AOTRAUMA.ORG Центр Илизарова  

Ортопедия и травматология Общие вопросы/General questions Help Информационные технологии в медицине
 вверх
 отправить
 поиск
 админ
 главная


Несращение голени
Ортопедия и травматология Отправлено дмитрий бондарь 07 Ноябрь 2007, 01:32
поступил больной с несращением голени . Коллеги , скорректируйте тактику лечения ,Pls!
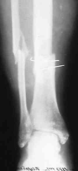
поступил больной с замедленной консолидацией перелома голени . Травма ДТП 15 мая 2007года (6 мес. Назад) . Первичный диагноз : открытый перелом голени 2 А степени (Каплан-Маркова) . В одной из районных больниц выполнена трансфиксация , я так понимаю , по Паппу спицами и наложена гипсовая повязка . .Затем больной находился под наблюдением травматолога поликлиники , Свищей , длительно незаживающих ран , вроде (со слов больного) не было . ВТЭК, 2 группа . Но больной хочет ходить , (вроде нормальное желание ) На сегодняшний день имеем вот такую картинку (см. . Снимки) Анализы абсолютно нормальные . Температура 36,6 в течении суток . Клинически : отёк голени , движения в КС и голеностопном суставе практически в полном объёме . В зоне перелома определяется безболезненная подвижность , опора на конечность невозможна . PLS !!!подскажите , тактику лечения!Мой план : АВФ (БИОС недоступен) .Предполагаемый план операции: Проксимально стержень , дистально спица во фронтальной плоскости с учётом смещения . Парафрактурно оставляю <пустые> кольца . Открываю зону перелома и удаляю спицы . Остеотомия малоберцевой кости . Дистракция . В ране иссекаю межотломковую рубцовую ткань . Вскрываю костномозговые каналы . Восстановление длины и оси . Если получится ,то одномоментно . Если не нарвусь на гнойный очаг в области перелома , выполняю декортикацию . Возможно с применением аутотрансплантанта из крыла. Провожу репонирующие спицы ,стабилизирую АВФ . При наличии гнойного очага - то же самое + дебридмент , но без костной пластики и декортикации . Затем ,при благоприятном течении раневого процесса , ранняя нагрузка . При наличии проблем - ограничение нагрузки до санации раны , <аккордеонная техника> (по Голяховскому) . Прошу , выскажите замечания по технике и тактике лечения .С уважением Д.Б.

<  |  >

 

  • Сообщения о Ортопедия и травматология
  • Также дмитрий бондарь
  • Связаться с автором
  • Ответить

    Re: Несращение голени
    Андрей 08 Ноябрь 2007, 00:15
    А в чем собственно проблема? Открыть область перелома, зачиститься, удалить спицы, поставить приличную пластинку(lcp), при необходимости или если руки чешутся можно приложить спангиозные чипсы из крыла подвздошной кости. Ну, а если хочется чего-нибудь особо модного - блоккируемый гвоздь с рассверливанием канала.
    [ Ответить ]

    • Re: Несращение голени
      Отправитель: Антон Бехтерев 09 Ноябрь 2007, 01:59
      А проблема в том, что практически все почему-то сходятся во мнении: не лезть в зону перелома. Видимо от того, что имеют собственный опыт (или коллег), когда такая активность на средней и нижней трети голени заканчивалась многолетним лечением пациента, санацией гнойных очагов, этапными резекциями и т. д., и т.п. Гвоздь с расверливанием можно рассматривать только тогда, когда будет 150% уверенность в отсутствии инфекции в очаге.

      [ Ответить ]
      • Re: Несращение голени
        Отправитель: Alexander Chelnokov 09 Ноябрь 2007, 02:09
        > А проблема в том, что практически все почему-то сходятся во мнении: не
        > лезть в зону перелома. Видимо от того, что имеют собственный опыт (или


        В принципе, можно и залезать, и вскрывать, в мире такой опыт тоже опубликован как эффективный. Но как-то это грубовато, неэстетично, травматично...

        > п. Гвоздь с расверливанием можно рассматривать только тогда, когда
        > будет 150% уверенность в отсутствии инфекции в очаге.


        Мы сейчас не штифтуем, только если виден явный гной из глубины. Прорезание кожи спицей или стержнем не останавливает.




        [ Ответить ]
    Re: Несращение голени
    керимов артур 09 Ноябрь 2007, 01:38
    а чего спрашиваете, если сами все рассказали. В сомнительных случаях лучше делать то, что умеешь, обязательно вскрыть костно мозговой канал проксимально и дистально и обязательная пластика, восстановление нормальной рекурвации и варуса и при умелом подходе к аппарату все получиться

    [ Ответить ]

    Re: Несращение голени
    Абдурашид Тураев 09 Ноябрь 2007, 01:48
    Уважаемый Дмитрий! Я думаю Вы очень правильно начали: спице-стержневой аппарат-да, удаления спиц-да, остеотомия м/б кости-да, дистракция, парафрактурно пустые кольцы- с встречно-боковой компрессией дугообразными спицами и всё! правда есть еще хорошо забытая дедовское дополнение для стимуляции остеогенеза "аутогемотерапия"- введение в обл перелома аутокрови во время дистракции,доказанное на практике при вялоконсолидируюшихеся переломах. Если ЗИМО с блокировкой не делать! С уважением Абдурашид.

    [ Ответить ]

    Re: Несращение голени
    Алексей Семенистый 09 Ноябрь 2007, 01:50
    Предполагаемый план операции: Проксимально стержень ..... Парафрактурно оставляю ╚пустые╩ кольца . Открываю зону перелома и удаляю спицы...


    Зачем? Спицы удалить, конечно, надо, но через проколы кожи и только.

    Остеотомия малоберцевой кости .


    Это нужно, но если она не срослась, то можно обойтись и без этого.

    >Дистракция . В ране иссекаю межотломковую рубцовую ткань . Вскрываю костномозговые каналы .

    Упаси Вас Бог, чего-то иссекать!

    >Восстановление длины и оси . Если получится ,то одномоментно .

    А зачем нужно одномоментно?

    "Если не нарвусь на гнойный очаг в области перелома , выполняю декортикацию . Возможно с применением аутотрансплантанта из крыла". .....То получите большую вероятность нагноения после.

    Стандартная закрытая методика Илизарова, больше ничего не надо. Если несращение инфицированное - делайте резекцию и билокальный остеосинтез

    С уважением, А.Семенистый.
    ГКБ № 13, Москва.
    [ Ответить ]

    Re: Несращение голени
    Дмитрий Бондарь 09 Ноябрь 2007, 01:52
    Вот проблема и была в том , что не хотелось открываться и совать что то в зону перелома , он то был первично открытый , да и спицы там 6 мес. стояли . На мой взгляд можно разбудить какую нибудь дремлющую инфекцию . А риск очень велик .Да и стояние отломков оставляет желать лучшего , и одномоментно скорее всего улучшить это не получится
    С уважением Д.Б.
    [ Ответить ]

    • Re: Несращение голени
      Отправитель: Alexander Chelnokov 09 Ноябрь 2007, 01:55
      Мы бы убрали спицы через проколы кожи, по возможности. Затем аппаратом бы дозированно восстановили длину и ось. После этого закрыто
      заштифтовали. Там по виду тугой ложный сустав, на дистракцию они обычно хорошо откликаются регенератом.

      [ Ответить ]
    Re: Несращение голени
    Dmitry Bondar 09 Ноябрь 2007, 23:45
    сегодня поставил аппарат , проблем не было . спицы убрал , но пришлось рубить малоберцевую из маленького разреза . Постепенно восстановлю длину и ось . как получится покажу снимки .Спасибо огромное всем коллегам ,откликнувшимся на вопрос !
    С уважением Д.Б.
    [ Ответить ]

    Re: Несращение голени
    Dmitry Bondar 09 Ноябрь 2007, 23:46
    Вот-вот ! несмотря на опыт коллег поимел и "свой" печальный опыт ! Поэтому то и пишу-спрашиваю!
    С уважением Д.Б.
    [ Ответить ]


    ( Ответить )

    Powered by Zope  Squishdot Powered MedLink
    Посетитель: 0000087
      "По форме правильно, а по существу - издевательство" В.И.Ленин
    ©2001-2019Orthoforum Coordinator.
    [ Главная | Отправить сообщение | Поиск | Админ ]