Ответить
|
Re: Вывих акромиального конца ключицы
Alexander Chelnokov 02 Октябрь 2007, 14:44
|
До hook plate несколько десятков таких пациентов лечили закрыто аппаратиком внешней фиксации.
Презентация про это лежит тут
|
[
Ответить ]
|
Re: Вывих акромиального конца ключицы
Отправитель: Александр Жужнев 02 Октябрь 2007, 23:13
|
Добрый вечер, Александр Николаевич!Спасибо за совет.Будем иметь в виду такую методу.
|
[
Ответить ]
|
Re: Вывих акромиального конца ключицы
Отправитель: Вадим Найданов 03 Октябрь 2007, 18:01
|
В умелых руках и аппаратики хорошо помогают. Только больные жалуются - холодно в России зимой, одеться сложно с аппаратом. К тому же необходим постоянный уход.
|
[
Ответить ]
|
|
Re: Вывих акромиального конца ключицы
Dmitry Bondar 02 Октябрь 2007, 20:33
|
Последние годы делаем по винтом через ключицу и клювовиднуй отросток. Грузчики и монтёры путей довольны :)))) . Разрез и операционная травма минимальны.
|
[
Ответить ]
|
Re: Вывих акромиального конца ключицы
Александр Жужнев 02 Октябрь 2007, 23:16
|
Дмитрий, а какая фиксация после операции?Косыночной повязкой?На сколько?
|
[
Ответить ]
|
Re: Вывих акромиального конца ключицы
Отправитель: дмитрий бондарь 06 Октябрь 2007, 23:59
|
фиксирую тонкой гипсовой повязкой типа Дезо на 7-12 суток . лучше , чем косыночная (не разматывается) . Удачи !
С уважением Д.Б.
|
[
Ответить ]
|
Re: Вывих акромиального конца ключицы
Отправитель: Е. Халиман 18 Октябрь 2007, 13:41
|
Винт потом удаляете? Когда?
При разработке какие ограничения больным предписываете? У меня нет опыта по такой методике, опасаюсь, что винт будет ломаться при разработке и тем более нагрузке.
У нас традиционно либо Уоткинс-Каплан, либо Беннель
|
[
Ответить ]
|
Re: Вывих акромиального конца ключицы
Отправитель: дмитрий бондарь 19 Октябрь 2007, 00:14
|
винт удаляем где-то через 6-8 мес . "разработки" фактически нет , сроки иммобилизации небольшие (7-12 суток)а чтоб не было проблем с винтом , делаю в ключице отверстие 4,5 - 5 мм и шайбочку под головку винта . обязательно сшиваю АС-связки . Пока винты не ломались и не вырывались . Раньше тоже пользовался Капланом и Беннелем . Отошёл от этого (на мой взгляд травматично) НО это метод только для свежих случаев
С уважением Д.Б.
|
[
Ответить ]
|
Re: Вывих акромиального конца ключицы
Отправитель: Е. Халиман 19 Октябрь 2007, 07:45
|
То есть в ключице винт стоит с зазорами, "может "гулять"? Винт сам - типа малеолярного? Или не принципиально, какая на нем резьба?
Насчет связок - сшивается ключично-акромиальная? Т.е. по сути капсула сустава. Т.е., всё же сустав открывается, мениск удаляется, хрящ тоже удаляется..? (хрящ жалко, но так меня научили)
[quote]Разрез и операционная травма минимальны.[/quote] Я уж подумал было, разрез сантиметра 2, вправить вывих, прицелиться, просверлить, завинтить, снимки - и всё, зашиваем.
Честно, не знаком с методикой вообще, у нас не применяют, вживую не видел.
|
[
Ответить ]
|
|
Re: Вывих акромиального конца ключицы
Олюнин Александр 03 Октябрь 2007, 11:02
|
Будучи в ординатуре в г. Прокопьевске в 1985 году ознокомился с методикой "Субакромиальной фиксации ключицы по Ли-Гольдману". Взяли данную методику на "вооружение". Технически правильно выполненная операция практически не дает осложнений в виде перелома либо миграции фиксатора, или рецидива вывиха. Отдаленные результаты были предоставлены в докторской Гольдмана. Показания для даной методики - срок не более 5 суток после травмы, более 5суток необходимо проводить пластику ключично-клювовидной связки с резекцией акромиального конца ключицы. Для данной операции используется обычный Богдановский стержень (пользуемый для остеосинтеза костей предплечья у детей), который изгибается в виде крючка, необходимой длины. Доступ от с\3 ключицы по передней поверхности акромиона, с иссечением диска, подготавливается канал в ключице, вводится проксимальный конец стержня, дистальный конец подводится под акромион на которм и фиксируется путем загибания. Иммобилизация - косынка. Удаление фиксатора через 2 месяца.
|
[
Ответить ]
|
Re: Вывих акромиального конца ключицы
Отправитель: Ромчук П.Н. 08 Октябрь 2007, 02:03
|
вышлите, если можно, рентгенограммы или рисунки операции по Ли-Гольдману. Можно прямо на мой адрес.
Спасибо,
П.Ромчук
|
[
Ответить ]
|
Re: Вывих акромиального конца ключицы
Отправитель: А.П.Ким 09 Октябрь 2007, 09:38
|
Лучше выложить на форуме.
|
[
Ответить ]
|
Re: Вывих акромиального конца ключицы
Отправитель: Александр Олюнин 12 Октябрь 2007, 15:48
|
Уважаемые коллеги,высылаю протокол операции (если кому пригодится, буду рад)

Внешний вид больного (травма: 09.10.2007, операция: 11.10.2007) Ориентиры доступа: овальный – пальпируемый акромиальный конец ключицы, линейный – операционный разрез

Отпрепарированы м\ткани по передней поверхности акромиона Выведен в рану акромиальный конец ключицы

Иссечение разорванного мениска
Подготовка канала в акромиальном конце ключицы сверлом 2,8 мм

Введение крючка в подготовленный канал Дистальная часть крючка подведена под акромион и фиксирована на нем путем загибания (вывих ключицы устранен)

Изготовление крючка из стержня.
|
[
Ответить ]
|
Re: Вывих акромиального конца ключицы
Отправитель: Алесандр Жужнев 12 Октябрь 2007, 22:42
|
Уважаемый Александр,спасибо за презентацию,всё наглядно,понятно.При случае попробуем эту методику.
|
[
Ответить ]
|
Re: Вывих акромиального конца ключицы
Отправитель: Alexaander Chelnokov 09 Октябрь 2007, 12:15
|
Петр, дорогой, зачем просить прислать лично, всем же интересно, и ничего личного-приватного тут нет.
|
[
Ответить ]
|
|
Re: Вывих акромиального конца ключицы
Michael Markushevich 03 Октябрь 2007, 16:04
|
Зачем изобретать велосипед. Есть hook plate.
|
[
Ответить ]
|
Re: Вывих акромиального конца ключицы
Отправитель: Олюнин Александр 04 Октябрь 2007, 09:25
|
На сегодня не настолько богаты наши пациенты, а тем более травматологические стационары, чтобы позволить себе hook plate.
Привожу пример из "Медгородка" г.Екатеринбург :Травматология и ортопедия
18.07.2007 Игорь: главная вывих акромиального соединения ключицы Здравствуйте! У меня такая проблема. Упал, катаясь на велосипеде, заработал себе вывих ключицы (акромиального соединения). Сначала по рентгену сказали: ушиб, сейчас оказалось, что вывих. Предложили два варианта операции: по старой методике, с наложением гипса (цена ? около 5000 р) и с применением специальной пластины от Synthes (цена ? 42000 за пластину!!). Можете подсказать преимущества и недостатки этих вариантов, и отражают ли эти цены действительность?
18.07.2007 Отвечает: Александр Николаевич Челноков: Снимков нет. Исходим из предположения, то операция действительно необходима. Вариантов операций несколько, наложение гипса никакие современные варианты не требуют. "Пластина от Synthes", видимо, подразумевается hook plate. Она есть и отечественного производства, и польская (продает "Деост"). Соответственно, значительно дешевле.
|
[
Ответить ]
|
|
Re: Вывих акромиального конца ключицы
Виталий Карелкин 06 Октябрь 2007, 12:05
|
Используем крючковидную пластину (не важно "Синтез", ДЕОСТ или Рыбинскую). Хорошие результаты. Иммобилизация косынкой на 2-3 недели. Когда на нашем рынке еще не было этих пластин - оперировали по Ли-Гольдману (заведующий из Прокопьевска). Как альтернатива - фиксация по Веберу. Но часто видел осложнения - спицы не выдерживают, ломаются. так что в отделении эту методику не применяем.
Кстати, есть еще способ с фиксацией конструкцией Ткаченко-Янчура (похож на Ли-Гольдмана).
|
[
Ответить ]
|
Re: Вывих акромиального конца ключицы
Отправитель: дмитрий бондарь 08 Октябрь 2007, 20:57
|
Вебер не держит!вырывает спицы
С уважением Д.Б.
|
[
Ответить ]
|
Re: Вывих акромиального конца ключицы
Отправитель: анатолий 09 Октябрь 2007, 19:29
|
Вебер совсем не плох, спицы не вырвет если вести без нагрузки месяц-полтора, а в 3 месяца убрать спицы, особенно если сильно ерзают под кожей.
|
[
Ответить ]
|
Re: Вывих акромиального конца ключицы
Отправитель: дмитрий бондарь 10 Октябрь 2007, 19:56
|
без нагрузки ,в смысле иммоболизация ? или гири не таскать ?
С уважением Д.Б.
|
[
Ответить ]
|
Re: Вывих акромиального конца ключицы
Отправитель: Максимов Сергей 09 Октябрь 2007, 22:34
|
Здравствуйте. Если кого интересует, могу опубликовать на форуме снимки после операции по Ли-Гольдману. Сам родом из Прокопьевска, и в прямом и в профессиональноим смысле. У метода есть одно неоспоримое преимущество (при других хороших качествах) - возможность быстрого удаления. Иногда фиксаторы удаляли в перевязочной... Сегодня удалил фиксатор в операционной, амбулаторный больной, разрез 2.0 см. Есть интерес?
С уважением, Сергей.
|
[
Ответить ]
|
Re: Вывих акромиального конца ключицы
Отправитель: Александр Жужнев 10 Октябрь 2007, 00:00
|
Уважаемый коллега,если есть что показать выкладывайте,судя по обсуждению,интересно многим.
Если метода действительно столь хороша- возьмём на вооружение.
Р.S.Кстати согласен с мнением г-на Олюнина А. не везде есть экономическая возможность пользоваться hook plate,а лечить больных надо.
Спасибо всем участникам обсуждения.
С уважением Жужнев Александр
|
[
Ответить ]
|
Re: Вывих акромиального конца ключицы
Отправитель: Андрей Волна 10 Октябрь 2007, 20:33
|
Уважаемые коллеги, замечательная тема - вывихи акромиального конца ключицы! А замечательна она тем, что нет одного универсального способа лечения. Значит, есть возможность приложить разум. И применять разные методики. Возражаю я только против одной - фиксации спицами в разных вариантах. Уж больно много приходилось видеть случаев миграции сломанных спиц. Но самый необычный случай показал как-то профессор Евгений Костив из Владивостока. В его отсутствие ординаторы фиксировали вывих спицами с петлёй. Через 2 месяца пациент пришёл на контрольный осмотр. Евгений и предлагает ему - уберём спицы, вытащим проволоку от греха подальше. А пациент и отвечает - не до вас мне теперь, кашлял, кашлял я месяц и нашли врачи у меня патологические грануляции в трахее. Взяли на гистологию, готовят к экстирпации гортани с резекцией трахеи. Рак у меня , не жилец я. Что уж там эти спицы!. Но Евгений Петрович настоял - и снимок всё же сделали. А там только одна спица из двух! А вторая - в мышцах здорового надплечья! Сломалась и мигрировала через трахею! Так когда больному об этом осложнении сказали - он руки докторам целовал! От счастья, что это не рак. Снимки зти я сам видел. И спицы в АКС не ставлю. И никому не советую. Начинал же я оперировать эти повреждения по окончанию института - в 1985 году в Кемерово Прокопьевской травматологической области. И начинал, естественно, с Ли - Гольдмана. Все описанные на этом форуме плюсы налицо. За исключением одного минуса - никогда и нигде я более не видел и не делал такого количества резекций АКС по поводу ДОА. Статистически не смотрели, но каждую неделю в ортопедии делали эти резекции. Ведь по этой методике, если мне память не изменяет, АКС пенетрируется не самым тонким стержнем. Или я ошибаюсь. По моему нет - отсюда и проблемы. Далее был этап какого-то лавсана с частым его извлечением. Затем - чрезключично-клювовидная фиксация винтом (винтами)из мини-доступа под контролем ЭОПа. Но иммобилизация здесь обязательна - минимум 3 недели. И эту операцию я делаю. Тем более, что появление hook plate не решило проблем. И не только в цене дело. Кстати, синтезовская hook plate даже в блокированной версии минимум в 2 раза дешевле, чем отражено на форуме. Да ладно, не о деньгах пациентов вопрос в принципе. С нашей точки зрения - чем крупнее, массивнее и активнее пациент - тем лучше себя ведёт этот имплантат. Наилучший функциональный результат я получил у молодого защитника сборной страны по хоккею. Через 2 месяца он уже играл. А пластину убрали только по окончанию сезона. Но вот субтильному юноше или очаровательной девушке я эту пластину ставить не буду. Слишком агрессивно для них. Обойдусь винтом. С уважением, Волна
|
[
Ответить ]
|
|
Re: Вывих акромиального конца ключицы
Paul 13 Октябрь 2007, 08:08
|
Используем комбинированную пластику:раздельную пластику ключично-акромиального и клбчичноклювовидного сочленения лавсаном и доплнительно используем клювовидноакромиальную связку. Данная техника применяется, по видимому, нечасто, но результаты неплохие: у больных с синдромом дисплазии соединительной ткани, у больнвх с тяжелым физическим трудом, при застарелых и тяжелых вывихах Tossy 4-5 (были и такие больные)
|
[
Ответить ]
|
Re: Вывих акромиального конца ключицы
Отправитель: Alexander Chelnokov 13 Октябрь 2007, 09:57
|
В случаях свежих повреждений это из пушки по воробьям. Достаточно любым закрытым способом притопить ключицу на 3-4 недели (винт, аппарат, повязка с пелотом etc), и сближенные концы связок срастаются. В застарелых - это вполне оправдано, хотя hook plate - наверно, уже более привлекательная альтернатива.
|
[
Ответить ]
|
Re: Вывих акромиального конца ключицы
Отправитель: Андрей Волна 13 Октябрь 2007, 16:24
|
Согласен с Александром Челноковым. В свежих случаях - удержание, в том числе крючковидной пластиной - у крупных пациентов В застарелых - пластика связок или (и) крючковидная пластина
|
[
Ответить ]
|
Re: Вывих акромиального конца ключицы
Отправитель: Никита Заднепровский 13 Октябрь 2007, 09:59
|
P> физическим трудом, при застарелых и тяжелых вывихах Tossy 4-5 (были
По-моему, классификация вывихов акромиального конца ключицы по Tossy подразумевает 3 степени дислокации.
|
[
Ответить ]
|
Re: Вывих акромиального конца ключицы
Отправитель: Alexander Chelnokov 13 Октябрь 2007, 10:47
|
Да, это по классификации Rockwood 6 типов.
|
[
Ответить ]
|
|
Re: Вывих акромиального конца ключицы
Абдурашид Тураев 14 Октябрь 2007, 02:43
|
Уважаемые коллеги. Почему все так возненавидили спицы, не понимаю, это же наша палочка-выручалочка во многих случаях! Если спица после остеосинтеза куда-то "уходит", то эта же наша ошибка, значит, введена неправильно и неустойчиво, конец не загнут с упором в кость и т.д. При полном вывихе (Tossy 3) в свежих случаях (2-3 дня ) А. Челноков прав, лишь бы удержать, связки срастутся . Мы после вправления фиксируем двумя толстыми спицами ( постараемся спицу провести ближе к нижнему краю акромиона ), под маленьким разрезом кожи (2см) конец спиц загибаем кверху типа крючка и чуть забиваем в акромион. Внешная фиксация в зависимости от многих факторов, косынка или гипсовая повязка Спика на 3 нед. В несвежих и застарелых случаях обязательно восстановим L. Coracoclaviculare лавсаном или камелоном, после краевой резекции сустава и фиксация двумя спицами как выше, внешняя фиксация такая же. Около 10 лет применяем, пока миграции и осложнений нет, и операция малотравматичная. Больные довольны, функция восстановлена, есть борцы и баскетболисты.
Интересно узнать, при операциях Ли-Гольдмана и при фиксации hook plate эту связку восстанавливают ли, если нет, после удаления фиксаторов ключица чем удерживается на своём месте, так как одно это сухожилие!! удерживает ключицу внизу и чуть кпереди?
С уважением Абдурашид
|
[
Ответить ]
|
Re: Вывих акромиального конца ключицы
Максимов Сергей 20 Октябрь 2007, 02:47
|

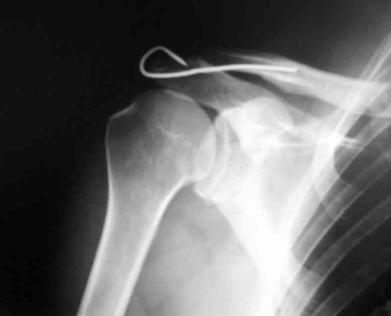
Здравствуйте.Извиняюсь за задержку. Фотографии фиксации АКС. Канал для ножки фиксатора формируется затупленным шилом, для уменьшения опасности перфорации кортикального слоя.
В некоторых клиниках активно применяли конструкции из никелида титана (с термомеханической памятью) с фиксацией за ключицу и клювовидный отросток. Сам не применял, но отзывы были хорошие а рентгенограммы красивые.
С уважением, Сергей.
|
[
Ответить ]
|
Re: Вывих акромиального конца ключицы
Отправитель: Alexander Artemiev 21 Октябрь 2007, 23:29
|
Здравствуйте, коллеги.
Я не очень внимательно следил за этой темой, но если речь идет о
новой методике, то мне кажется, что эта конструкция и способ как две
капли воды похожи на широко использовавшийся в Военно-медицинской
академии в Питере и, соответственно, во всей советской армии,
фиксатор Янчура.
С уважением Александр Артемьев
|
[
Ответить ]
|
|
Re: Вывих акромиального конца ключицы
Дима 30 Сентябрь 2010, 19:19
|
Скажите, пожалуйста, скока будет стоить операция вправления застарелого вывиха акромиального конца ключицы?
|
[
Ответить ]
|
( Ответить )
|
|