Ответить
|
Re: Оскольчатый перелом шейки, головки плечевой ко
Sergey Melashenko 29 Ноябрь 2007, 08:09
|
> Будьте любезны представить рентгенснимки после репозиции.
> Odessky Jacob M.D.
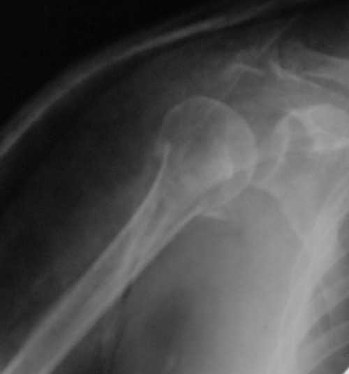
Снимки на 1-е сутки после репозиции и на 8- сутки после репозиции.
Пожалуйста

С ув. Sergey A. Melashenko, г. Запорожье
|
[
Ответить ]
|
Re: Оскольчатый перелом шейки, головки плечевой ко
Отправитель: Evgueny Tchekashkine 30 Ноябрь 2007, 17:36
|
Сергей,
Одна проекция -хорошо, а две- лучше.
Никто не отменял функционального консервативного метода лечения. Дело не только в том, что перелом сросся, вопрос в каком положении.
При переломах хирургической шейки плеча ротаторная манжетка ротирует фрагмент головки внутрь, поэтому при неустраненном упомянутом смещении
перелом рано или поздно срастется, но отведение плеча будет страдать. Очень практичен и функционален метод А.Ф. Лазарева, о котором упомянул Джолдас, ранее обсуждался на форуме , попробуйте, больные будут довольны
результатом.
Е.И. Чекашкин
|
[
Ответить ]
|
|
( Ответить )
|
|