AOTRAUMA.ORG Центр Илизарова  

Ортопедия и травматология Общие вопросы/General questions Help Информационные технологии в медицине
 вверх
 отправить
 поиск
 админ
 главная
 Предыдущее


Re: The patient with genu recurvatum
Odessky Jacob.M.D. 24 Ноябрь 2007, 01:01
Please give standing X rays of legs include pelvis and ankles with comoensation of leg length. All best
  • Сообщения о Ортопедия и травматология
  • Также Odessky Jacob.M.D.
  • Связаться с автором
  • Ответить

    Re: The patient with genu recurvatum
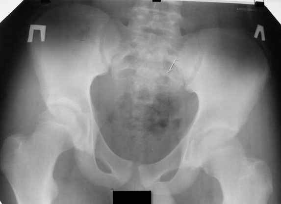
    Салимов Руслан 26 Ноябрь 2007, 01:10
    Могу предложить только снимок таза.


    [ Ответить ]


    ( Ответить )

    Powered by Zope  Squishdot Powered MedLink
    Посетитель: 0416136
      "По форме правильно, а по существу - издевательство" В.И.Ленин
    ©2001-2019Orthoforum Coordinator.
    [ Главная | Отправить сообщение | Поиск | Админ ]