Ответить
|
Re: Несросшийся таран
A. Liberson 18 Декабрь 2007, 00:44
|
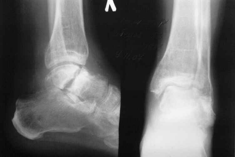
Its a grave picture.
I doubt whether 2 stages- reduction and fusion followed by a prosthesis+ subtalar fusion would be better-a pantalar fusion or talectomy would be the best-depending on soft tissue stage and vascularity of the talus and general health
AL
|
[
Ответить ]
|
Re: Несросшийся таран
керимов артур 19 Декабрь 2007, 00:19
|
снимки конечно совсем не ах!!но и на них видно что имеет место быть ас. некроз тарана, лечение микродистракцией в КДА очень сомнительное, наиболее быстрый и функциональный результат будет достигнут путем артродеза. А вам необходимо просто правильно побеседовать с пациентом, а он должен "созреть" на операцию.
|
[
Ответить ]
|
Re: Несросшийся таран
Djoldas Kuldjanov, M.D. 20 Декабрь 2007, 08:48
|
Магниторезонансная томогорафия более информативна для остеонекроза тарана.
На ренгенограмме между передней и задней частями
тарана нет большой разницы костных структур,
сохранный таранный купол и имеется склероз на месте несращения. Трудно угадать дальнейший процесс, но я бы остановился на подтаранном артродезе с фиксацией перелома. Таким образом, можно сохранить опороспособность и движения в голеностопе.
Косой остеотомией малоберцовой выше, рассекая связки синдезмоза только спереди, ротируя
кнаружи, как дверцу, открывается малоберцовая, достигается хороший доступ к латеральной поверхности тарана.
Склероз тарана срезается, костная аутопластика, (если имеется добавляется OP-1 osteoconductive protein или BMP-2 bone morphogenic protein) двумя каннюлированными шурупами 4 мм сзади
кпереди тарана создается компрессия.
Три каннюлированных перкутанных шурупа 6.5 мм через пятку удержат подтаранний артродез.
Малоберцовая и синдесмоз фиксируются шурупом 3.5 мм.

Приложен примерный преоперационный план.
|
[
Ответить ]
|
Re: Несросшийся таран
latif 26 Декабрь 2007, 09:11
|
необходимо костная пластика из малоберцововой кости с остеосинтезом спонгиозным винтом.
|
[
Ответить ]
|
Re: Несросшийся таран
Отправитель: Djoldas Kuldjanov, M.D. 08 Январь 2008, 00:22
|
Уважаемый Latif, не смогли ли Вы обьяснить технику костной пластики, а то в доступных источниках, кроме васкуляризованного фибулярного графта, мы не смогли обнаружить информацию по поводу применения малоберцовой для лечения ложного сустава тарана.
Если это техника из новых, еще не доложенных, было бы интересно посмотреть на его описание или картинки доказывающее существование предложенной техники.
|
[
Ответить ]
|
Re: Несросшийся таран
Отправитель: Ruslan 15 Январь 2008, 00:13
|
У больного аваскулярный некроз головки тарнной кости.Ждите, когда созреет до артродеза. Но и с ним не так-то просто, трудно получить сращение. Есть операция Блаунта- когда трансплантат из передней части большеберцовой кости сдвигается вниз на место удаленной головки. Интересно где вы нашли информацию по васкудяризированому фибулярному графту.
|
[
Ответить ]
|
|
( Ответить )
|
|