AOTRAUMA.ORG Центр Илизарова  

Ортопедия и травматология Общие вопросы/General questions Help Информационные технологии в медицине
 вверх
 отправить
 поиск
 админ
 главная


Остеомиелит
Ортопедия и травматология Отправлено Никита Заднепровский 26 Ноябрь 2007, 00:10
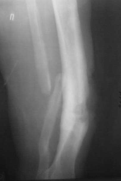
Сегодня принял больную, женщина 51 года.Травма автодорожная 13 лет назад. Тогда же - остеосинтез левого бедра стержнем (сращение);
ампутация левой голени на уровне с/3 (опротезирована); открытый перелом с/3 костей правой голени (лечение в аппарате Илизарова). Три года назад появился свищ на передней поверхности голени, лечилась нерегулярно и на сегодняшний момент вот такая картина. Перед госпитализацией, без назначения врача принимала тетрациклин в течение 10 дней.
Взяли посев, заказали дополнительные снимки, перевязка. Правый коленный сустав - движения с полной амплитудой. Частичная нагрузка на правую ногу при ходьбе. Пульсация на a. d. pedis сохранена, стопа теплая. Не температурит. Общее состояние удовлетворительное. Рана с обильным гнойным отделяемым со зловонным запахом на фоне гипергрануляций. Из свища определяю геморрагическое отделяемое.
Снимок месячной давности. Фистулография запланирована на след. неделю.
Что можно выполнить этой пациентке на уровне районной больницы?
Планируем: коррекция оси в аппарате, дебридмент, резекция б/берцовой кости с острой копрессией для закрытия полости с бусами из цемента с а/б. Есть гадкое предчувствие, что "вылезет" MRSA на посеве.Надеюсь на помощь в тактике лечения данной пациентки у опытных коллег.

<  |  >

 

  • Сообщения о Ортопедия и травматология
  • Также Никита Заднепровский
  • Связаться с автором
  • Ответить

    Re: Остеомиелит
    Alexander Chelnokov 26 Ноябрь 2007, 00:36
    Dear Никита

    > Планируем: коррекция оси в аппарате, дебридмент, резекция б/берцовой
    > кости с острой копрессией для закрытия полости с бусами из цемента с
    > а/б.


    Там если резецировать, то придется столько, что одномоментно не скомпрессировать.
    Насчет коррекции оси на первом месте - не знаю, не знаю...
    По-моему, надо начать с обработки. Вверху и внизу tibia на уровне метафизов вскрыть канал, наладить лаваж. После того, как за несколько дней механически все отчистится-отмоется, в канал можно ввести антибиотиковые бусы. Прямой спейсер получится только после остеотомии и изменения оси, что делать пока не очень уютно, поскольку придется копаться в этом дефекте кожи, чтобы на вершине деформации было.
    Бусы через пару недель заменить на новые, может, и еще несколько раз, пока зараза не вытравится. Потом возвращаться к планам по коррекции оси.
    Вообще, надо еще подумать, может, какие-то идеи будут у тех, кто чаще сталикивается с подобными случаями инфекции.

    > Есть гадкое предчувствие, что "вылезет" MRSA на посеве.

    Ну вылезет и вылезет, справитесь. Ванкомицин в цемент намешайте.

    [ Ответить ]

    Re: Остеомиелит
    Alexey Semenisty 26 Ноябрь 2007, 17:22
    Что рана из себя представляет видно, а что еще за свищ - не очень понятно. Нет ли здесь малигнизации?
    [ Ответить ]

    Re: Остеомиелит
    сергей 29 Ноябрь 2007, 22:38
    а нужноли исправлять ось,если в течение 13 лет эта конечность была основной опорной, может быть сделать фистулографию и определиться с масштабом процесса,далее попробовать некрэктомию и замещение краевого дефекта скользящим трансплантатом по Илизарову(" в огне дистракции сгорает остеомиелит"), а следоваельно проще будет закрыть рану...

    [ Ответить ]

    Re: Остеомиелит
    Юрий Алексеевич Булахтин 03 Декабрь 2007, 12:03
    Уважаемый Никита!
    Конечно, для дальнейшего разговора советую хотя- бы фистулографию и рентгентомограммы. Но согласен с онконастороженностью А.Семенистого, мягким тканям тут, мне кажется, надо уделить отдельное внимание.

    Юрий Алексеевич Булахтин
    [ Ответить ]


    ( Ответить )

    Powered by Zope  Squishdot Powered MedLink
    Посетитель: 0389989
      "По форме правильно, а по существу - издевательство" В.И.Ленин
    ©2001-2019Orthoforum Coordinator.
    [ Главная | Отправить сообщение | Поиск | Админ ]