Ответить
|
Re: Перелом лодыжек
Виктор Костышен 18 Декабрь 2007, 12:43
|
http://www.weborto.net/forum/1197963331/addPostingForm
Перелом лодыжекКонтрольные рентгенограмы сделаны с нарушением укладок для стандартных проекций. Переделайте рентгенснимки и догда можно будет о чем-то иметь дискуcсию.
С уваженеим Виктор.
|
[
Ответить ]
|
Re: Перелом лодыжек
Антон Бехтерев 18 Декабрь 2007, 12:47
|
Рентгенограммы не сделаны в строго боковой и передне-задней проекциях.
Но и здесь видно, что внутренняя лодыжка "висит" - это говорит об интерпозиции. Выполняйте открытую репозицию и металлостеосинтез.
|
[
Ответить ]
|
Re: Перелом лодыжек
Отправитель: Игорь Кучерявый 18 Декабрь 2007, 12:49
|
Можно сделать прямую с внутренней ротацией в 20 гр - еще лучше будет видно. Внутренняя лодыжка на боковом снимке не так уж плохо стоит. В любом случае - надо сделать нормальные снимки.
Вопрос к автору сообщения - эти лодыжки в задней гипсовой лонгете, судя по снимкам, или показалось?
|
[
Ответить ]
|
|
Re: Перелом лодыжек
Alexander Rykov 18 Декабрь 2007, 12:50
|
Я бы оставил. Контроль 7 и 21 сутки. Смещение - операция. Нет - консервативное лечение.\ А Рыков
|
[
Ответить ]
|
Re: Перелом лодыжек
Игорь 18 Декабрь 2007, 21:16
|
Коллега,надо оперировать. интерпозиция мягких тканей в области перелома внутренней лодыжки при таком типе переломов-практически всегда. подумайте о контрактуре голеностопного сустава, которая разовьется после полного срока необходимой иммобилизации в гипсовой повязке.
|
[
Ответить ]
|
Re: Перелом лодыжек
Svjatenko Vladimir 18 Декабрь 2007, 22:09
|
Укладка не точная, и тем не менее, медиальная лодыжка - сохраняется дислокация и соответственно интерпозиция. Остеосинтез мед. лодыжки, RTG контроль после этого - при отсутствии смещения латеральной - на этом можно остановиться ( межберцовый сендесмоз не поврежден ). Хотя это и не по AO. Успехов !
|
[
Ответить ]
|
Re: Перелом лодыжек
Sergey Melasenko 19 Декабрь 2007, 01:37
|
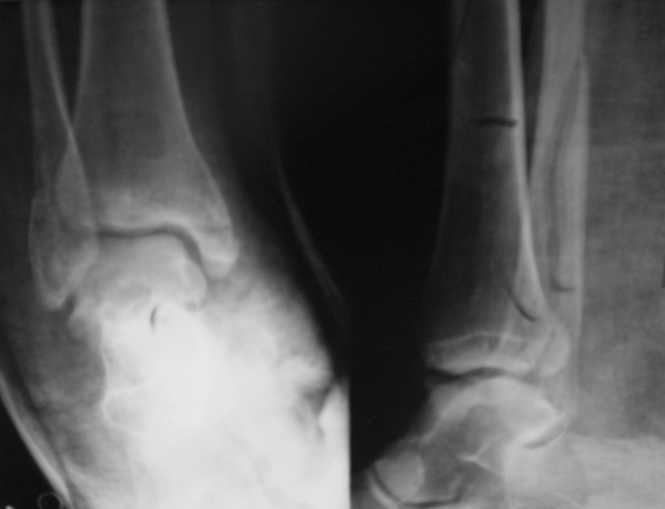
Вот рентгенконтроль на 7-е сутки после репозиции.

|
[
Ответить ]
|
Re: Перелом лодыжек
Отправитель: Владимир Максименко 22 Декабрь 2007, 03:10
|
Серега, привет! А что наш ув.доцент А.П.М. говорит по этому поводу. И вообще, я не знал, что ты лечишь 3-хлодыжечные задними лонгетами, - нас с тобой учили это делать циркулярными гипсовыми повязками. Все равно, удачи! На контроле, почему-то, все заманчиво хорошо. Не спеши делать выводы
|
[
Ответить ]
|
|
Re: Перелом лодыжек
Djoldas Kuldjanov, M.D. 19 Декабрь 2007, 22:18
|
Увжаемый Сергей.
Стандартными снимками считается прямая, боковая и мортиз!!!, а так трудно гадать, насколько потеря длины малоберцовой. На боковом снимке не сопоставленный перелом медиальной лодыжки и перелом заднего края без смещения.
Трехлодыжечные переломы относятся к нестабильным переломам, при вовлечении перелома заднего края больше 15% суставной поверхности и смещения более 2 мм тогда такие переломы необходимо оперировать.
Хорошо сопоставленная закрытая репозиция отломков не гарантирует отличный окончательный результат.
Трудно удержать трехлодыжечные переломы задней лонгетной повязкой (на снимке), а последующие долгие гипсовые повязки могут привести к контрактурам.
Оперативное лечение предупреждает артроз из-за ранних движений, и больные восстанавливается быстрее, чем на консервативном лечении.
Вероятность ошибки при оценке состояние сустава без стандартных снимков возрастает на 30%, поэтому необходимо добиться от рентгенолога всех необходимых снимков.
Заключение: дообследовать
|
[
Ответить ]
|
Re: Перелом лодыжек
Michael Markushevich 20 Декабрь 2007, 01:40
|
Dear colleague! I am completely agree with Djoldas.
In this case we say about three malleolar fracture of ankle.Moreover lateral malleolus have external rotation displacement.Becouse this great suprise to me question - what kind of treatment.Of course open reduction with internal
fixation.
Good lack Michael!
|
[
Ответить ]
|
Re: Перелом лодыжек
Sergey Melashenko 20 Декабрь 2007, 02:48
|
Ув. коллеги. Мы считаем, что синтезировать необходимо медиальную лодыжку, она ротирована. Малоберцовую кость лучше не трогать. Довольно травматично будет, фрагменты неплохо стоят. И то, оперировать медиальную лодыжку где-то в трехнедельном сроке, чтобы малоберцовую кость не развалить. Мнений много, мы благодарны за участие.
С ув., Мелашенко С.А., Запорожье.
|
[
Ответить ]
|
Re: Перелом лодыжек
Отправитель: Djoldas Kuldjanov 20 Декабрь 2007, 11:36
|
Мы считаем, что синтезировать необходимо > медиальную лодыжку, она ротирована.
"Мы" не понимаем такую трудную логику, обычно
фиксируют латеральную лодыжку, самый главный элемент в голеностопном суставе, и при восстановлении ориентируется на длину малоберцовой.
При смещении "таран идет, где малоберцовая"
и происходит подвывих сустава из-за мощных
латеральных связок.
Медиальная лодыжка не несет нагрузку и не
является стабилизатором сустава. При изолированных
переломах медиальной лодыжки и при отсутствии разрыва синдесмоза не происходит смещения
голеностопа медиально, и поэтому в некоторых случаях (изолированные и многооскольчатые) можно
игнорировать фиксацию медиальной.
Малоберцовую кость
> > лучше не трогать.
Довольно травматично
будет, фрагменты
> > неплохо стоят. И то,
оперировать
медиальную лодыжку
где-то
> > в трехнедельном
сроке, чтобы
малоберцовую кость не
> > развалить.
Нет слов, как говорят, no comment.
|
[
Ответить ]
|
Re: Перелом лодыжек
Отправитель: Alexey Semenisty 20 Декабрь 2007, 11:38
|
Ув. коллеги. Мы считаем, что синтезировать необходимо медиальную
лодыжку, она ротирована. Малоберцовую кость лучше не трогать.
Очень жаль, что Вы так считаете и не прислушались к мнениям уважаемых коллег. Проблема этого голеностопного сустава не в "висячей" внутренней лодыжки, а ротированной и, возможно, укороченной малоберцовой кости. На снимках подвывиха как-буд-то бы нет, но таран ротирован и это в дольнейшем будет причиной раннего артроза.
С уважением, А.Семенистый.
ГКБ № 13, Москва.
|
[
Ответить ]
|
Re: Перелом лодыжек
Отправитель: Maxim Agalakov 20 Декабрь 2007, 19:07
|
> Ув. коллеги. Мы считаем, что синтезировать необходимо медиальную
> > лодыжку, она ротирована.
если оперировать. то по полной программе
> > Малоберцовую кость лучше не трогать. Довольно
> > травматично будет, фрагменты неплохо стоят.
нет нормальных проекций, трудно сказать как стоит м/б, если действительно неплохо - операция будет малотравматичной. синтезировав внутреннюю ложыжку, чего мы добьемся? гипс не снять, разработку не начать, даже если она на срастется или malreduction, это не большая проблема, а если развалится синдесмоз и неправильно срастется м\б это другая история
> > И то, оперировать медиальную
> > лодыжку где-то в трехнедельном сроке, чтобы малоберцовую кость не
> > развалить.
при таком нестабильном переломе удержать отломки в гипсе в имеющемся положении будет трудно, через 3 нед можно ожидать ухудшение репозиции, и тогда операция действительно будет более травматичной
С уважением, Maxim
|
[
Ответить ]
|
|
( Ответить )
|
|