AOTRAUMA.ORG Центр Илизарова  

Ортопедия и травматология Общие вопросы/General questions Help Информационные технологии в медицине
 вверх
 отправить
 поиск
 админ
 главная


Distal femur non union
Ортопедия и травматология Отправлено Carel Goslings 27 Ноябрь 2007, 00:19
16 yr old boy, high energy motorcycle trauma trauma in July 2005 with:
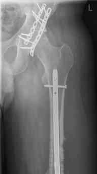
- hip dislocation + acetabular fracture L
- distal femoral fracture L
- tibial shaft fracture L
- metatarsal fractures L

July 05

July 05

July 05

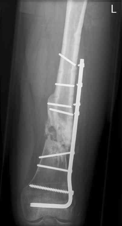
Aug 06

Aug 06

Aug 06

Nov 06

Nov 06

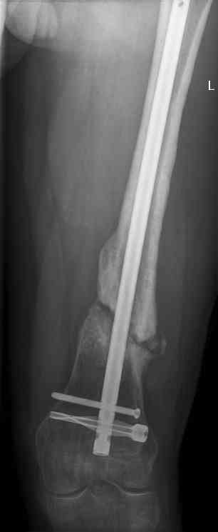
Feb 07

Feb 07

Feb 07

Feb 07

Sep 07

Sep 07

Nov 07

Nov 07
Treatment:
july 05: LISS femur, LCP plate tibia, double recon. plate post. acetabulum
oct 05: cancellous bone graft femur
aug 06: blade plate + bone graft
nov 06: revision blade plate
feb 07: retrograde nail + bone graft + BMP
may 07: dynamisation nail
sept 07: locking screw removal (max. dynamisation reached)
nov 07: persistant non-union distal femur; other fractures healed uneventfully.
All with gradual/partial weightbearing etc. Currently 50-100% weight bearing, no pain.
Soft tissues are intact. No smoking or diabetes.CRP <2

What would you do?
Kind regards,
Carel Goslings
Trauma Unit AMC
Amsterdam, NL

<  |  >

 

  • Сообщения о Ортопедия и травматология
  • Также Carel Goslings
  • Связаться с автором
  • Ответить

    Re: Distal femur non union
    Flavio Restrepo 27 Ноябрь 2007, 00:30
    Dear Carel
    This is a true atrophic pseudoartrosis (without pain).
    This fracture have a two factors failure combination.
    The mechanical factor failure and the biological factor failure.
    The solution need a combination of treatments which give solutions for each factor failure.
    Change the intramedular nail for a lateral plate LCDCP
    Decortication plus bone graft
    [ Ответить ]

    Re: Distal femur non union
    Alexander Chelnokov 27 Ноябрь 2007, 01:01
    Tough case. Severe injury, many surgeries...
    I'd prefer to be less agressive to periosteal blood supply slowly reviving after all those plates.
    Looks like shortening is not significant yet. So my choice would be closed re-nailing with a larger nail. Some time ago an option of dynamic locking in comression by special end cap was discussed in the list - IMHO it is suitable for this case. The nail will play role of shaft endoprosthesis for some years that must be enough for restoration of cortical blood supply. Good luck!
    [ Ответить ]

    Re: Distal femur non union
    Anton Andrianov 27 Ноябрь 2007, 19:11
    Dear colleague,

    20-25 years ago we did not have locking nails and locked plates but sometimes we had same patients. You know Ilizarov device but the great Russian doctor is also an author of an original method of bone callus stimulation. After nail removal you may stabilize bone with external fixator and start compression-distraction cycles. We had many good
    results using this way. As well you may produce several injections of bone marrow interfragmenatally.
    Good luck.

    Anton Andrianov


    [ Ответить ]

    Re: Distal femur non union
    Shital Parikh 27 Ноябрь 2007, 20:23
    An Ilizarov apparatus is useful for such nonunions. it is more elastic than the other implants giving it a compressive effect with full weight bearing. A corticotomy above and a few cm of bone transport will help 2 fold - compression across fracture site and resotration of blood supply by neovascularization. the construct can be 3 rings. two above the fracture and one below, and the corticotomy between 1st and 2nd rings.
    best wishes


    Shital Parikh, MD
    2769352165
    [ Ответить ]

    Re: Distal femur non union
    Jeff Brooks 27 Ноябрь 2007, 20:25
    Mark Brinker's group published a very thought-provoking article in a recent (<6 mos) J.O.T. that showed significant metabolic abnormalities in patients with nonunions that "should have" otherwise healed, as this "should have". (they had specific criteria for inclusion in the 'should have' group). I forget the exact distribution of abnormalities but they included most frequently Vitamin D deficiency, abnormalities of calcium and parathyroid function, and some other metabolic problems.

    Bottom line in my opinion: be sure this young healthy kid is thoroughly worked up metabolically before any more surgery.

    Jeff

    PS - I can send the .pdf of that article if you want to see it.
    [ Ответить ]

    Re: Distal femur non union
    George Tomas 27 Ноябрь 2007, 20:28
    It should have healed with the locking plate, provided the plate was introduced using a minimal invasive technique. However, once that plate had failed, the subsequent attempts at plate osteosynthesis ignored the medial buttress required, and by the time the nails were used there is already a gap.
    At this point my choice would be a thin wire fixator (Ilizarov), proximal corticotomy and compression at the fracture site.
    [ Ответить ]

    Re: Distal femur non union
    Jeff Brooks 27 Ноябрь 2007, 20:59
    found the pdf. interesting and thought-provoking reading.


    PDF, 270 kb



    [ Ответить ]

    Re: Distal femur non union
    Li Ning 03 Декабрь 2007, 23:01
    Dear Carel
    This is a tough case .The poor kid have experienced many surgery and the site of femoral fracture must have bad blood supply. A s a orthopedist , how to fix the fracture is a problem that faced with us . The purpose of re-operation is realization of rigid internal fixation and less aggressive to blood supply.
    I prefer the larger intermedullary locking nail with bone graft as my first choice, my reason is as followed. IM can place in closed condition and consider the centered fixation is more rigider than eccentric fixation of plate in the biological mechanism. Whatever to pick out the kind of fixation, bone graft is necessary to this patient.
    The wire track infection of external fixation is common and don’t realize the rigid fixation, so I gave up it. LC-DCP is capable of compressing the fracture, but it need the wilder strip of soft tissue.Maybe LISS is the another choice, but it also don’t compress the facture effectively.
    Best regards,
    Li Ning
    The third hospital of Shijiazhuang, Hebei province, China
    [ Ответить ]

    Re: Distal femur non union
    DR MIRZA SAWAID ABBAS 27 Июнь 2011, 10:11
    i will consider for the braoad i/nailing with bone graft .
    [ Ответить ]


    ( Ответить )

    Powered by Zope  Squishdot Powered MedLink
    Посетитель: 0204893
      "По форме правильно, а по существу - издевательство" В.И.Ленин
    ©2001-2019Orthoforum Coordinator.
    [ Главная | Отправить сообщение | Поиск | Админ ]