1187804790/ Больной после неудачной операции в одном районе в течении 7 месяцев был прикован к постели, с пролежнями в обл. крестца. Больной в течении 10 дней подготовлен к операции, НВ-153, эритр.-4,5, соэ-7, ВСК-3-3,40. ПТИ-81.ФНГ-3100. Мочевина, билирубин, АЛТ,АСТ в пределах нормы. Для остеосинтеза готовили пластину клинковую, штопор Сиваша . Во время операции дистальный отломок легко мобилизовали, проксимальный отломок был ротирован и сильно приведен медиально( m. iliopsoas), а также сильно замурован плотной как хрящ рубцовой тканью. Линия излома косая около 10 см., наружная стенка большого вертеля почти не было. У малого вертеля отсекли сухожилие m. iliopsoas и дальше на глубине начали распатором мобилизовать конец проксимального отломка, который был сильно приведен и находился глубоко , когда начали отделять изогнутом распатором заднюю часть конца и чуть подтянут отломка и тут начался сильнейшая кровотечения, фонтаном, найти сосуд и остановить кровотечение в ране не удалось, сосуд вместо с рубцовой тканью ушел назад и медиально отломка. Срочно рану туго тампонировали и остановили кровотечение, вызвали сосудистого хирурга,но их не нашли, оказалась один в отпуске, двое на экстренном вызове в районах. Передным доступом (по L. vasorum ) обнажали бедренную артерию, провели резиновую держальку и временно сосуд зажали, открыли рану , убрали тампон, но на глубине в толще рубцовых тканей поврежденный сосуд найти не удаётся. Поэтому переднюю рану расширили вниз, при ревизии бедренная артерия не повреждена, а глубокая бедренная артерия повреждена пристеночно, примерно на 2-3см от место отхождения от бедренной артерии, не доходя до ответвлений на огибаюших артерий. А одноимённая вена повреждена на протяжении около 3х см, и в данный момент восстановить не удается и пришлось перевязать оба конца, на артерию наложили поперечный сосудистый шов, бедренную артерию освободили, кровоток восстановился. Но теперь начала вся рана кровить! Венозный застой! К этому времени состояние больного резко ухудшилось, наступил клинический смерть, с трудом реанимировали, вроде б и кровотечение остановилось, как а/д подняли до 100/60мм опять начался кровотечение, коагулятором остановить не удаётся, рану туго тампонировали, перелито больше одного литра эр. массы и плазмы,и ешё кровозаменители, стабизол, рефортан и др. а/д держим 90/60, интесивная терапия против ДВС синдрома. Реаниматологи не разрешают производить остеосинтез, так как гемодинамика нестабильная , держиться под вазопрессорами. Через час состояние больного не улучшается , реаниматологи дали 10 минут и мы быстро кое как репонировали, остеосинтез продолной пластиной ЦИТО, но шурупы в проксимальном отломке плохо держутся, (остеопороз ), но другого выхода не было, для клинковой пластини просто небыло времени. Тканевое и капиллярное кровотечение продолжается, рану туго тампонировали и наводяшие швы на рану. Наложили гипсовой сапожок с деротатором. Больной находился в общей реанимационной отд. 20 дней и вышел из критического состояния. Но на контр. Р-грамме шурупы как и предпологали не держались, имеется ротация проксимального отломка, хотя ось бедра правильная и клинически деформации нет, даже определяется клиническая схватка . Я долго думал, вынести это на форум или нет, позвонил Челнокову А Н, он сказал <надо быть честным до конца, доложил на форуме, надо сообшить и о резултатах> Уважаемые коллеги! Какие были допушены ошибки? И какие рекомендации будут теперь? . P. S. за некачественный р-снимок прошу прошения!
<
|
>
|
|
Ответить
|
Re: Об осложнении
Савранский Александр 29 Сентябрь 2007, 00:19
|
Спасибо за представленный случай-это предостережение-простых операций не бывает.
Есть вопросик-на представленных ранее снимках конец проксимального отломка смещен кнаружи а не кнутри как Вы описываете в операции.Как так получилось?
|
[
Ответить ]
|
Re: Об осложнении
Отправитель: Абдурашид Тураев 29 Сентябрь 2007, 23:38
|
Уважаемый Александр! Вы задали вопрос, который досих пор меня мучает! Моя первая и грубейшая ошибка в том, что я брал больного на операцию с
р-снимком 4х месячной давности,мол, зачем и так всё ясно, всёравно откроим, там и посмотрим. Я предполагаю, после удаления штифта больной долго находился в постельном режиме, возможно м.iliopsoas подтянул медиально и ротировал, так как вовремя операции пока эту мышцу не перерезали, проксимальный отломок ни смогли сдвигать.
С благодарностью и уважением Абдурашид
|
[
Ответить ]
|
|
Re: Об осложнении
Mark Eidelman 29 Сентябрь 2007, 16:32
|
Dorogoi kollega,ne tak strashno smotritsya bedro , delat chto to seichas vse ravno chto strelyat sebe vnogu.Ostavte ego kak est( i emu ivam spokoinei budet).17 let nazad ya uehal iz Buchary, sudya po vashemu pismu nichego ne izmenilos.
Snimau shapku za chestnoe izloghenie (vsem nam by tak).
Mark Eidelman,
Rambam Medical center,
Haifa,Israel.
|
[
Ответить ]
|
Re: Об осложнении
Отправитель: Абдурашид Тураев 29 Сентябрь 2007, 23:55
|
Dorogoi Mark! Spasibo za tyoplie slova! Ya rabotayu v gorode Buhare v obl.klinicheskoy bolnitse 32 goda, i za eto vremya izmenilos ochen mnogoye v luchshuyu storonu. Yesli pomnite Mosheeva Grigoriy Michaelovicha, on moy uchitel!
|
[
Ответить ]
|
Re: Об осложнении
Отправитель: Mark Eidelman 30 Сентябрь 2007, 21:57
|
Kto ghe ego ne pomnit( ya ne byl ortopedom ,no ego znal i zenil).
Moi mail: markeid@yahoo.com
972-50-2061090
Esli koga nibud ponadobirsya konsultazia po detskoi ortopedii,limb lengthening,deformity correction budu rad Vam pomoch( i eto ne prosto otpiska)
Mark.
|
[
Ответить ]
|
Re: Об осложнении
Отправитель: Абдурашид Тураев 01 Октябрь 2007, 23:28
|
Mark, dorogoy, napisali, kak ya ponyal chto detskiy ortoped. U menya lejit rebyonok s Artrogrippozom, 2 godika, kosolapost ustranil konservativno, no opyat dayot slegka retcidiv, teper budu apparatom Ilizarova, a ruku eshyo ne nachal. Chto mojete rekomendovat ?
S uv. Abdurashid.
|
[
Ответить ]
|
Re: Об осложнении
Отправитель: Alexander Chelnokov 04 Октябрь 2007, 00:08
|
Напоминаю, что для нового обсуждения следует начать новую тему. Поскольку в этой теме обсуждается осложнение при попытке остеосинтеза бедра, обсуждение случая артрогрипоза перенесено сюда.
|
[
Ответить ]
|
|
Re: Об осложнении
Djoldas Kuldjanov, M.D. 30 Сентябрь 2007, 23:42
|
Не всякий решится на публичный разбор своих осложнений, хотя, что скрывать, у многих случаются тактические или исполнительные ошибки.
После описанного жуткого состояния очень трудно будет преодолеть недоверие больного, убедить его пойти на ревизию, потому что обычно такие случаи заканчиваются конфликтом и больные отказываются от
продолжения лечения.
Поэтому, как один из вариантов, можно было предложить продолжение консервативного лечения на скелетном вытяжении, учитывая что, ось конечности выровнена, и, хотя это утомительно для больного, но все-таки выход из положения.
Если больной настроен оптимистически и желает исправления проблемы, тогда можно было бы сделать ревизию, но с учетом состояния и качества костных структур и подбором всех возможных вариантов импланта для адекватной фиксации.
Из-за ослабленного латерального кортекса в проксимальной части бедра (прорезавшийся первичный неудачный штифт) штифт для фиксации не годится. Потом для установки современных блокирующих штифтов необходимы дополнительные оборудования и опыт применения.
Адекватная фиксация достигается длинным 95 градусным Blade Plate, где клинок пластины, связывая головку со средней трети бедра, создал бы условия для сращения.
Другой вариант пластины, это Synthes Proximal Locking Plate предназначенный для лечения прксимальных переломов бедра, где три шурупа: два 7.3 мм, введенных в головку под углом 95, 120 и 5.0 мм в 130 градусов, создают угловую стабильность.

Профилактику прорезывания шурупов в кости можно добиться введением в отверстие цемента, потом проведением шурупа, цемент, застывая, удерживает шуруп в правильном положении.
Надо учесть, что каждая следующая операция повышает риск осложнений.
Спасибо за честность и поучительный случай.
Djoldas Kuldjanov, MD
Department of Orthopedic Surgery
St. Louis University Medical Center
|
[
Ответить ]
|
Re: Об осложнении
Отправитель: Dmitry Bondar 30 Сентябрь 2007, 23:50
|
Джолдас,мы помним Вашу презентацию огнестрельного перелома и синтеза подобной пластиной.Не можете ли Вы прислать более подробную методу установки , фото конструкции и описание проблем, связанных с установкой этого импланта ?
С уважением Д.Б.
Р.S.уж очень привлекательная плата и метода!
|
[
Ответить ]
|
Re: Об осложнении
Отправитель: Alexander Chelnokov 30 Сентябрь 2007, 23:58
|
> штифт для фиксации не годится.
Вряд ли предыдущий гвоздь так фатально повредил проксимальный отдел бекдра.
> Потом для установки современных блокирующих штифтов необходимы
> дополнительные оборудования и опыт применения.
С этим не поспоришь.
> Адекватная фиксация достигается длинным 95 градусным Blade Plate, где
> клинок пластины, связывая головку со средней трети бедра, создал бы
Ровно эту же самую роль мог бы сыграть и штифт - гамма или другой проксимальный. Мы бы, скорее всего, планировали в таком случае гамму. И вместо проведенной операции, и сейчас, если все-таки будет несращение. Возможно, после непрдолжительной коррекции положения отломокв в аппарате.
|
[
Ответить ]
|
Re: Об осложнении
Отправитель: Alexander Chelnokov 02 Октябрь 2007, 23:07
|
> Хотя одним из условием установки Гамму или других блокирующих
> реконструктивных гвоздей зто интактный латеральный кортекс создающий
> дополнительную стабильность.
Дополнительная стабильность для гамма гвоздя избыточна. Для устойчивой фиксации, позволяющей полную нагрузку сразу, достаточно только
головки с шейкой и диафиза бедра, безотносительно к состоянию вертельно-подвертельной области. Это позволяет использовать гамма гвоздь при метастазах, когда вообще сегментарный дефект вверху бедра, а не только отсутствует латеральный или медиальный кортекс.
> и подробная информация по установке Synthes пластины.
Поглядел, спасибо. Не могу я уяснить, что считать показанием к проксимальному гвоздю, а что - к такой пластине. Все там показанные случаи я бы предпочел лечить той же гаммой. По-моему, было бы не менее прочно, и менее инвазивно, и более просто.
|
[
Ответить ]
|
Re: Об осложнении
Отправитель: Djolldas Kuldjanov 02 Октябрь 2007, 23:09
|
Конечно, нет проблем, можно установить Гамму 3, я имел ввиду, когда отсутствует возможности
интрамедуллярной фиксации, пластина
предпочтительнее под прямым прицелом.
|
[
Ответить ]
|
Re: Об осложнении
Отправитель: Абдурашид Тураев 01 Октябрь 2007, 23:20
|
Джолдас! Ты как всегда обстоятельно и аргументировано излагаешь суть дела. Спасибо! Больной от ревизионной операции отказался, сейчас находится дома, конечность уложили на шину Белера, под гипс гладкую доску, вытяжение за гипс. сапожок с прокладкой грузом 3кг, установили балканскую раму, я теперь как вроде домашний врач.
|
[
Ответить ]
|
Re: Об осложнении
Отправитель: Michael Markushevich 03 Октябрь 2007, 16:26
|
For Djoldas Kuldjanov, MD.
Synthes Proximal Femur Lock Plate is beatiful choise. But very expensive.I see in US this is not problem. And other hand, how cases like this you have in the year. I think may use Taragon Proximal Nail in long modification. If have problem bone quaity may use cement in Lag screw canal.
With regards
Markushevich Michael MD
Kfar saba
Israel
|
[
Ответить ]
|
|
( Ответить )
|
|