ВХОД ДЛЯ ПАЦИЕНТОВ
вверх
поиск
админ
главная
исходное
|
Re: Локтевой отросток
послал Djoldas Kuldjanov 21 Ноябрь 2007, 00:13
|
При лечении переломов локтевого отростка положение
больного на операционном столе подсказывается наличием дополнительных переломов, например при переломах таза или ацетабулум предпочтительное положение на спине.
При отсутствии других переломов мы предпочитаем
положение больного на боку, рука на подставке, согнутая в локтевом суставе. Удобно для операторов и легко для рентгенологического контроля.
Предпочитаем обычный стандартный задний доступ, разрез кожи от кончика локтевого отростка на длину
применяемого импланта.
Для доступа к венечному отростку, при наличии перелома локтевого отростка не обязательно проведение дополнительной остеотомии медиального надмышелка.
Сссылка
http://www.maitrise-orthop.com/corpusmaitri/orthopaedic/arthrocoude_actu/arthrolyse_us.shtml
.
Обычный стандартный доступ позволяет провести полную ревизию сустава, через фрагменты отломков открывается доступ к венечному отростку и имеется возможность репозиции с окончательной фиксацией. В книге “AO Principles of Fracture Management” описаны методика и варианты фиксации.
Для фиксации перелома локтевого отростка на сегодня множество преконтурных с блокирующими возможностями пластин.
Стабильную фиксацию, особенно при оскольчатых
переломах, можно добиться, применяя технику Bridge Plate, и за счет тех пластин, где имеется возможность проведения множественных шурупов (2.7 мм) проксимально.
Предложенные реконструктивные пластины в 3.5 мм
идеальны для фиксации при отрывном или флексионном
переломе, когда имеется большой фрагмент.
Техника Weber или Tension Wire Technique, все нансы описаны на лекции James Goulet на сайте Basic Fracture Course http://www.hwbf.org/ota/bfc/goulet/exp.htm
из-за многооскольчатости неприемлемы для данного
случая.
Несмотря на дешевизну, всего две спицы и проволока, создается хорошая компрессия, но имеются множественные случаи ранней миграции спиц.
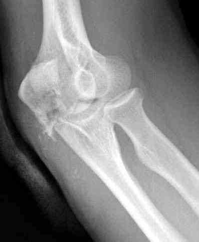
Здесь выставлены несколько случаев и варианты фиксации локтевого отростка, некоторые в комбинации с другими переломами.
1 вариант применен ACUMED локинг пластина
2 вариант
перелом локтевого отростка с переломом головки лучевой кости (использованы 2 мм шурупы)

3 вариант
перелом с capitelum humerus и проксимальной трети улна

Djoldas Kuldjanov, MD
Department of Orthopedic Surgery
St. Louis University Medical Center
|
| Послать ответ |
Обратите внимание: Поля с жирными названиями обязательны.
Старайтесь отвечать в рамках обсуждаемой темы, а не начинать новые обсуждения.
Указывайте адекватную тему сообщения, чтобы было ясно, о чем оно.
Не послайте сообщений не по теме (оффтопик), раздраженных, грубых или обидных комментариев. Здесь это неуместно.
|