вверх
отправить
поиск
админ
главная
|
Дефект большеберцовой кости - что делать? Ваше мнение |
 |
 |
 |
Отправлено Ласунский Сергей 30 Октябрь 2007, 23:53 РОСНИИТО им.Р.Р.Вредена
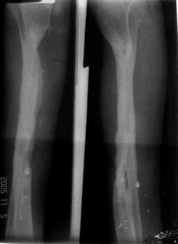
Пациентка с дефектом большеберцовой кости, возможно ли восстановление опороспособности нижней конечности? ДТП 1.5 года назад: открытый оскольчатый перелом средней трети левой голени с дефектом мягких тканей. Выполнены следующие операции в одной мз больниц города: 1.При поступлении ПХО и наложение АВФ 2.Нагноение резекция нежизнеспособной кости. 3.Пластика дефекта мягких тканей. 4.Попытка устранения дефекта по методу Илизарова, нагноение, радикальная хирургическая обработка, увеличение дефекта. 6 месяцев без признаков гнойного воспаления. В настоящее время иммбилизация гипсовой лонгетой до коленного сустава, функция коленного сустава сохранена, голеностопного нет.
<
|
>
|
|
Ответить
|
Re: Дефект большеберцовой кости - что делать? Ваше
Alexander Chelnokov 31 Октябрь 2007, 00:44
|
Приветствую, дорогой Сергей!
Ситуация трудная. В качестве самого быстрого варианта восстановления опороспособности можно предложить использовать кейдж и блокируемый гвоздь с фиксацией в компрессии. Металлокаркасная аллопластика, в терминологии проф. Лазарева. Не знаю, легко ли их найти в наших краях. В ЦИТО где-то же находят.
На недавнем митинге общества Кюнчера был интересный доклад про эту технику, в ряде случаев даже удалось достичь обрастания кейджа костью. Для профилактики инфекции кейдж можно использовать как депо антибиотиков.
Ну и остаются варианты сегментарного транспорта tibia, тибиализации малоберцовой кости, пересадки на сосудистой ножке...
|
[
Ответить ]
|
Re: Дефект большеберцовой кости - что делать? Ваше мнение
Ласунский Сергей 31 Октябрь 2007, 20:14
|
Уважаемый Александр! Привет из Питера. Спасибо за быстрый ответ. Стержень с блокированием и кейдж, вариант изветный по литеоатуре, но очень короткий дистальный фрагмент и локальный остеопороз (будет ли хорошая фиксация?). Как считаешь вариант с фиксацией ложного сустава малоберцовой кости спластиной и ее предварительное утолщение свободным аутотрансплантатом 1\2 малоберцовой кости со здоровой стороны длиной 20-25 см., а после консолидации тибиализация малоберцовой кости?
С уважением Сергей.
|
[
Ответить ]
|
Re: Дефект большеберцовой кости - что делать? Ваше
Djoldas Kuldjanov 01 Ноябрь 2007, 20:36
|
У нас не задумываясь провели бы vascularized fibular graft.
Можно было split fibula transfer, но для этого
необходима интактная малоберцовая.
Предложенный Александром вариант, кейдж плюс стержень - неплохая идея, уменьшает срок восстановления, и без наружных атрибутов фиксатора.
Хотя для уменьшения размера дефекта (кейдж) можно было предложить предварительную однофокальное удлинение в проксимальном метафизе, потом применение стержня.
Стержень можно забить через голеностоп в таран, тогда удлинится и усилится короткий дистальный конец.

Если смелость больной достаточна для аппаратного лечения, тогда другой вариант, комбинация удлинения в проксимальном отделе большеберцовой и утолщения малоберцовой в нижней трети, где диаметр малоберцовой позволяет.
Для сокращения времени малоберцовую можно расширить быстрыми темпами, а в образовавшуюся щель ввести костный графт.
Djoldas Kuldjanov, MD
Department of Orthopedic Surgery
St. Louis University Medical Center
|
[
Ответить ]
|
Re: Дефект большеберцовой кости - что делать? Ваше мнение
керимов артур 09 Ноябрь 2007, 02:14
|
учитывая имеющиеся диагноз (хр.рецидивир.остеомиелит) испольхзование погружных методов,тем более на голени,очень сомнительно ( зря выкините деньги) лечим такие вещи в АВФ с фиксацией смежных сегментов полилокальным остеосинтезом. В данном случае в принципе возможно перепилить не только проксимальный фрагмент,но и дистальный, можно комбинировать все это дело с тибиализацией малоберцовки ( как уже предлогалось выше). У меня есть опыт замещения подобного дефекта на протяжении 25см.Дерзайте, в любом случае пациентка уже ничего не теряет.
|
[
Ответить ]
|
( Ответить )
|
|