Ответить
|
Re: Перелом пилона
Антон Андрианов 30 Октябрь 2007, 17:17
|
Уважаемый коллега.
судя по снимкам восстановление сустава в первозданном виде уже невозможно, впереди маячит артродез ГСС.Стоит ли с великим риском гнойных осложнений открывать перелом.по нашему опыту в подобных случаях лигаментотаксис позволдяет почти полностью репонировать отломки чтобы после выполнить артродез.Нескольким пациентам после 6-8 недель тракции устанавливали шарниры и мобилизовали ГСС.Кое-кто довольствуется артрозным суставом и не согласился на артродез.
|
[
Ответить ]
|
Re: Перелом пилона
Андрей А. Волна 30 Октябрь 2007, 22:57
|
Уважаемые коллеги, оперировать, мне кажется, необходимо. Восстановление суставов, в том числе и столь тяжёлых - не только суть нашей специальности, но и шанс для пациента. В данном случае - молодой женщины. Здесь не нужно ждать результатов КТ - всё понятно и так. Хотите большей ясности - сделайте Ргр без перекрывания металлом плюс добавьте 3/4. Вряд ли стоит откладывать операцию дальше, такие переломы пилона чем раньше оперируешь - тем лучше. Мне кажется, что вряд ли стоит менять классическую пошаговую этапность вмешательства. Дистрактор здесь вряд ли понадобится, кстати. 1й этап - из доступа по заднему краю н\лодыжки отрепонируйте её и фиксируйте 1/3 трубчатой пластиной. Рану не зашивайте. 2й этап. Дальше передним доступом открывайте г\ст сустав, разбирайте *мозаику суставной поверхности*, выстраивайте сустав от наружного фрагмента по тарану, как по матрице. Этот приём всегда использует Виталий Дрягин из Челябинска, признанный эксперт в хирургии этой зоны. Я у него учился. Здесь и неушитый наружный доступ может понадобиться. Суставную поверхность - её отломки - временно фиксируйте спицами и постоянно - винтами. Вот сейчас и, скорее всего, понадобится пластика. И это будет третий этап. И 4й - фиксируйте пластиной - качество кости хорошее, можно и не блокированным *листом клевера*. Есть возможность - блокированной пластиной. Сейчас полно вариантов для пилона. Под ЭОПом контролируйте каждый этап. Раны ушить не забудьте. А главное - не тяните, время уже практически ушло!. И ещё раз - КТ здесь не поможет, а запутать может. Не ждите результатов КТ, сделайте нормальные рентгенограммы и оперируйте. Спасибо. С уважением, Волна
|
[
Ответить ]
|
Re: Перелом пилона
Отправитель: Alexander Chelnokov 30 Октябрь 2007, 23:57
|
Дистрактор здесь вряд ли понадобится, кстати. 1й этап - из доступа по заднему краю н\лодыжки отрепонируйте её и фиксируйте 1/3 трубчатой пластиной.
В сентябре на конференции общества Кюнчера в Страсбурге с лекцией по переломам пилона выступал проф. D.Seligson (США). Советовал пользоваться дистрактором (начав с того, что "подкова" на стопе позволяет уберечься от пролежня на пятке). Особенно подчеркнул, что не надо начинать с малоберцовой кости, а то и зачастую вообще ее не надо синтезировать, когда после восстановления длины и формы tibia, малоберцовая оказывается в нормальных взаимоотношениях со смежными костями.
|
[
Ответить ]
|
Re: Перелом пилона
Отправитель: Alexey Semenisty 31 Октябрь 2007, 14:28
|
Нинак не могу согласиться с профессором из США, если речь идет о внутренней фиксации и о таких переломах 43-С, кагда малоберцовая кость сломана. Личный опыт и намного более богатый опыт коллег показывает, что после восстановления анатомии малоберцовой кости картина голеностопного сустава становится гораздо менее страшной. Ключевой передненаружный фрагмент пилона после репозиции м\б кости встает на место, кроме него как правило есть еще два клупных осколка: медиальная лодыжка и задний край. Между ними вдавленные фрагменты сустава. Для репозиции этих вдавленных фрагментов дистрактор и лигаментотаксис неочень помогают. К сообщению А.Волны, могу добавить, что на малоберцовую кость пластину желательно укладывать сзади, тогда ее легче укрыть мягкими тканями. Первой ушиваем вторую рану, только после этого наружную рану в области латеральной лодыжки и если кожа натягивается, то эту рану оставляем открытой (но пластина укрыта).
Безусловно, определяющим фактором в выборе метода оперативного лечения при таких повреждениях является состояние мягких тканей.
--
С уважением, А.Семенистый.
ГКБ № 13, Москва.
|
[
Ответить ]
|
Re: Перелом пилона
Отправитель: Alexander Chelnokov 04 Ноябрь 2007, 04:02
|
Дорогой Алексей
Alexey Semenisty пишет:
> Нинак не могу согласиться с профессором из США, если речь идет о
> внутренней фиксации и о таких переломах 43-С, кагда малоберцовая кость
> сломана.
Для начала, действительно, такие переломы могут быть и с целой малоберцовой костью. И чем это помогает?
> Личный опыт и намного более богатый опыт коллег показывает, что
> после восстановления анатомии малоберцовой кости картина голеностопного
> сустава становится гораздо менее страшной.
А какой конкретно личный опыт? В частности, включает ли он использование техники, о которой писал Яков Одесский? Понятно, что если сравнивать репозицию без дистрактора 1)сразу tibia, или 2)сначала fibula, а потом tibia, понятно, что второе лучше - не о таком ли опыте речь? "Более богатый опыт" такого рода не заменяет скромный опыт пусть и небольшого количества коллег, но имеющих опыт использования совсем другой техники репозиции. Напомню, этот подход поддержал в своей лекции не абы какой лихой резидент, а президент общества Кюнчера, который, очевидно, имел серьезные основания для этих рекомендаций.
> репозиции этих вдавленных фрагментов дистрактор и лигаментотаксис
> неочень помогают.
А восстановить длину малоберцовой кости с сохранением взаимоотношений наружной лодыжки и тарана - почему дистрактор не помогает? Или просто не все пробовали? И безоговорочно взяли на веру, раз это идет от АО. А там просто исторически так сложилось, что не пользовались они аппаратом Илизарова при остеосинтезе лодыжек или пилона. Вот и нету у них такого опыта.
К сообщению А.Волны, могу добавить, что на
> малоберцовую кость пластину желательно укладывать сзади, тогда ее легче
Можно добавить, что в ряде случаев после репозиции и фиксации большеберцовой кости, после удаления временных спиц из тарана и наружной лодыжки нет тенденции к ее смещению куда-либо. И вообще ее можно не фиксировать, получается.
|
[
Ответить ]
|
Re: Перелом пилона
Отправитель: Alexey Semenisty 06 Ноябрь 2007, 08:18
|
> Для начала, действительно, такие переломы могут быть и с целой
> малоберцовой костью. И чем это помогает?
Я поэтому и оговорился неслучайно : "когда малоберцовая кость сломана" Когда она изначально не сломана, это совсем не помогает, и тогда действительно помогает дистрактор.
А какой конкретно личный опыт? В частности, включает ли он использование
> техники, о которой писал Яков Одесский? Понятно, что если сравнивать
> репозицию без дистрактора 1)сразу tibia, или 2)сначала fibula, а потом
> tibia, понятно, что второе лучше - не о таком ли опыте речь?
6-8 внутренних и 2-3 аппаратных и\или комбинированных фиксаций в год за последние 6 лет. До этого 10 лет только аппаратная.
> репозиции этих вдавленных фрагментов дистрактор и лигаментотаксис
> не очень помогают.
А восстановить длину малоберцовой кости с сохранением взаимоотношений наружной лодыжки и тарана - почему дистрактор не помогает? Или просто не все пробовали?
Пробовали, помогает, но м\б кость все равно необходимо открывать и фиксировать, если предполагается фиксация б\берцовой пластиной. В свежем случае м\б легко репонируется, так зачем усложнять все дистрактором? Другое дело, если решено остановиться на аппарате... И то Я.Одесский сообщает, что в некоторых случаях пришлось ее фиксировать.
И безоговорочно взяли на веру, раз это идет от АО. А там просто исторически так сложилось, что не пользовались они аппаратом Илизарова при остеосинтезе лодыжек или пилона. Вот и нету у них такого опыта.
Да, пользовались, есть. Трудно им аппарат Илизарова понять, они вот все из-за лени что-то изобретают, а мы , чаще, от бедности...
Можно добавить, что в ряде случаев после репозиции и фиксации большеберцовой кости, после удаления временных спиц из тарана и наружной лодыжки не тенденции к ее смещению куда-либо. И вообще ее можно не фиксировать, получается.
Нельзя, получается, если о пластине на б\б идет речь, а не об аппарате, в противном случае имеется риск вторичной вальгусной деформации. Заметь,
фиксированная пластиной м\б при аппаратной фиксации б\б приводит к риску варусной деформации.
С уважением, А.Семенистый.
ГКБ № 13, Москва.
|
[
Ответить ]
|
|
Re: Перелом пилона
В.Машталов 30 Октябрь 2007, 23:40
|
Ув.коллега! С учетом степени разрушения суставных поверхностей, я бы в данном случае рассматривал возможность первичного артродеза, как максимум.
Как минимум ЧКДО и далее артродез. Думаю, что мягкие ткани тоже не в лучшем виде. Прежде чем идти на о/репозицию LCP фиксацию надо оценить возможность мякгих тканей и возможность без проблем уйти из раны, увы, в этой зоне не
всегда удается просто закрыть пластину, без риска ее последующего появления в ней в п/операционном периоде. Высокоэнергетичесие переломы пилона не
лучший объект для реконструкций, несмотря на благие намеренья сохранения сустава.
Если бы я пошел на рекострукцию
Дистрактор(ЧКДО) -да, костная пластика -да , малоинвазивная техника -да !!!
Фиксатор- винты спицы + ЧКДО, и мысли о мягких тканях!
Успехов.
с ув. В. Машталов
|
[
Ответить ]
|
Re: Перелом пилона
Отправитель: Лединников Игорь 31 Октябрь 2007, 23:32
|
Позволю себе усомниться, что в данном случае вообще удастся достичь первичный артродез без значительного укорочения конечности. Срастить таран с той "кашей", в которую превратился пилон, и сохранить при этом приемлемую длину конечности, задача, ИМХО, не менее сложная, чем рекоснтрукция. Разве что, если заместить всю эту "кашу" массивными трансплантатами. Но в этом случае ещё большой вопрос, окажется ли реконструкция в данном случае травматичнее артродеза.
Сугубо личное мнение.
С уважением
И.Лединников
|
[
Ответить ]
|
|
Re: Перелом пилона
Дмитрий Бондарь 30 Октябрь 2007, 23:42
|
Глубокоуважаемый Коваленко А.Н.! По поводу лечения подобных переломов очень хорошо излагал Яков Одесский на Форуме , аргументированно и доказательно ! Почитайте его статью по переломам пилона . И на мой взгляд не стоит открывать зону перелома , потом у Вас будут серьёзные проблемы с мягкими тканями . Вывобите отломки непрямой репозицией , возможно какие то отломки удастся прихватить винтами , а может быть и шилом ( тупым ) чрезкожно получится худо-бедно отрепонировать суставную поверхность . А затем ранние движения и .....Иншаллла , как говорят арабские друзья . Удачи !
С уважением Д.Б.
|
[
Ответить ]
|
Re: Перелом пилона
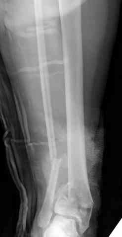
Anton Kovalenko 31 Октябрь 2007, 00:52
|
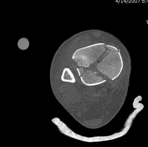
Добавлены КТ снимки. Прошу прощения за качество.

С уважением, Коваленко А.Н.
|
[
Ответить ]
|
Re: Перелом пилона
Michael Markishevich 31 Октябрь 2007, 13:37
|
Good day colleague! Iam very happy that only one surgeon recomended immediately to do operation even without CT.X-ray, that you sended,is bad quality.According to CT this is very difficult case.My opinnion in the first distraction by external fixator,prefere Ilizarov,for arrival by ligamentotaxis reduction of gross displasement,rigid fixation of lateral malleolus.
After that under C-arm rentgen you can tray reduction of other fragments open or clouse method
Condition of soft tissue is very mportant.Are you patient has ischemic changes? So ten days sometimes isn't enough,and you can get problemms with cloused operation wounds.
Good lack With regards Michael
|
[
Ответить ]
|
Re: Перелом пилона
дмитрий бондарь 31 Октябрь 2007, 21:46
|
http://www.weborto.net/forum/1167947053/index_html#1168035301
Вот тут подробное обсуждение переломов Pilon , Интересно и аргументированно !
С уважением Д.Б.
|
[
Ответить ]
|
Re: Перелом пилона
Odessky Jacob M.D. 01 Ноябрь 2007, 09:51
|
Уважаемые коллеги! Мне бы хотелось предупредить всех нас от категорических заявлений по-поводу фиксации малоберцовой кости при подобных переломов. О ранней дифинитивной фиксации подобных переломов я уже писал тут и неоднократно докладывал на международных конференциях, начиная с 2004 года. У меня даже есть статья, не помню где напечатанная в России по этому поводу. Я пытался найти её , но пока безуспешно, поэтому привожу ниже её дискуссионную часть.
Лечение взрывных переломов голеностопного, как и других внутрисуставных переломов преследует следующие цели:
1. Анатомическая редукция внутрисуставной части перелома.
2. Восстановление оси сегмента.
3. Поддержание стабильности сустава.
4. Сращение перелома.
5. Восстановление функции и безболезненной нагрузки и движений в суставе.
6. Профилактика нагноений и осложнений ран.
Решение этих задач может быть выполнено при ранней окончательной репози-ции, стабильной фиксации, ранней функции сустава и поздней нагрузки. Одной из причин отказа от ранней операции является невозможность закрытия двух операционных ран в раннем постравматическом периоде из-за тяжести оттёка мягких тканей. Поэтому решение вопроса о необходимости внутренней фиксации малоберцовой кости является ключевым, на наш взгляд.
Процесс лечения переломов типа pilon по методу Илизарова фундаментально отличается от классического в стратегии репозиции. Восстановление длины и оси сегмента не достигается с помощью репозиции малоберцовой кости, а благодаря растяжению между проксимальной и дистальной опорами аппарата. Начало операции с внутренней фиксацией малоберцовой кости может осложнить возможность закрытой редукции внутрисуставного компонента перелома большеберцовой кости с помощью лигаментотаксиса. Я считаю, что фиксация малоберцовой кости должна проводиться только при наложенном аппарате, когда эта процедура улучшает стояние передне-латерального или задне-латерального фрагментов плафона большеберцовой кости и позволяет избежать необходимость открывать внутрисуставной перелом. В большинстве случаев совсем необязательно открывать перелом малоберцовой кости, достаточно проведение спицы через наружню лодыжку и большеберцовую кость, которая стабилизирует дистальную часть малоберцовой кости и часть плафона, соединённого с ней с помощию синдесмоза.
Восстановление длины малоберцовой кости противопаказано, на наш взгляд, когда имеется потеря костной ткани метадиафизарной части перелома больше-берцовой кости, так как может привести к диастазу между её фрагментами. И вторым противопоказанием для открытой репозиции малоберцовой кости, является необходимость открытого вмешательства на переломе большеберцо-вой кости. Такая тактика при которой нет необходимости в 2-х оперативных доступах, позволяет провести окончательную репозицию в ранний срок после травмы, без боязни остаться с незакрытой раной.
Функциональная нагрузка на оперированную конечность, движения в голеностопном суставе и укрепление травмированной конечности - существенные элементы, стимулирующие заживления переломов при лечении по методу Илизарова. Аксиальная компрессия перелома, передающаяся через спицы во время нагрузки, стимулирует процесс сращения, снижает сроки фиксации в аппарате. У пациентов, начавших раннюю реабилитацию, быстрее уменьшается оттёк, ускоряется сращение, имеется больший обьём движения в голеностопном суставе.
Наряду с достоинствами, мне бы хотелось отметить и недостатки, связанные с аппаратом Илизарова, главные из которых связаны с прохождением спиц через мягкие ткани и связю между внутренней и наружной средой, что определяет наличие инфекционных осложнений и зависимость от индивидуальной переносимости пациентов, а также требует более пристального наблюдения со стороны лечебного персонала.
С уважением!
|
[
Ответить ]
|
Re: Перелом пилона
Djoldas Kuldjanov 01 Ноябрь 2007, 22:04
|
Яков изложил все необходимые аспекты лечения переломов пилона, и, не желая менять тему, решил выставить нашу точку зрения в двух клинических примерах.
При лечении внутрисуставных переломов типа "Pilon"
или "Tibial Plateau" на голени, применение простых
наружных фиксаторов типа "Spanning ExFix" или "Travelling ExFix" стал одним из стандартом этапного лечения.
В первые часы после поступления больным экстренно накладывается простой фиксатор из двух поперечно проведенных стержней или сооружается "Delta
Frame" в зависимости от места локализации, и проводится дистракция.
Преимуществ у временного фиксатора много, во первых больной независим, если по другим показаниям нет необходимости находиться в стационаре, то больной может быть выписан домой с возможностью в амбулаторных условиях оценивать состояния мягких ткани на готовность к операции.
Наружным фиксатором обеспечивается длина конечности, предупреждается вторичное сокращение мягких ткани, что является немаловажным фактором для заживления послеоперационных ран. Без фиксатора сокращенные мягкие ткани легко травмируется во время манипуляций, трудно будет провести репозицию, ухудшается местное кровообращение и сохраняется посттравматический отек.
Дистрагированные лигаментотаксисом костные фрагменты иногда организуются в нужном направлении и во время операции облегчается репозиция отломков.
Дополнительные ренгенограммы после дистракции и
обязательная комьютерная томография дают возможности разузнать топографию расположения фрагментов, что немаловажно для планирования хирургического доступа.
По апексу фрагмента ориентируется при планировании
фиксации, также предоперационно определяется
направление фиксирующего материала: шурупа или спицы с упорной площадкой.
Много споров когда оперировать, что лучше, операция срочная или запоздалая-поэтапная?
Еще в 1995 году мы провели исследование, где проводили анализ насыщения кислородом кожи при травмах в нижних отделах конечности.
В результате, в первые 6 часов после травмы насыщение кислородом в ткани оставалось без изменения, но после 6 часов драматически стало падать.
Пик падении в 80% насыщения кислородом сравнительно с другой стороны достигло на шестой день.
Показатель готовности к операции считается когда
“wrinkle probe” на конечности положительная, то есть образования морщинок на коже конечности между двумя пальцами доказывает отсутствия отека, иначе первично невозможно закрыть рану.
Открыто или закрыто - это уже зависит от опыта и
наличия материала. Минимальным аппаратом Илизарова или одним из Contoured Medial или Antero-Lateral Locking Plate из лимитирванного доступа не имеет значения, но самое главное необходимо добиться репозиции сустава.
Первичная пластина или интрамедуллярный фиксатор на малоберцовую зависит от характера перелома, косые и многооскольчатые пластинами, а поперечных можно интрамедуллярными фиксаторами. Восстановленная длина малоберцовой служит ориентиром и помогает определению высоты большеберцовой во время восстановления.
Переломы пилона сопровождаются ударом со сминанием в метафизарной части большеберцовой, то есть со значительной потерей костного объема.
При репозиции суставных поверхностей образуются полости в метафизарных отделах, без заполнения их
структуральными элементами невозможно предохраниться от посттравматической деформации. Латеральная колонна удерживается малоберцовой поэтому голень деформируется в варус.
Аутокость является самым надежным материалом, но при желании можно применить синтетический заполнитель Osteoset Pallets - структуральный материал, по аннотации материал через определенное время интегрируется в кость.
Здесь выставлена пара случаев перелома пилона, оба
случая леченные этапным наружным фиксатором.
Второй случай фиксирован аппаратом Илизарова.
Djoldas Kuldjanov, MD
Department of Orthopedic Surgery
St. Louis University Medical Center
|
[
Ответить ]
|
Re: Перелом пилона
Отправитель: Владимир Бахарев 02 Ноябрь 2007, 07:33
|
Джодьдас! Большое Вам спасибо За такие выступления
на форуме!Разговаривайте с нами по возможности чаще!
С Уважением.
|
[
Ответить ]
|
Re: Перелом пилона
Отправитель: Odessky Jacob M.D 03 Ноябрь 2007, 14:35
|
Дорогой Джолдас, Уважаемые коллеги!
Мой опыт показывает, что переломы пилона можно и необходимо фиксировать дефинитивно в остром периоде, как и все другие внутрисуставные переломы.
Я нашёл стстью, опубликованную в 2004 году в материалах Международной Научной Конференции "Медико-биологические и Экологические Проблемы Здоровья Человека на Севере" 11-13ноября 2004.
<Файл pdf, 415 Kb>
К сожалению, формат публикации ограничивал иллюстративный материал, поэтому в комбинации с уже известным Вам постером с конференции АСАМИ в Киото в 2006 году может быть достаточна для полного описания моей позиции по поводу данной патологии.
С уважением.
|
[
Ответить ]
|
|
Re: Перелом пилона
Коваленко А.Н. 04 Ноябрь 2007, 00:24
|

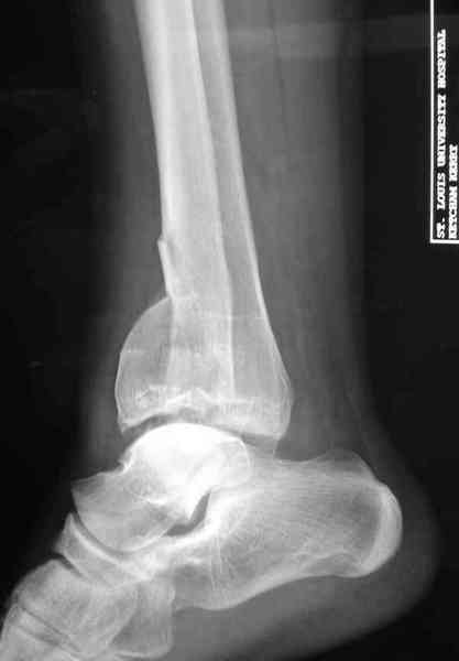
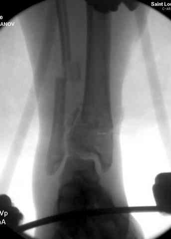
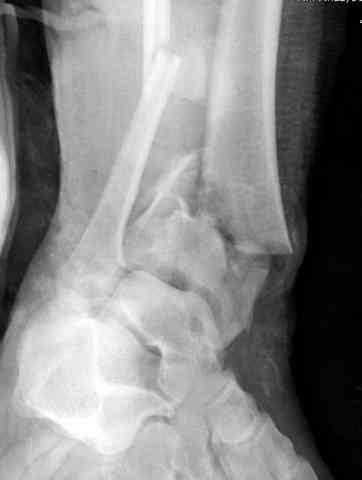
Снова приветствую вас, коллеги. К моменту вступления в обсуждение аксакалов, операция была, увы, выполнена(31.10.07.) Начали с доступа к наружной лодыжке, произвели ее фиксацию спицами, развернули кусок заднего края, наложили дистрактор, затем произвели дистракцию, фиксацию спицами дистального эпиметафиза б/бк,Рентгено-контроль. синтез наружной лодыжки 1/3пластиной. из двух коротких разрезов сформирован канал под медиальную тибиальную пластину LCP. Края ран ушиты без натяжения. Прочувствовать жесткость фиксации винтами с угловой стабильностью не удалось, поэтому дистрактор оставлен на энное время.
На представленных R-снимках не окончательный вид после остеосинтеза. Дистальная опора давила на стопу, пришлось ее сместить проксимально, в рез-те чего, она закрыла щель сустава, последние снимки не информативны.
На 3 день после операции развился значительный отек стопы,гиперемия краев раны в области наружной лодыжки, и похоже формируется некроз краев раны в области внутренней ложыдки.
Теперь появились новые вопросы.
1. Сколько времени продолжать антибиотикопрофилаткику если отек и гиперемия ран будет сохраняться и далее или теперь это уже называется лечение ранних инфекционных осложнений?
2. Есть ли теперь польза от дистрактора, если да,то сколько его держать?
3. Обеспечить ли медиальная пластина профилактику варусной деформации, о которой говорил др.Кульджанов, или пластика неизбежна?
4. Как бороться с отеком? Назначено магнит, массаж правого бедра, ЛФК, детралекс, клексан. Что нужно доабвить/или убрать/,чтобы получить эффект.
Спасибо.
С уважением, Коваленко А.Н.
|
[
Ответить ]
|
Re: Перелом пилона
Отправитель: Odessky Jacob M.D. 04 Ноябрь 2007, 01:58
|
Уважаемый доктор Коваленко!
Причина нарастающего отёка скорее всего нестабильная фиксация,либо начинающая инфекция.
У меня вопрос. Почему проксимальный фрагмент с медиально стороны фиксированк плате всего одним болтом.
Имея такую хорошую интраоперационную редукцию,можно было ограничиться только наложением аппарата Илизарова.
Я бы сейчас продолжал наблюдение, постельный режим, атибиотики, не снимать аппарат.
С уважением!
|
[
Ответить ]
|
Re: Перелом пилона
Отправитель: Alexander Chelnokov 04 Ноябрь 2007, 03:27
|
Приветствую,
> наружной лодыжке, произвели ее фиксацию спицами, развернули кусок
> заднего края, наложили дистрактор, затем произвели дистракцию,
Логичнее сразу накладывать дистрактор. Часто до манипуляций наружная лодыжка с тараном находится в правильных взаимоотношениях. Поэтому достаточно ее пришпилить к тарану до дистракции 1-2 спицами, и она останется там, где надо. И не всегда ее даже потом и фиксировать нужно, вполне может после фиксации большеберцовой кости удерживаться связками.
Вот и проф. Seligson примерно это же недавно говорил, и вызвал сочувственный отклик в моей душе. В наших краях пока в основном имеет хождение догма, которую озвучил Алексей Семенистый.
> синтез наружной лодыжки 1/3пластиной.
Нижний винт, похоже, длинноват.
> Прочувствовать жесткость фиксации винтами с угловой стабильностью не
> удалось, поэтому дистрактор оставлен на энное время.
Дистальные винты как-то чуть не все идут не в дистальные отломки, а в зону перелома. И действительно, присоединяюсь к вопросу Якова - в диафизе так и оставили 1 винт?
> 1. Сколько времени продолжать антибиотикопрофилаткику если отек и
> гиперемия ран будет сохраняться и далее или теперь это уже называется
Антибиотикопрофилактика - 1-2 г цефазолина внутривенно за полчаса до разреза. Продление антибиотиков дольше 1 суток не снижает риск нагноения. Но способствует выводу антибиотикоустойчивой флоры. Я бы их и не продолжал, а в первую очередь полагался бы на местные меры. И даже при развитии нагноения системные антибиотики не самое нужное.
> 2. Есть ли теперь польза от дистрактора, если да,то сколько его держать?
Антон, сам же пишешь, что пластина не обеспечивает фиксацию. Так что тут аппарат пригодится недель на 6, а то и на 8.
> 3. Обеспечить ли медиальная пластина профилактику варусной деформации, о
> которой говорил др.Кульджанов, или пластика неизбежна?
В аппарате опасаться нечего, а дальше - будет видно. Может, с учетом неполного скелетирования, так будет срастаться. Снимки в 4 и 8 недель покажут динамику.
> 4. Как бороться с отеком? Назначено магнит, массаж правого бедра, ЛФК,
> детралекс, клексан. Что нужно доабвить/или убрать/,чтобы получить эффект.
Все перечисленное - полное муму, извини. Клексан, вернее, нужен - но для другого, профилактика тромбоэмболии. Остальное - имитация бурной деятельности. Детралекс - в его инструкции есть что-то про травмы? Какие еще магниты или массаж в 2007 г? А что за ЛФК обладает таким специфическим эффектом?
Отеки спадают со временем у всех, так что легко принять естественное течение за эффект от всех этих шаманских плясок с бубном.
Сейчас - возвышенное положение, а более результативное - сделать послабляющие насечки. Только нормально, на всю толщину кожи, по 1 см, чтобы было видно, как они расходятся. Компартмент синдром не пропустите.
Удачи!
|
[
Ответить ]
|
Re: Перелом пилона
Отправитель: Anton Kovalenko 05 Ноябрь 2007, 12:57
|
Приветствую, Александр Николаевич!
> Логичнее сразу накладывать дистрактор......
> Вот и проф. Seligson примерно это же недавно говорил, и вызвал
> сочувственный отклик в моей душе. В наших краях пока в основном имеет
> хождение догма, которую озвучил Алексей Семенистый.
Логика в этой догме, по-моему, тоже есть. Вы становитесь на другую сторону баррикады, а "истина где-то рядом". Поход нужен дифференцированный. При оскольчатых переломах малоберцовой догма не сработает, по-скольку собрать м/бк в первозданном виде не представится возможным. В нашем случае м/бк восстановлению подлежала вполне, но(!) помня о ваших словах мы фиксировали ее сначала временно. Что нам это дало: восстановление длины сегмена, определенную коррекцию ротационных смещений. У нас нет ЭОПа(на всякий случай напоминаю), в случае перерастяжения пришлось бы гонять дистрактор (и рентген-лаборантку) туда-обратно с сопровождением R контроля
> Нижний винт, похоже, длинноват.
Согласен, но пока лезть туда не хочется.
> > Прочувствовать жесткость фиксации винтами с угловой стабильностью не
> > удалось, поэтому дистрактор оставлен на энное время.
> Дистальные винты как-то чуть не все идут не в дистальные отломки, а в
> зону перелома. И действительно, присоединяюсь к вопросу Якова - в
> диафизе так и оставили 1 винт?
Вроде такими же чОрными буквами писал, что вид синтеза не окончательный. Туда добавлен винт с угл. стаб. в проксимальное отверстие.
Сделаю номальные снимки - сразу выложу.
> Продление антибиотиков дольше 1 суток не снижает риск
> нагноения. Но способствует выводу антибиотикоустойчивой флоры.
Можно последнее предложение по-подробнее разъяснить?
> Я бы их ине продолжал, а в первую очередь полагался бы на местные меры.
Какие именно - насечки, дренирование ран, перевязки, что еще?
> И даже при развитии нагноения системные антибиотики не самое нужное.
Что самое нужное?
> Антон, сам же пишешь, что пластина не обеспечивает фиксацию.
Я вот что писал:
> > Прочувствовать жесткость фиксации винтами с угловой стабильностью не
> > удалось, поэтому дистрактор оставлен на энное время.
Попробую выразиться яснее. Когда производится фиксация обычными пластинами и винтами стабильность опеределяется ощущением усилия закручивания последнего участка резьбы винта в кость. Если винт прокруичивается - жесткая фиксация не удалась. В пластине с угловой стабильностью почувствовать это ощущение невозможно. Отсюда вопрос: как оценить стабильность фиксации? Возможный ответ - снять дистрактор, пассивные движения и последующий R контроль.
> Все перечисленное - полное муму, извини. Клексан, вернее, нужен - но для другого, профилактика тромбоэмболии.
Выходит клексан назначают только для профилактики ТЭЛА, а сам по-себе тромбоз вен не опасен, лишь бы тромб не улетел в легкие, ну и пусть затруднения венозного оттока усиливаю отек и не благоприятствуют заживлению. Думаю нет необходимости рассматривать здесь патогенез отека тканей травматического происхождения? Клесан назначен не для борьбы с отеком, а для профилактики его прогрессирования в том числе. По крайней мере , я так думал раньше.
>Остальное - имитация бурной
> деятельности. Детралекс - в его инструкции есть что-то про травмы?
Фармакологические свойства:
Детралекс является венотоником (повышает венозный тонус) и сосудопротектором (повышает резистентность маленьких кровеносных сосудов).
Показания к применению:
Рекомендуется для лечения расстройств венозной циркуляции (отеки ног, боль, тяжесть в ногах), а также для лечения острого и хронического геморроя.
По-моему, у нас обсуждается отек ноги.
>Какие еще магниты или массаж в 2007 г?
Про магнит не знаю, не видел работ ни за, ни против, кроме учебника по физиотерапии советских времен. Кто назначал говорят, что помогает, да и в истории надо запись оставить, что искренне боролся с нарастающим отеком.
Про массаж могу сказать, что когда-то был "сертифицированным специалистом". Что помню из курса обучения - массаж проксимального сегмента конечности вызывает вазодилатацию сосудов и отток венозной крови из дистального сегмента. Если это неправда, придется потребовать деньги за обучение назад.
К сожалению, в одиночку не все можно проверить двойными, слепыми, многоцентровыми, рандомизированными, активноконтролируемыми исследованиями с параллельными группами.
> А что за ЛФК обладает таким специфическим эффектом?
Ничего из перечиленного не обладает специфическим эффектом.
> Отеки спадают со временем у всех, так что легко принять естественное
> течение за эффект от всех этих шаманских плясок с бубном.
Бубен просто необходим для больных и врачей. Так всем спокойней.
> чтобы было видно, как они расходятся. Компартмент синдром не пропустите.
Учтем.
> Удачи!
Спасибо, Александр Николаевич.
|
[
Ответить ]
|
Re: Перелом пилона
Отправитель: Alexey Semenisty 06 Ноябрь 2007, 08:22
|
Это и та (другая точка зрения) - не догмы, а разные принципы. Цель одна, но пути ее достижения и задачи, которые для этого необходимо решить - разные.
Путь, который выбирает хирург при лечении таких повреждений, должен зависит не только от состояния мягких тканей и времени с момента травмы, но, безусловно, от опыта своего и всей бригады и технического оснащения....
Так вот, о догмах\принципах. И там, и там, и везде есть плюсы и минусы.
Идеально, когда хирург владеет и технологией внутренней фиксации и наружной по Илизарову. Но при лечении пилона во время операции нужно следовать одному из принципов, а не поочередно: сначала так, потом по-другому, потом опять аппарат..
> > Прочувствовать жесткость фиксации винтами с угловой стабильностью не
> > > удалось, поэтому дистрактор оставлен на энное время.
> > Дистальные винты как-то чуть не все идут не в дистальные отломки, а в
> > зону перелома.
Мне тоже кажется, что имея в дистальном отломке один блокированный винт (в медиальной лодыжке), а остальные в зоне дефекта, где должна была бы быть костная пластика, стабильности ждать не приходится.
С уважением, А.Семенистый.
> ГКБ № 13, Москва.
|
[
Ответить ]
|
Re: Перелом пилона
Отправитель: Alexander Chelnokov 06 Ноябрь 2007, 08:28
|
КА> Логика в этой догме, по-моему, тоже есть. Вы становитесь на
КА> другую сторону баррикады, а "истина где-то рядом". Поход нужен
КА> дифференцированный.
Если используешь спицевой дистрактор - то малоберцовую даже фиксировать вообще не всегда даже придется. Если не используешь - тогда восстанавливай длину малоберцовой и фиксируй ее. Вот и весь дифференцированный подход.
КА> подлежала вполне, но(!) помня о ваших словах мы фиксировали ее
КА> сначала временно.
Молодцы, но, помоему, можно было наружную лодыжку прихватить временно спицей к тарану.
КА> всякий случай напоминаю), в случае перерастяжения пришлось бы
КА> гонять дистрактор (и рентген-лаборантку)туда-обратно с
КА> сопровождением R контроля
Да и ничего страшного. Перерастяжение не мешало бы делать репозицию и большеберцовой по тарану. Потом бы сбросили длину.
>> нагноения. Но способствует выводу антибиотикоустойчивой флоры.
КА> Можно последнее предложение по-подробнее разъяснить?
В смысле? Что антибиотики способствуют селекции устойчивых к ним штаммов? можно поискать по "антибиотикорезистентность", или вот http://www.medscape.com/viewarticle/427037
>> Я бы их ине продолжал, а в первую очередь полагался бы на местные меры.
КА> Какие именно - насечки, дренирование ран, перевязки, что еще?
Снятие натяжения кожи в первую очереь - насечки, снятие швов.
>> И даже при развитии нагноения системные антибиотики не самое нужное.
КА> Что самое нужное?
Механическое удаление субстрата. Иссекать, дренировать, мыть.
КА> пластинами и винтами стабильность опеределяется ощущением усилия
Гм. только на такие ощущения вряд ли стоит ориентриоваться.
КА> Если винт прокруичивается - жесткая фиксация не удалась.
Можно его и не оставлять в этом отверстии.
КА> Отсюда вопрос: как оценить стабильность фиксации? Возможный ответ
КА> - снять дистрактор, пассивные движения и последующий R контроль.
Можно на операции и напрямую оценить, без аппарата покачать, посмотреть глазом или ЭОП. Ну и косвенно, по снимку - учитывая, что все дистальные винты в зоне перелома, стабильность до какого-то хоть сращения обеспечивает только аппарат.
КА> Выходит клексан назначают только для профилактики ТЭЛА, а сам
КА> по-себе тромбоз вен не опасен, лишь бы тромб не улетел в легкие,
Улет в легкие - это крайний случай, который наиболее значим клинически. Антикоагулянты - это профилактика всех тромбоэмболических осложнений, от мелких периферических тромбозов до смертельных эмболий.
КА> ну и пусть затруднения венозного оттока усиливаю отек и не
КА> благоприятствуют заживлению.
Отек после травматичных операций будет значительный, несмотря на любой клексан. Это отек не венозного происхождения.
КА> Думаю нет необходимости рассматривать здесь патогенез отека
КА> тканей травматического происхождения?
Есть смысл рассмотреть в первую очередь не умозрительную логичность назначения чего-либо сообразно патогенезу, а результаты проверки этих предположений, факты, доказательства пользы препаратов, предполагаемых к использованию, в целевой ситуации, т.е. после операций по поводу
переломов.
КА> Клесан назначен не для борьбы с отеком, а для профилактики его
КА> прогрессирования в том числе. По крайней мере , я так думал раньше.
Это типа тоста "Ну, за борьбу с отеком!". Отек тут не обусловлен нарушением венозного оттока. И клексан - в первую очередь мера профилактики тромбоэмболических осложнений. Если бы мы видели драматические различия выраженности отека после однотипных операций в зависимости от клексана - он бы давно так и позиционировался.
КА> Детралекс является венотоником (повышает венозный тонус) и
КА> сосудопротектором (повышает резистентность маленьких кровеносных сосудов).
КА> Показания к применению:
КА> Рекомендуется для лечения расстройств венозной циркуляции (отеки
КА> ног, боль, тяжесть в ногах), а также для лечения острого и хронического геморроя.
КА> По-моему, у нас обсуждается отек ноги.
У пациента нет расстройств венозной циркуляции, это отек другого происхождения. Как видно, про травматические и послеопрационные отеки ничего не сказано. А стоило бы перед назначение убедиться, что кем-то доказана польза этого препарата после аналогичных операций.
>>Какие еще магниты или массаж в 2007 г?
КА> Про магнит не знаю, не видел работ ни за, ни против, кроме
КА> учебника по физиотерапии советских времен.
Работы "за" были, но качество исследований низкое. В развитых странах подобие нашей магнитотерапии не применяется. Серьезных доказательств ее пользы нет.
КА> Кто назначал говорят, что помогает,
А как же, даже до сюда достает, у наших больных отек спадает, хотя мы тут давно не назначаем ее.
КА> да и в истории надо запись оставить, что искренне боролся с
КА> нарастающим отеком.
Вот и надо написать про насечки, или снятие швов. А то и фото сделать до и после.
КА> сегмента конечности вызывает вазодилатацию сосудов и отток
КА> венозной крови из дистального сегмента. Если это неправда,
КА> придется потребовать деньги за обучение назад.
"Отток венозной крови из дистального сегмента" обусловлен обычным функционированием кровеносной системы, а не массажем или бубном.
КА> К сожалению, в одиночку не все можно проверить двойными, слепыми,
В задачи врача не входит проверка чего-либо перечисленными исследованиями. Ему всего-то надо использовать те методики, про которые опубликованы результаты уже проведенных этих самых испытаний.
Если нет таких данных, то и не надо использовать воздействие, не имеющее подвтерждения пользы.
>> А что за ЛФК обладает таким специфическим эффектом?
КА> Ничего из перечиленного не обладает специфическим эффектом.
Соответственно, нет оснований это использовать.
>> течение за эффект от всех этих шаманских плясок с бубном.
КА> Бубен просто необходим для больных и врачей. Так всем спокойней.
Не уверен, что это хорошо. Как раз, может, правильнее разволноваться, чтобы предпринять какие-то реальные действия. А не успокаиваться, назначив список мифических процедур и лекарств, для которых нет доказательств, что они и впрямь помогают в сложившейся ситуации.
|
[
Ответить ]
|
|
Re: Перелом пилона
Dmitry Bondar 04 Ноябрь 2007, 03:00
|
Доброго времени суток!Таран похоже ушёл кнаружи . Что касается раны ,я бы снял частично швы , чтобы уменьшить натяжение тканей . Рану закрыл бы повязками с "Левомиколем"(как то был подобный случай,но я всунул Т-пластину на перелом пилона , и имел подобные проблемы,увы!)Антибиотики дня 3-7,по ситуации,хотя и доказана равная эффективность коротких и продлённых курсов , но имея открытую рану(после частичного снятия швов) ,лучше застраховаться от вторичной инфекции . К дистрактору стоит добавить модуль для переднего отдела стопы ,получится "сапог".А проблемы возникли,на мой взгляд,потому что многовато железа поставили (сам такой был, :((( ,увы и ах )
По поводу отёка: на Украине появился "вiдчизняный" препарат L-лизин эсцинат.Использую 2 года , отёки снимает хорошо (но рандомизированных исследований не встречал)Детралекс-медленно действующий препарат, а клексан...даже не знаю есть ли смысл его назначать в Вашей ситуации...
С уважением Д.Б.
|
[
Ответить ]
|
Re: Перелом пилона
Отправитель: Виктор 04 Ноябрь 2007, 17:39
|
Уважаемый Коваленко А.Н. Последний месяц у меня было три операции на голеностопном суставе с похожим послеоперационным течением. Обошлось без нагноения.
1. Если на третий день после операции появился и усиливается отек - причина в ране, нагноение гематомы. После столь травматичной операции, следовало бы производить активную аспирацию в течение 2-3 дней или хотя бы дренировать раны. В настоящее время, я бы, терять уже нечего, прошел желобоватым зондом в зону перелома и выпустил гематому. Обычно - достаточно, если сделаете вовремя.
2. Второе. Следует обязательно усилить фиксацию: спицы через передний отдел стопы и пяточную кость, вторая спица через проксимальное кольцо и 1-2 стержня в проксимальный отломок б/б кости. Сроки фиксации до 8 недель. Аппаратом можно устранить, кажется, появившийся вальгус. В подобных ситуациях лучше ведут себя стержни, которыми можно сопоставить и сдавить лодыжки и задний край б/б кости. Привожу случай восстановления голеностопного сустава спустя 2,5 мес.(этап лечения) после травмы со стержнями.
3. Дистальную опору можно было бы взять в виде ¾ кольца или двух разноуровневых полуколец, соединенных небольшими стяжными стержнями. ¾ кольца - не давят на стопу, а разноуровневые полукольца «обходят» сустав. Одно снизу, другое сверху.
4. Антибиотики не менее 5 дней, и это уже лечение, затем если остаются признаки раневой инфекции (температура, СОЭ, L, отек) смена антибиотиков.
5. О клексане. 28 лет, дистальный отдел конечности - максимум 3 дня с переходом на непрямые антикоагулянты под контролем длительности кровотечения и протромбинового индекса.
6. На голень - УФО, субэритемные дозы. Обязательно. Помогает.
Поспешите. Все обойдется. Виктор.
Р-снимки.doc
417KB (427520 bytes)
|
[
Ответить ]
|
|
Re: Перелом пилона
Абдурашид Тураев 04 Ноябрь 2007, 17:04
|
Честно признаться тяжело на душе после такой операции,-было всё хорошо после первоначальной дистракции, хорошая редукция отломков, после остеосинтеза пластинами появилась подвывых стопы кнаружу, от пластини LCP никакой толку-дистальные винты в зоне излома и дистальный отломок не охвачен, проксимально всего один винт, дистальные винты из м/б кости проходят сквоз сустава и упирается в таранку, стопа в эквинусном положении.Если даже всё обойдется, этот сустав нормально не будет работат.
Моё мнение, раз угроза воспаления и некроза срочно убрать малоинвазивным методом оба пластины, укреплять дистракционную систему спицами,охватить стопу и держать на дистракции, послабляюшие разрезы и повесить ногу "под потолок".
С уважением Абдурашид.
|
[
Ответить ]
|
Re: Перелом пилона
Андрей Волна 04 Ноябрь 2007, 18:19
|
Молодец! Хорошее решение для такого перелома и таких мягких тканей.
При таком соотношении наружный\внутренний фиксатор последний надо оставлять. Недель на 6, наверное.
Согласен, всякое физио и прочее - от лукавого. Не пропустите время послабляющих насечек, это часто лучше, чем распускать швы. Бог даст, раны заживут и потом вверху пару блокированных винтов из минидоступа добавите - перед снятием АВФ. Так как Вы выполнили остеосинтез м\б кости - создали наружную опору - шанс избежать деформации есть. Молодец! С уважением. Волна
|
[
Ответить ]
|
Re: Перелом пилона
Kuryschev 05 Ноябрь 2007, 03:50
|
И вправду. В аппарате - практически идеальная для данного случая репозиция (браво!). Пластинка только помешала( в плане возможных осложений), так как не добавит стабильности после снятия наружного фиксатора, (что не скоро будет). Спицы в аппарате, пожалуй, только добавят проблем с дальнейшим лечением (проксимально - я - за стержни). Вполне приемлимо бы было, добившись репозиции в дистракторе, провести спицы с упорными под ЭОП, срепонировать отломки и оставить как есть. А вероятный артродез произвесть в аппарате потом.
Хорошо, конечно, советовать задним числом.
Божьей помощи Вам и терпения!Спасибо за качественные снимки и подробное описание этапов лечения!
|
[
Ответить ]
|
Re: Перелом пилона
Alexander Artemiev 06 Ноябрь 2007, 02:32
|
Здравствуйте, дорогие коллеги.
Я не со всеми участниками дискуссии знаком близко, но мне кажется (по ряду вопросов и комментариев), что коллектив авторов, который представляет Антон Коваленко, находится на начальном этапе освоения
методики как внутреннего, так и внешнего остеосинтеза подобных повреждений.
Мнения комментаторов разделились радикально с одинаковой обоснованностью мнений, к которым оппоненты всё равно особо не прислушиваются.
Я на 90% разделяю общую концепцию, которую обосновывает и продвигает Яков Одесский (10% касаются деталей техники операции, которые заочно
всё равно не обсудить).
Что касается данного случая, то действительно был смысл начать с дистракции, на ней же (возможно) и остановиться. Ну в крайнем случае - на этапе представленных промежуточных снимков.
Диагностическая ценность таких методов, как КТ и ЭОП-ия в данном случае не очень высока.
КТ - лишь помогает планированию операции, на операционном же столе уже всё меняется и приходится ориентироваться на данные интраоперационных исследований.
ЭОП - вообще в данной ситуации лишь вводит в заблуждение из-за сильных искажений. Даже при наличии этого прибора я приглашаю лаборанток в
операционную.
Лишний вызов лаборантки - ничто по сравнению с теми проблемами, которые возникнут при недиагностированном смещении, жестко фиксированном погружными конструкциями.
Использование внешнего остеосинтеза вообще и в таких случаях в частности выходит далеко за рамки собственно наложения аппарата.
Это динамичная система, позволяющая производить манипуляции (иногда запланированно) в процесс фиксации, не ограничиваясь собственно операцией.
Предоперационное планирование, учет временнОго фактора, коррекция в процессе лечения и ряд других позиций собственно и составляют понятие медицинской технологии. Использование одного из элементов вне всего комплекса скорее всего лишь скомпрометирует метод.
Высказав свое мнение по данному случаю, я бы не стал ни осуждать, ни нахваливать операторов, поскольку необходима оценка отдаленных результатов.
Скорее всего, даже при самой идеальной репозиции любым методом динамика состояния сустава будет следующей:
1 год - реабилитация, постепенное улучшение состояния
2 год - плато на уровне артроза 2-3 стадии с удовлетворительной
функцией
3-4 год - фиброзный анкилоз с мыслями обартродезе.
Первичного артродеза лучше избегать. Пусть клиент созреет. Иначе будут упреки типа "хулиганы лишили сустава"...
Однако сейчас необходимо выйти из острого периода с минимальными проблемами.
Для этого не стоит делать резких движений в виде удаления каких-либо фиксаторов. На сегодняшний день это будет дополнительной травмой.
Необходимо:
- сохранение внешней фиксации, возвышенное положение конечности;
- инфузионная терапия + антибиотики + антикоагулянты
- возможно снятие швов (пусть даже пластина будет выстоять в рану).
Признаюсь честно, много есть что сказать (и услышать) по этому поводу,
но скорее всего заочное общение, даже самое иллюстрированное, будет
неэффективным.
Предлагаю не расплескаь мысли и доводы и продолжить дискуссию в Питере
на конференции по стопе и голеностопу. От прошлой конференции осталось
самое яркое и приятное впечатление.
С уважением Александр Артемьев
|
[
Ответить ]
|
Re: Перелом пилона
Отправитель: Odessky Jacob M.D. 07 Ноябрь 2007, 19:30
|
Уважаемые коллеги!
У нас получилась неплохая дискуссия. Жаль, что наша переписка идёт только на русском языке. Я предлагаю впредь темы, которые до сих пор не имеют решения, дискутировать и на англицком языке. Думаю, что дискутируя только на русском, мы лишаем себя возможности узнать мнение и опыт наших нерусскоговорящих коллег.
С уважением
|
[
Ответить ]
|
Re: Перелом пилона
Отправитель: Андрей Волна 10 Ноябрь 2007, 22:16
|
Да в том то и проблема, уважаемый Яков, не говорят наши коллеги на европейских языках. Да, сделать это правилом можно, но мы потеряем большую часть тех, для кого работает этот сайт. Стремиться нужно, но пока это нереально. Андрей Волна
|
[
Ответить ]
|
Re: Перелом пилона
Отправитель: Odessky Jacob 11 Ноябрь 2007, 02:49
|
Уважаемый Андрей, Я не предлагал вести дискуссию на английском, я предлагал только презентацию писать по-русски и по-английски. Те, кто могут писать на двух языках, могут это делать, те, кто нет, должны стремиться к этому.
С уважением!
|
[
Ответить ]
|
Re: Перелом пилона
Отправитель: Андрей Волна 11 Ноябрь 2007, 19:40
|
В таком контексте полностью согласен.
|
[
Ответить ]
|
|
( Ответить )
|
|