Ответить
|
Re: Гексаподы - первый опыт?
Michael Markushevich 10 Ноябрь 2007, 20:21
|
Good day dear colleagues! I was participating in the first international workshop in Hamburg. I have lots of experience using Ilizarov technique.
In the last few cases I started to use Hexapod. This is very good technique, the use of Hexapod allows me anatomical reduction with easy method. Compared to the TSF, in this system you don't need change struts depend to distance in the treatment process and can use Ilizarov's rings, plus you are not depending on internet service. This is simpler than TSF, and in my opinion, more stable. I would like to introduce here one of my cases with Hexapod method.
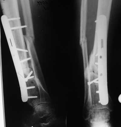
Male 54 years old, diabetic, blind in both eyes, with infected (MRSA) non union distal tibia after fracture 8 month ago. In acute phase treated by ORIF with LCP tibia and fibula. Treatment complicated by infection and after 6 month hardware was removed and treatment continued by cast fixation. You can see malposition of fragments In this stage beginning treated by Ilizarov fixation with use Hexapod system, allows anatomical position of fragments and you see signs of union.
With regards. Michael.
Meir Hospital Orthopaedic Department
Kfar Saba,Israel
|
[
Ответить ]
|
Re: Гексаподы - первый опыт?
Отправитель: Mark Eidelman 12 Ноябрь 2007, 03:00
|
Misha privet,
esli u tebya net opyta sTSF (kurs v3 dnya nevschet), kak ty moghesh sravnivat hexapod /TSF??!
Poluchaetsya kak sPasternakom,sam ne chital no proklinau.Nravitsya tebe hexapod,nazdorovie.No sravnivat i vyvodit na forum "your opinion" moghet tolko tot kto delal ito ieto .Chto kasaetsya "independece" from the internet-eto spornoe dostoinstvo.
Izvini za slog,
Mark Eidelman.
|
[
Ответить ]
|
Re: Гексаподы - первый опыт?
Отправитель: Odessky Jacob M.D. 12 Ноябрь 2007, 09:28
|
Дорогой Марк! Я приглашаю тебя убедиться в этом самому. Возможно мнение доктора Маркушевича не убеждает тебя, спроси у Штаркера и Соломина. Оба они начали применять Аппарат Тейлора, затем Гексаподный аппарат Илизарова. Вот как раз их опыт звучит очень убедительно.
С уважением
|
[
Ответить ]
|
Re: Гексаподы - первый опыт?
Отправитель: mark eidelman 12 Ноябрь 2007, 20:52
|
Ne dumal vstrevat vvashu gexapodnuu lubov Yasha, prosto pismo zadelo.By the way, Lenya Solomin delaet TSF bolshe chem ya(ya eto ne po naslyshke znau, moghesh sprosit ego sam).
Plamennyi privet!
|
[
Ответить ]
|
Re: Гексаподы - первый опыт?
Отправитель: Michael Markushevich 12 Ноябрь 2007, 15:58
|
Privet Mark,Ti bezuslovno prav. Ya pogorychilsy pisat "my opinion" Odnako ya na izvestnom tebe kurse in Baltymor poluchal lekcii ne tolko po TSF no i po correction deformity. Ya mnogo let primenyu Ilizarov osteosynthes i mogu scazat Hexapod legche potomu chto on dopolnenie k privichnomy mne Ilizarovu.TSF single use set (konechno ne dla nas) kak pokazan.Y strudom poluchil Hexapod potomu chto moi bos schitaet chto mogu spravitsa so vsemi zadachami prostim Ilizarovim.A v ostalnom chto Hexapod mogno polzovat mnogo raz ine nugno menyt strat i mogno odnim setom lechit mnogo bolnix eto ved pravda.
Here I am public applegate about my speech "my opinion".
With great regards Michael.(I haven't russia language keyboard)
|
[
Ответить ]
|
Re: Гексаподы - первый опыт?
Отправитель: mark eidelman 12 Ноябрь 2007, 21:55
|
Misha dorogoi, ya vsu ghizn mechtal or Porshe, no geneg hvatalo tolko na Toyota Corolla..., uvy.
|
[
Ответить ]
|
|
Re: Гексаподы - первый опыт?
Michael Markushevich 12 Ноябрь 2007, 00:19
|
Sorry, I wiil tray now pictures of my case.

|
[
Ответить ]
|
Re: Гексаподы - первый опыт?
Alexey Semenisty 12 Ноябрь 2007, 03:39
|
Мы начали применять ГЕКСАПОД для достижения репозиции в аппарате Илизарова в мае этого года. Действительно метод замечательный, и на мой взгляд, превращает процесс лечения в аппарате из ремесла в высокотехнологичный метод. Безусловно участие в Гамбургском воркшопе оказалось полезным
особенно для тех, кто в дальнейшем приобрел и стал применять ГЕКСАПОД в клинике. Есть смысл ехать на воркшоп только, если видите перспективу приобретения гексапода с програмным обеспечением и применения метода у себя в клинике. Без самого гексапода с программой эти знания будет некуда
применить.
Ниже привожу наш первый опыт.
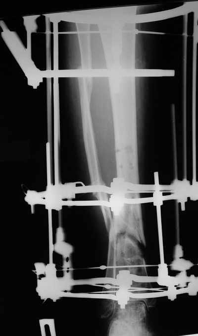
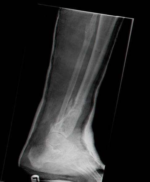
Женщина 46 лет, неудачно лечившаяся по поводу перелома голени в нижней 1\3 сначала в гипсе, поступила через 6 месяцев после остеосинтеза пластиной (рис 1). Имелась деформация в нижней 1\3 голени: варус, антекурвация, наружная ротация, два свища. Удалена пластина, дебридмент мягких тканей,
остеотомия м\б кости, аппарат Илизарова. По рентгенограммам в двух проекциях произведено планирование устранения смещений (рис 2 и 3), между вторым и третьим кольцом установлены 6 телескопических дистракторов Гесапода, данные введены в программу, и далее втечение 10 дней больная подкручивала телескопы согласно выданной компьютером инструкции. По завершению репозиции гексаподные телескопы обратно заменены на обычные штанги от аппарата Илизарова (рис 4 и 5). Еще через две недели забит гвоздь (рис 6, контроль
через 4 месяца).
С уважением, А.Семенистый.
ГКБ N 13, Москва.
|
[
Ответить ]
|
Re: Гексаподы - первый опыт?
Отправитель: Alexey Semenisty 12 Ноябрь 2007, 03:43
|
Еще один пример.
Мужчина, 33 года, резекция б\б кости по поводу остеомиелита после открытого перелома. Стандартная методика билокального остеосинтеза (рис 1 и 2). В конце удлинения выявилось неудовлетворительное взиморасположение перемещенного фрагмента и дистального отломка (рис 3). Планирование (рис 4).
Адаптация отломков гексаподом за 5 дней (рис 5). Замена гексапода на обычные штанги (рис 6 и 7)

Хотелось бы услышать комментарии эксперта по гексаподу Я.Одесского
С уважением, А.Семенистый.
ГКБ № 13, Москва.
|
[
Ответить ]
|
Re: Гексаподы - первый опыт?
Отправитель: Jacob Odesky 12 Ноябрь 2007, 03:57
|
Уважаемый Алексей!
Я получил истинное удовольствие от увиденного.
Я Вас поздравляю.
Я полностью согласен с Вашей оценкой курса.
Я желаю всем коллегам, применяющим аппарат Илизарова иметь такие результаты, которые показаны Вами.
Всего самого наилучшего
|
[
Ответить ]
|
|
Re: Гексаподы - первый опыт?
Leonid Solomin 12 Ноябрь 2007, 03:52
|
Уважаемые коллеги!
К сожалению, у меня есть некоторые проблемы с получением рассылки Форума. Поэтому о вопросе А.Челнокова я узнал из тел.звонка Я.Одесского (спасибо ему!).
На сегодняшний день мы имеем 43 случая применения гексаподов. Как Вы можете судить, опыт сравнительно небольшой и поэтому повода давать
конкретные рекомендации вовсе нет. Надеемся "подкопить" материал и обобщить его на ASAMI-2008 (кстати: www.ASAMI2008.com).
Тем более, что чем больше опыт, тем, как ни странно, сложнее ответить на простые вопросы Александра.
Итак, с точки зрения сегодняшнего дня, на основе сравнения с методом Илизарова таких параметров, как возможности репозиции, фиксации, удобства наложения конструкции, использования программного обеспечения (ну, в "традиции" его, понятное дело, нет), стоимости применения:
1. Использование аппаратов на основе пассивной компьютерной навигации - TSF, PoliHex не должно соблазнять кажущейся легкостью (и наложить легко и "аппарат все сам сделает") - не совсем так это.
2. Ортопедам, чей "хлеб" - чрескостный остеосинтез и большинство пациентов имеют 2-х - 3-х плоскостные деформации настоятельно рекомендую подружиться с этими устройствами.
3. Тот, кто применяет гексапод, ДОЛЖЕН (в совершенстве) владеть всеми приемами перемещения фрагментов по Илизарову.
Повторюсь, что развернутые ответы на эту тему, пожалуй, смогу дать к маю 2008.
Если опять "пропаду" - значит рассылка не дошла до моего ящика. "Не стесняйтесь" использовать личный адрес и телефон.
Всего наилучшего,
Л.Соломин
195427, С.-Петербург,
ул. акад. Байкова, 8,
ФГУ «РНИИТО им. Р.Р.Вредена Росмедтехнологий»
Соломин Леонид Николаевич, д.м.н.
тел. (812)556-3971, 550-9579
E-mail: solomin_leonid(at)mail.ru
www.rniito.org/solomin
|
[
Ответить ]
|
( Ответить )
|
|