ВХОД ДЛЯ ПАЦИЕНТОВ
вверх
поиск
админ
главная
исходное
|
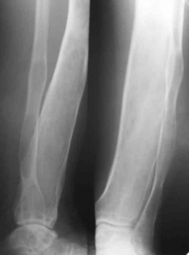
Re: Остеобластокластома?
послал Viktor Kost 06 Ноябрь 2007, 22:11
|
Уважаемый коллега!
Я поддерживаю мнение доктора Odessky Jacob, что это образоавние возможно фиброзная дисплазия. Случай из моей практики - смотри рентгенснимки во вложении. Правда у моего пациента -полиосальная форма и болезнь проявилась в раннем детстве.

|
| Послать ответ |
Обратите внимание: Поля с жирными названиями обязательны.
Старайтесь отвечать в рамках обсуждаемой темы, а не начинать новые обсуждения.
Указывайте адекватную тему сообщения, чтобы было ясно, о чем оно.
Не послайте сообщений не по теме (оффтопик), раздраженных, грубых или обидных комментариев. Здесь это неуместно.
|