Ответить
|
Re: 32- летний пациент с переломами обоих бедер после неудачного оперативного и консервативного лечения.
Станислав Дмитриев 13 Ноябрь 2007, 20:31
|
Антон! Пожалуйста, картинки!..-))
|
[
Ответить ]
|
Re: 32- летний пациент с переломами обоих бедер по
Anton Andrianov 13 Ноябрь 2007, 22:06
|

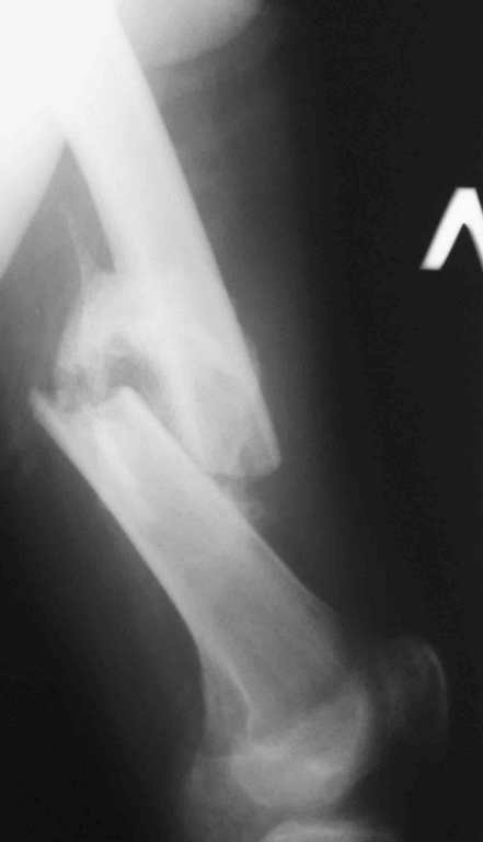
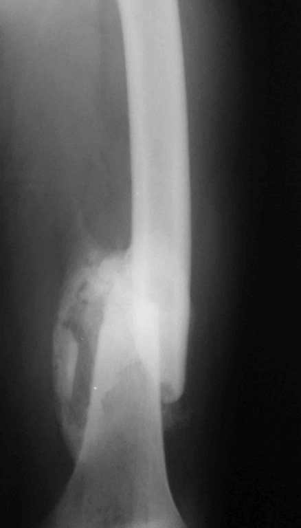
Иллюстрации к сообщению
|
[
Ответить ]
|
Re: 32- летний пациент с переломами обоих бедер по
Alexey Semenisty 14 Ноябрь 2007, 09:24
|
...В больнице имеется набор
> неблокируемых стержней, пластины DCP,, аппараты ЧКДО....
Грустно :(.
Может быть поискать возможность лечения такого пациента в клинике с более
современными возможностями?
С уважением, А.Семенистый.
ГКБ № 13, Москва.
|
[
Ответить ]
|
Re: 32- летний пациент с переломами обоих бедер по
Alexander Artemiev 14 Ноябрь 2007, 14:56
|
Оставьте всё как есть (стержень только удалите).
И займитесь ЛФК.
Пусть человек хоть человеком себя почувствует.
А дальше - пусть принимает информированное решение...
С уважением Александр Артемьев
|
[
Ответить ]
|
Re: 32- летний пациент с переломами обоих бедер после неудачного оперативного и консервативного лечения.
Василий Парий, Киев 14 Ноябрь 2007, 21:57
|
1.Лучше перевести пациента в более квалифицированную клинику, если есть такая возможность.
2. Я не большой любитель аппаратных методов лечения закрытых переломов, но в данном случае модно попробовать следующее:
а) Наложить односторонный одноплоскостной аппарат внешней фиксации на бедро, синтезированное стерднем ЦИТО. Сам стержень "забить" глубже. Стнржни провести непросто, но вполне реально. По стержню делается дистракция в аппарате (Методика из немецкого журнала ортопедия, 1996 год).
б) Наложить параллельно аппарат внешней фиксации на второе бедро, выполнить дистракцию в течении 10-ти дней, после чего произвести замену метода на погружной остеосинтез пластиной. Желательно чтобы ноги были одинаковой длины. ЛФК с первого дня после операции.
в) До таких проблем лечше не доводить!
г) Желаю успехов!
|
[
Ответить ]
|
Re: 32- летний пациент с переломами обоих бедер по
Шарфив Руслан 14 Ноябрь 2007, 22:02
|
Вышеизложенная ситуация Вами не столь трагична, если бы в Вашем арсенале использовался метод чрескостного остеосинтеза в комбинации с интрамедуллярным остеосинтезом с блокированием. В данной ситуации (справа)удаление стержня ЦИТО можно совместиь с остеотомией/кортикотомией на вершине деформации с наложением дистракционного аппарата с последующим исправлением деформации и длины сегмента, а вторым этапом ЗИО. В отношении другого бедра ситуация анологичная, только без удаления металла. Если подобные методики у Вас не используются, сочувствую!
|
[
Ответить ]
|
Re: 32- летний пациент с переломами обоих бедер по
Шарафиев Руслан 14 Ноябрь 2007, 22:03
|
Вышеизложенная ситуация Вами не столь трагична, если бы в Вашем арсенале использовался метод чрескостного остеосинтеза в комбинации с интрамедуллярным остеосинтезом с блокированием. В данной ситуации (справа)удаление стержня ЦИТО можно совместиь с остеотомией/кортикотомией на вершине деформации с наложением дистракционного аппарата с последующим исправлением деформации и длины сегмента, а вторым этапом ЗИО. В отношении другого бедра ситуация анологичная, только без удаления металла. Если подобные методики у Вас не используются, сочувствую!
|
[
Ответить ]
|
Re: 32- летний пациент с переломами обоих бедер после неудачного оперативного и консервативного лечения.
Abdurashid Turaev 14 Ноябрь 2007, 22:41
|
Уважаемый Антон.Исходя из Вашего материального положения!! и наличия хорошего, грубого омозоления, равности длины конечностей и судя по снимкам не очень выраженной антекурвации, но выраженной контрактуры коленных суставов: чтоб не упустить время разработки суставов и активизировать больного, необходимо справа удалить стержень, рассверлить канал и произвести ЗИМО более толстым неблокир. стержнем т.к. на этом уровне можно получить устойчивый остеосинтез, после чего активизировать и дозированная, упорная ЛФК, а дальше после восстановления функции ,время покажеть.
С уважением Абдурашид.
|
[
Ответить ]
|
Re: 32- летний пациент с переломами обоих бедер после неудачного оперативного и консервативного лечения.
Ласунский Сергей 15 Ноябрь 2007, 21:35
|
Cyдя по представленным рентгенограммам оба бедра консолидированы. Необходима активная разработка движений в коленных суставах. Хотелось бы увидеть фотоснимки больного ( нижних конечностей спереди и сбоку). Если стержень мешает разработке движений то его надо удалить.
|
[
Ответить ]
|
Re: 32- летний пациент с переломами обоих бедер по
Anton Andrianov 15 Ноябрь 2007, 23:17
|
О происхождении такого запущенного случая- мой коллега работает экспертом ВТЭК и тянет в отделении и не такие казусы. Сегодня была сделана операция удален стержень из бедра и установлен стержневой аппарат из 2 опор, слева подвижности не наблюдалось, продолжается ЛФК. При необходимости позднее будет выполнена надмыщелковая корригирующая остеотомия. Спасибо всем за советы.
С Кулджановым списался. он мне очень помог подготовиться к операции на неправильно сросшемся ГСС\случай выложен в августе\ Сегодня я эту даму прооперировал, получилось неплохо, позднее выложу снимки, суеверен немного/
C уважением АА
|
[
Ответить ]
|
( Ответить )
|