ВХОД ДЛЯ ПАЦИЕНТОВ
вверх
поиск
админ
главная
исходное
|
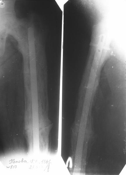
Re: перелом бедра на фоне болезни Педжета
послал Alexander Chelnokov 09 Декабрь 2007, 10:50
|

Еще один пример. Пациентка с юга России, прислала рентгенограммы через год. На сегодня прошло 2 г. 8 мес. после операции. Несмотря на не очень убедительный процесс сращения, пациентка ходит. Учитывая остеопороз при Педжете, решили, что динамизировать вообще не нужно.
|
| Послать ответ |
Обратите внимание: Поля с жирными названиями обязательны.
Старайтесь отвечать в рамках обсуждаемой темы, а не начинать новые обсуждения.
Указывайте адекватную тему сообщения, чтобы было ясно, о чем оно.
Не послайте сообщений не по теме (оффтопик), раздраженных, грубых или обидных комментариев. Здесь это неуместно.
|