ВХОД ДЛЯ ПАЦИЕНТОВ
вверх
поиск
админ
главная
|
The patient with genu recurvatum |
 |
 |
 |
Прислано Руслан Салимов 23 Ноябрь 2007, 00:16
из
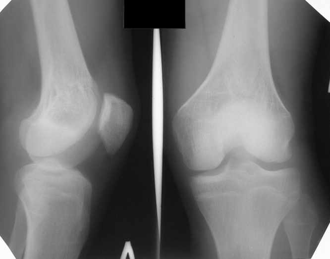
Больной Н., мужчина 18 лет с укорочением бедра и рекурвацией коленного сустава.
Из анамнеза: огнестрельное сквозное пулевое ранение бедра 9 лет назад в н/3 левого бедра. Раны зажили без гнойных осложнений. Жалобы на укорочение левой нижней конечности и нестабильность в коленном суставе. При обследовании выявляется рекурвация коленного сустава. Абсолютное укорочение порядка 5см, стоя 8 см (за счет рекурвации). Имеется умеренный компенсаторный сколиоз. С передне-наружной стороны располагается рубец от входного отверстия, с задне-медиальной стороны от выходного. Можно предположить повреждение при травме зоны роста бедренной кости и задне-внутренних стабилизирующих структур коленного сустава.
Предлагается обсудить тактику лечения: начать с удлинения бедра или со стабилизации коленного сустава, а также - на каком уровне производить удлинение бедра.
A male 18 years old with shortened femur.
Trauma 9 ears ago: gunshot wound with bullet of the left knee. It Is Reeked have healed without festering complications. The patient have shorter femur and recurvatum instability of knee joint. Absolute shortening is 5 cm, at standing up 8 cm (genu recurvatum). The input scar is situated on the antero-lateral side and output scar is on the postero-medial side. It is possible to expect damage by trauma of the growing zone of the femur and back-internal stabilizing structures of the knee joint. We discuss the treatment options: to begin with lengthening of the femur or preferably with stabilizations of the knee joint. What is the optimal level to produce the lengthening of the femur in this case.
Обратите внимание: Поля с жирными названиями обязательны.
Старайтесь отвечать в рамках обсуждаемой темы, а не начинать новые обсуждения.
Указывайте адекватную тему сообщения, чтобы было ясно, о чем оно.
Не послайте сообщений не по теме (оффтопик), раздраженных, грубых или обидных комментариев. Здесь это неуместно.
|