AOTRAUMA.ORG Центр Илизарова  

Ортопедия и травматология Общие вопросы/General questions Help Информационные технологии в медицине
 вверх
 отправить
 поиск
 админ
 главная


вывих
Ортопедия и травматология Отправлено Виктор 06 Декабрь 2007, 21:23
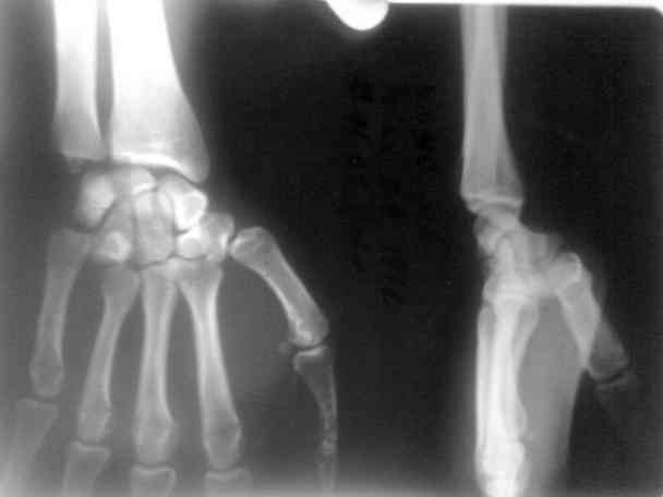
Дорогие коллеги,предлагаю посмотреть интересный случай. больной лечился в гипсовой лонгете 15 дней как ушиб.
правильный диагноз не был установлен.
я случайно взял эти снимки и посмотрел
поставил диагноз вывих 5 пястной кости.
некоторые колеги это сразу прямо перед больным исключили даже когда детально показал вывих своему колеге.
после работы пациент меня нашел и сказал что верит мне в правильности диагноза.
больного я направил в область. его прооперировали. вынесены снимки.посмотрите.
после чего некоторые говорили что это можно было б и неоперировать, а оставить так.
что скажут на этот случай уважаемые колеги форума.
кстати подобную травму видел впервые-помогли некоторые знания анатомического строения кисти.

<  |  >

 

  • Сообщения о Ортопедия и травматология
  • Также Виктор
  • Связаться с автором
  • Ответить

    Re: вывих
    Dmitry Bondar 08 Декабрь 2007, 10:13
    Оставить "как есть " можно что угодно !основная проблема-что потом Вам скажет этот больной ?!А тут без вопросов в будущем здорово пострадает сила и будет болевой синдром . Поступили правильно , IMHO
    С уважением Д.Б.
    [ Ответить ]

    Re: вывих
    Антон Бехтерев 08 Декабрь 2007, 10:20
    Поздравляю. Устранять вывих было неободимо, иначе
    функция кисти страдала бы из-за болей, в ней
    возникающей в момент хвата.

    [ Ответить ]

    Re: вывих
    Василий Мамонов 08 Декабрь 2007, 10:23
    Свежие вывихи 5 пястной или 4-5 пястных костей легко устраняются и могут вестись консервативно в гипсовой лангете. В представленном случае, через 15 дней после травмы, все сделано грамотно. Кстати, такие вывихи встречаются не совсем редко.
    С уважением, Мамонов Василий Евгеньевич
    [ Ответить ]


    ( Ответить )

    Powered by Zope  Squishdot Powered MedLink
    Посетитель: 0000124
      "По форме правильно, а по существу - издевательство" В.И.Ленин
    ©2001-2019Orthoforum Coordinator.
    [ Главная | Отправить сообщение | Поиск | Админ ]