ВХОД ДЛЯ ПАЦИЕНТОВ
вверх
поиск
админ
главная
исходное
последующие
|
Re: Локтевой отросток
послал Лединников Игорь 16 Ноябрь 2007, 00:00
|
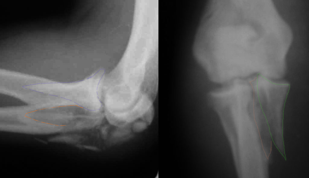
При самом большом к Вам уважении, Сергей Анатольевич, не соглашусь. У меня, после того, как добавили "прямой" снимок, сомнений не осталось. Венечный сломан наверняка. Но чтобы судить, насколько это критично для стабильности, нужно иметь строго боковую проекцию. И при этом помнить, что на него крепятся медиальные связки.

Прикрепляю снимок, где обведен фрагмент, несущий на себе венечный отросток (весь он смещён с этим фрагментом или частично - без качественной боковой проекции судить сложно), и отдельно на снимке обведено "ложе", от которого он сместился.
Почему я в данном случае против Вебера (хотя обычно горячий сторонник)? Да потому, что спицам нередко не хватает жёсткости, чтобы удержать предплечье от волярного подвывиха. При таком оскольчатом переломе спицы порой просто "прогибаются" за счёт одного только натяжения проволочной петли и головка луча может уйти в волярный подвывих (может, конечно, и не уйти). Но я бы предпочёл фиксировать всё к жёсткой пластине (включая фрагмент с венечным отростком) и, по возможности, исключить послеоперационную внешнюю иммобилизацию. Накладывать на такой локоть после операции гипс -- означает обрекать его на тяжёлую контрактуру.
Головка луча, кстати, на мой взгляд цела.
С искренним уважением
Лединников Игорь.
|
| Послать ответ |
Обратите внимание: Поля с жирными названиями обязательны.
Старайтесь отвечать в рамках обсуждаемой темы, а не начинать новые обсуждения.
Указывайте адекватную тему сообщения, чтобы было ясно, о чем оно.
Не послайте сообщений не по теме (оффтопик), раздраженных, грубых или обидных комментариев. Здесь это неуместно.
|