AOTRAUMA.ORG Центр Илизарова  

Ортопедия и травматология Общие вопросы/General questions Help Информационные технологии в медицине
 ВХОД ДЛЯ ПАЦИЕНТОВ
 вверх
 поиск
 админ
 главная


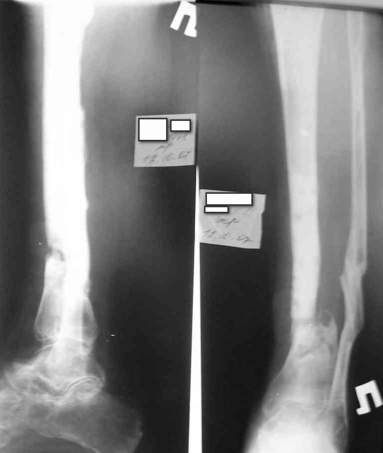
Инфицированное несращение tibia
Ортопедия и травматология Прислано Андрей Целюба 29 Октябрь 2007, 01:34
из
Дорогие коллеги, Обращаюсь за советом. Есть проблемный, в плане лечения, пациент.
Коротко анамнез: травма в 2004 г. - открытый оскольчатый перелом н/3 голени, имелась рана 4х5 см. по передне-внутренней поверхности. Заживление раны вторичным натяжением. Сращения в АВФ нет. В 2005 г. в нашей клинике произведена костная свободная аутопластика с наложением АВФ. В послеоперационном периоде некроз в области старого рубца 2х3 см., тогда же произведена кожная аутопластика на питающей ножке. Сращения в течение 6 мес. нет, аппарат снят.

В 2006 г. произведена костная аутопластика на сосудистой ножке, иммобилизация гипсовой повязкой. На данный момент признаков консолидации нет.

Периодически у пациента возникают явления дерматита на применение местно лекарственных препаратов на голени, периодически открывается точечный свищ по передней пповерхности в проекции ложного сустава с серозно-гнойным отделянмым.

Укорочение конечности на 4,5-5,0 см., растройств чувствительности нет. При ходьбе конечность нагружает практически полностью при использовании тутора и ортопедической обуви. Внешний вид и R-гр. на фото. У больного еще пока сохранился настрой на лечение.

У меня в мыслях в первую очередь удлинить конечность. В области ложного сустава вмешиваться страшно из-за плохой кожи. Какие будут мысли?

С уважением, Андрей.

Послать ответ

Имя
Email
Уведомление Сообщить мне по e-mail об ответах на это сообщение
Название
Комментарий
(Проверьте URL! Не забудьте написать http://!)
Кодировка
Если не знаете, что выбрать, выберите "Просто текст"!
Приложение
Можно приложить к сообщению файл c изображением, который затем будет доступен увидевшим сообщение.
Подготовка иллюстраций:
  • Рентгенограммы: черно-белые полутоновые изображения в формате JPEG (8 bit, greyscale) с разрешением от 300х200 до 1024х768 пикселов;
  • Клинические фотографии: полноцветные изображения в формате JPEG (24 bit, truecolor) с разрешением от 300х200 до 1024х768 пикселов;
  • Схемы и рисунки: черно-белые (2 bit) штриховые (line-art) изображения в формате GIF или compressed TIFF
  • Подберите степень сжатия файла JPEG и размер изображения таким образом, чтобы необходимые детали были различимы, но размер файла не превышал 75 кб.
  • Учтите, что текущая версия программного обеспечения Форума позволяет приложить к одному сообщению лишь один файл-вложение. Поэтому, если необходимо отправить несколько изображений, можно либо послать каждое как отдельное сообщение, либо в графическом редакторе объединить изображения в одно (сделать коллаж).
  • Если при подготовке изображений встречаются трудности, не стесняйтесь обратиться к координатору Форума.

  • Введите видимые символы в обратном порядке. Enter the above characters in reverse order (*Обязательно)
    В тексте сообщения можно использовать теги HTML <B> <I> <P> <A> <LI> <OL> <UL> <EM> <BR> <TT> <HR> <STRONG> <BLOCKQUOTE> <DIV .*> <DIV> <P .*>
  • Обратите внимание: Поля с жирными названиями обязательны.
  • Старайтесь отвечать в рамках обсуждаемой темы, а не начинать новые обсуждения.
  • Указывайте адекватную тему сообщения, чтобы было ясно, о чем оно.
  • Не послайте сообщений не по теме (оффтопик), раздраженных, грубых или обидных комментариев. Здесь это неуместно.
  • Powered by Zope  Squishdot Powered MedLink
    Посетитель: 0200402
      "По форме правильно, а по существу - издевательство" В.И.Ленин
    ©2001-2019Orthoforum Coordinator.
    [ Главная | Отправить сообщение | Поиск | Админ ]